Suppr超能文献

脊髓小胶质细胞 β-内啡肽信号转导介导白细胞介素-10 和 exenatide 诱导的神经病理性疼痛突触可塑性抑制。

Spinal microglial β-endorphin signaling mediates IL-10 and exenatide-induced inhibition of synaptic plasticity in neuropathic pain.

机构信息

King's Lab, Shanghai Jiao Tong University School of Pharmacy, Shanghai, China.

Shanghai Key Laboratory of Psychotic Disorders, Shanghai Jiao Tong University School of Medicine, Shanghai Mental Health Center, Shanghai, China.

出版信息

CNS Neurosci Ther. 2021 Oct;27(10):1157-1172. doi: 10.1111/cns.13694. Epub 2021 Jun 10.

Abstract

AIM

This study aimed to investigate the regulation of pain hypersensitivity induced by the spinal synaptic transmission mechanisms underlying interleukin (IL)-10 and glucagon-like peptide 1 receptor (GLP-1R) agonist exenatide-induced pain anti-hypersensitivity in neuropathic rats through spinal nerve ligations.

METHODS

Neuropathic pain model was established by spinal nerve ligation of L5/L6 and verified by electrophysiological recording and immunofluorescence staining. Microglial expression of β-endorphin through autocrine IL-10- and exenatide-induced inhibition of glutamatergic transmission were performed by behavioral tests coupled with whole-cell recording of miniature excitatory postsynaptic currents (mEPSCs) and miniature inhibitory postsynaptic currents (mIPSCs) through application of endogenous and exogenous IL-10 and β-endorphin.

RESULTS

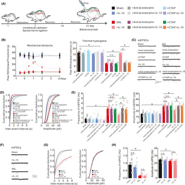
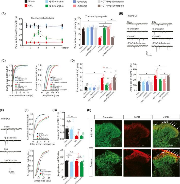
Intrathecal injections of IL-10, exenatide, and the μ-opioid receptor (MOR) agonists β-endorphin and DAMGO inhibited thermal hyperalgesia and mechanical allodynia in neuropathic rats. Whole-cell recordings of bath application of exenatide, IL-10, and β-endorphin showed similarly suppressed enhanced frequency and amplitude of the mEPSCs in the spinal dorsal horn neurons of laminae II, but did not reduce the frequency and amplitude of mIPSCs in neuropathic rats. The inhibitory effects of IL-10 and exenatide on pain hypersensitive behaviors and spinal synaptic plasticity were totally blocked by pretreatment of IL-10 antibody, β-endorphin antiserum, and MOR antagonist CTAP. In addition, the microglial metabolic inhibitor minocycline blocked the inhibitory effects of IL-10 and exenatide but not β-endorphin on spinal synaptic plasticity.

CONCLUSION

This suggests that spinal microglial expression of β-endorphin mediates IL-10- and exenatide-induced inhibition of glutamatergic transmission and pain hypersensitivity via presynaptic and postsynaptic MORs in spinal dorsal horn.

摘要

目的

本研究旨在通过脊髓神经结扎,探讨白细胞介素(IL)-10 和胰高血糖素样肽 1 受体(GLP-1R)激动剂 exenatide 诱导的疼痛超敏反应的脊髓突触传递机制调节,研究神经病理性大鼠的疼痛超敏反应。

方法

通过 L5/L6 脊髓神经结扎建立神经病理性疼痛模型,并通过电生理记录和免疫荧光染色进行验证。通过行为测试结合全细胞膜片钳记录微小兴奋性突触后电流(mEPSCs)和微小抑制性突触后电流(mIPSCs),研究内源性和外源性 IL-10 和 β-内啡肽通过自分泌 IL-10 和 exenatide 抑制谷氨酸能传递对β-内啡肽的表达。

结果

鞘内注射 IL-10、exenatide 和 μ 阿片受体(MOR)激动剂 β-内啡肽和 DAMGO 抑制神经病理性大鼠的热痛觉过敏和机械性痛觉过敏。全细胞膜片钳记录 exenatide、IL-10 和 β-内啡肽的灌流应用显示,脊髓背角神经元 II 层中 mEPSCs 的增强频率和幅度相似,但不降低神经病理性大鼠 mIPSCs 的频率和幅度。IL-10 抗体、β-内啡肽抗血清和 MOR 拮抗剂 CTAP 的预处理完全阻断了 IL-10 和 exenatide 对疼痛超敏行为和脊髓突触可塑性的抑制作用。此外,小胶质细胞代谢抑制剂米诺环素阻断了 IL-10 和 exenatide 但不阻断 β-内啡肽对脊髓突触可塑性的抑制作用。

结论

这表明脊髓小胶质细胞表达的 β-内啡肽通过脊髓背角的突触前和突触后 MOR 介导 IL-10 和 exenatide 诱导的抑制谷氨酸能传递和疼痛超敏反应。

https://cdn.ncbi.nlm.nih.gov/pmc/blobs/9fb2/8446220/7715d0231b16/CNS-27-1157-g005.jpg

文献AI研究员

20分钟写一篇综述,助力文献阅读效率提升50倍。

立即体验

用中文搜PubMed

大模型驱动的PubMed中文搜索引擎

马上搜索

文档翻译

学术文献翻译模型,支持多种主流文档格式。

立即体验