Suppr超能文献

研究人类伤害感受器:从基础到临床。

Studying human nociceptors: from fundamentals to clinic.

机构信息

Nuffield Department of Clinical Neurosciences, University of Oxford, Oxford OX3 9DU, UK.

Department of Anesthesia and Pain Medicine, University of Texas MD Anderson Cancer Center, Houston, TX 77030, USA.

出版信息

Brain. 2021 Jun 22;144(5):1312-1335. doi: 10.1093/brain/awab048.

Abstract

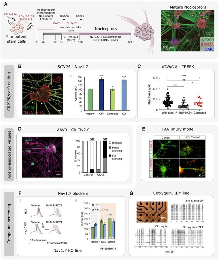
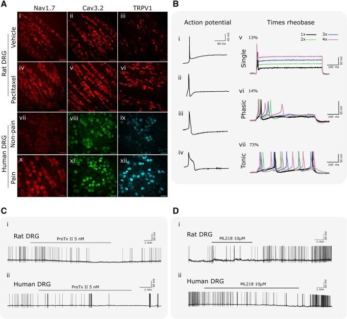
Chronic pain affects one in five of the general population and is the third most important cause of disability-adjusted life-years globally. Unfortunately, treatment remains inadequate due to poor efficacy and tolerability. There has been a failure in translating promising preclinical drug targets into clinic use. This reflects challenges across the whole drug development pathway, from preclinical models to trial design. Nociceptors remain an attractive therapeutic target: their sensitization makes an important contribution to many chronic pain states, they are located outside the blood-brain barrier, and they are relatively specific. The past decade has seen significant advances in the techniques available to study human nociceptors, including: the use of corneal confocal microscopy and biopsy samples to observe nociceptor morphology, the culture of human nociceptors (either from surgical or post-mortem tissue or using human induced pluripotent stem cell derived nociceptors), the application of high throughput technologies such as transcriptomics, the in vitro and in vivo electrophysiological characterization through microneurography, and the correlation with pain percepts provided by quantitative sensory testing. Genome editing in human induced pluripotent stem cell-derived nociceptors enables the interrogation of the causal role of genes in the regulation of nociceptor function. Both human and rodent nociceptors are more heterogeneous at a molecular level than previously appreciated, and while we find that there are broad similarities between human and rodent nociceptors there are also important differences involving ion channel function, expression, and cellular excitability. These technological advances have emphasized the maladaptive plastic changes occurring in human nociceptors following injury that contribute to chronic pain. Studying human nociceptors has revealed new therapeutic targets for the suppression of chronic pain and enhanced repair. Cellular models of human nociceptors have enabled the screening of small molecule and gene therapy approaches on nociceptor function, and in some cases have enabled correlation with clinical outcomes. Undoubtedly, challenges remain. Many of these techniques are difficult to implement at scale, current induced pluripotent stem cell differentiation protocols do not generate the full diversity of nociceptor populations, and we still have a relatively poor understanding of inter-individual variation in nociceptors due to factors such as age, sex, or ethnicity. We hope our ability to directly investigate human nociceptors will not only aid our understanding of the fundamental neurobiology underlying acute and chronic pain but also help bridge the translational gap.

摘要

慢性疼痛影响全球五分之一的普通人群,是全球导致伤残调整生命年的第三大重要原因。不幸的是,由于疗效和耐受性差,治疗仍然不足。有希望的临床前药物靶点未能转化为临床应用。这反映了整个药物开发途径从临床前模型到试验设计都存在挑战。伤害感受器仍然是一个有吸引力的治疗靶点:它们的敏化对许多慢性疼痛状态做出了重要贡献,它们位于血脑屏障之外,并且相对特异。过去十年,研究人类伤害感受器的技术取得了重大进展,包括:使用角膜共聚焦显微镜和活检样本观察伤害感受器形态,培养人类伤害感受器(来自手术或死后组织或使用人类诱导多能干细胞衍生的伤害感受器),应用高通量技术如转录组学,通过微神经记录进行体外和体内电生理特性分析,以及通过定量感觉测试提供与疼痛知觉的相关性。人类诱导多能干细胞衍生的伤害感受器的基因组编辑使我们能够探究基因在伤害感受器功能调节中的因果作用。人类和啮齿动物伤害感受器在分子水平上比以前认为的更加多样化,虽然我们发现人类和啮齿动物伤害感受器之间存在广泛的相似性,但也存在涉及离子通道功能、表达和细胞兴奋性的重要差异。这些技术进步强调了伤害后人类伤害感受器发生的适应性可塑性变化,这些变化导致慢性疼痛。研究人类伤害感受器揭示了抑制慢性疼痛和增强修复的新治疗靶点。人类伤害感受器的细胞模型使我们能够筛选伤害感受器功能的小分子和基因治疗方法,并且在某些情况下能够与临床结果相关联。毫无疑问,挑战依然存在。这些技术中的许多都难以大规模实施,目前的诱导多能干细胞分化方案不能产生完整的伤害感受器群体多样性,并且由于年龄、性别或种族等因素,我们对伤害感受器的个体间差异仍然了解甚少。我们希望我们直接研究人类伤害感受器的能力不仅有助于我们理解急性和慢性疼痛的基本神经生物学,还有助于缩小转化差距。

https://cdn.ncbi.nlm.nih.gov/pmc/blobs/f0c9/8219361/43553ef9a37d/awab048f1.jpg

文献AI研究员

20分钟写一篇综述,助力文献阅读效率提升50倍。

立即体验

用中文搜PubMed

大模型驱动的PubMed中文搜索引擎

马上搜索

文档翻译

学术文献翻译模型,支持多种主流文档格式。

立即体验