Suppr超能文献

长链非编码 RNA LINC01132 的沉默通过调节 microRNA-431-5p/SOX9 轴缓解上皮性卵巢癌的致癌性。

Silencing of the long noncoding RNA LINC01132 alleviates the oncogenicity of epithelial ovarian cancer by regulating the microRNA‑431‑5p/SOX9 axis.

机构信息

Department of Gynaecology and Obstetrics, Weifang People's Hospital, Weifang, Shandong 261401, P.R. China.

Department of General Surgery, Weifang People's Hospital, Weifang, Shandong 261401, P.R. China.

出版信息

Int J Mol Med. 2021 Aug;48(2). doi: 10.3892/ijmm.2021.4984. Epub 2021 Jun 16.

Abstract

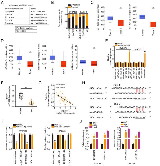
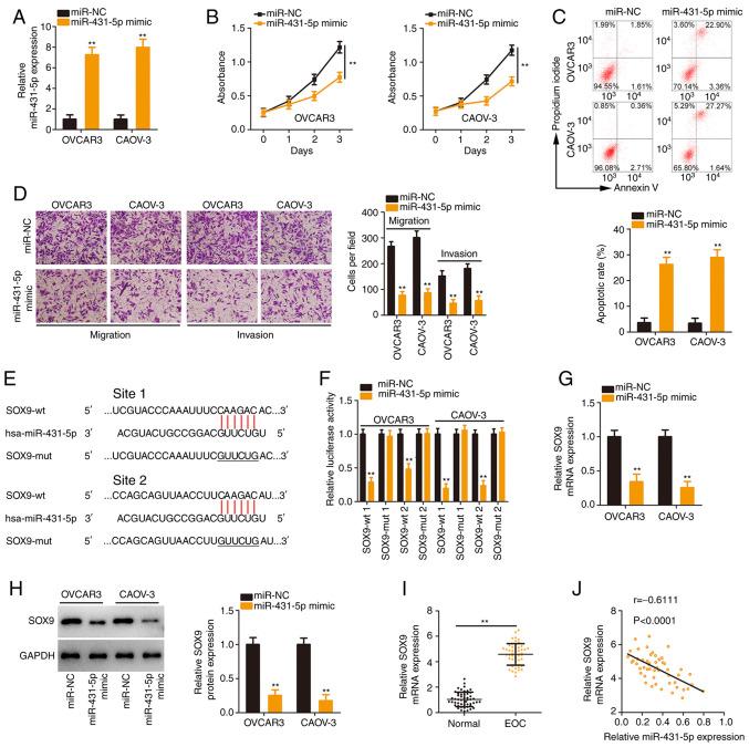
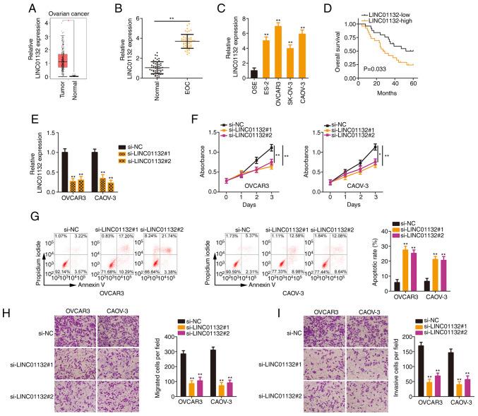
To date, the role of lncRNA long intergenic non‑protein‑coding RNA 1132 (LINC01132) expression in epithelial ovarian cancer (EOC) has not been explored. Thus, LINC01132 expression in EOC was assessed and the regulatory activity of LINC01132 on the malignant behaviours of EOC cells was investigated. Additionally, the molecular events that occurred downstream of LINC01132 in EOC cells were also revealed. In the present study, LINC01132 expression in EOC was verified by employing RT‑qPCR. The effects of LINC01132 on the aggressive behaviours of EOC cells were revealed utilizing multiple functional experiments. The targeting interaction among LINC01132, microRNA‑431‑5p (miR‑431‑5p) and SRY‑box 9 (SOX9) was demonstrated by RNA immunoprecipitation and luciferase reporter assay. Herein, LINC01132 was overexpressed in EOC and was significantly associated with poor patient prognosis. Functionally, cell experiments revealed that LINC01132 depletion produced cancer‑suppressive effects in EOC cells and regulated cell proliferation, migration, invasion and apoptosis . Additionally, the loss of LINC01132 attenuated tumour growth . Mechanistically, LINC01132 acted as a competing endogenous RNA by sequestering miR‑431‑5p and consequently overexpressing SOX9 in EOC cells, forming a LINC01132/miR‑431‑5p/SOX9 axis. In rescue experiments, miR‑431‑5p inhibition or SOX9 reintroduction eliminated the anti‑tumour effects of LINC01132 silencing on the pathological behaviours of EOC cells. Generally, LINC01132 exhibited oncogenic activities in EOC cells by regulating the outcome of the miR‑431‑5p/SOX9 axis, providing an effective target for EOC diagnosis, therapy and prognosis evaluation.

摘要

迄今为止,长链非编码 RNA 长基因间非蛋白编码 RNA 1132(LINC01132)在卵巢上皮性癌(EOC)中的表达作用尚未得到探索。因此,本研究评估了 LINC01132 在 EOC 中的表达,并研究了 LINC01132 对 EOC 细胞恶性行为的调节活性。此外,还揭示了 LINC01132 在 EOC 细胞中发生的下游分子事件。在本研究中,通过 RT-qPCR 验证了 LINC01132 在 EOC 中的表达。通过多种功能实验揭示了 LINC01132 对 EOC 细胞侵袭行为的影响。通过 RNA 免疫沉淀和荧光素酶报告基因分析证实了 LINC01132 与 microRNA-431-5p(miR-431-5p)和 SRY 框 9(SOX9)之间的靶向相互作用。在此,LINC01132 在 EOC 中过表达,且与患者不良预后显著相关。功能实验表明,LINC01132 缺失可抑制 EOC 细胞的癌变,并调节细胞增殖、迁移、侵袭和凋亡。此外,LINC01132 的缺失可减弱肿瘤生长。机制上,LINC01132 在 EOC 细胞中作为竞争性内源性 RNA,通过结合 miR-431-5p 并进而过表达 SOX9,形成 LINC01132/miR-431-5p/SOX9 轴。在挽救实验中,miR-431-5p 抑制或 SOX9 再导入消除了 LINC01132 沉默对 EOC 细胞病理行为的抗肿瘤作用。总的来说,LINC01132 通过调节 miR-431-5p/SOX9 轴的结果在上皮性卵巢癌中发挥致癌作用,为 EOC 的诊断、治疗和预后评估提供了有效的靶点。

https://cdn.ncbi.nlm.nih.gov/pmc/blobs/6b26/8219520/3e161f9428b6/IJMM-48-02-04984-g00.jpg

文献AI研究员

20分钟写一篇综述,助力文献阅读效率提升50倍。

立即体验

用中文搜PubMed

大模型驱动的PubMed中文搜索引擎

马上搜索

文档翻译

学术文献翻译模型,支持多种主流文档格式。

立即体验