Suppr超能文献

导管内乳头状黏液性癌与常规胰腺导管腺癌:临床病理特征、结局和分子见解的全面综述。

Intraductal Papillary Mucinous Carcinoma Versus Conventional Pancreatic Ductal Adenocarcinoma: A Comprehensive Review of Clinical-Pathological Features, Outcomes, and Molecular Insights.

机构信息

Department of Hepato-Gastroenterology and Digestive Oncology, Pitié Salpêtrière Hospital, APHP, 47-83 Boulevard de l'Hôpital, 75013 Paris, France.

Department of Digestive and Oncologic Surgery, Ambroise Paré Hospital, AP-HP, 9 Avenue Charles de Gaulle, 92104 Boulogne-Billancourt, France.

出版信息

Int J Mol Sci. 2021 Jun 23;22(13):6756. doi: 10.3390/ijms22136756.

Abstract

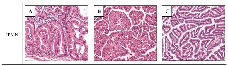
Intraductal papillary mucinous neoplasms (IPMN) are common and one of the main precursor lesions of pancreatic ductal adenocarcinoma (PDAC). PDAC derived from an IPMN is called intraductal papillary mucinous carcinoma (IPMC) and defines a subgroup of patients with ill-defined specificities. As compared to conventional PDAC, IPMCs have been associated to clinical particularities and favorable pathological features, as well as debated outcomes. However, IPMNs and IPMCs include distinct subtypes of precursor (gastric, pancreato-biliary, intestinal) and invasive (tubular, colloid) lesions, also associated to specific characteristics. Notably, consistent data have shown intestinal IPMNs and associated colloid carcinomas, defining the "intestinal pathway", to be associated with less aggressive features. Genomic specificities have also been uncovered, such as mutations of the gene, and recent data provide more insights into the mechanisms involved in IPMCs carcinogenesis. This review synthetizes available data on clinical-pathological features and outcomes associated with IPMCs and their subtypes. We also describe known genomic hallmarks of these lesions and summarize the latest data about molecular processes involved in IPMNs initiation and progression to IPMCs. Finally, potential implications for clinical practice and future research strategies are discussed.

摘要

导管内乳头状黏液性肿瘤(IPMN)是常见的,也是胰腺导管腺癌(PDAC)的主要前体病变之一。来源于 IPMN 的 PDAC 称为导管内乳头状黏液性癌(IPMC),并定义了一组具有不明确特异性的患者亚组。与传统 PDAC 相比,IPMCs 与临床特殊性和有利的病理特征相关,并存在有争议的结果。然而,IPMNs 和 IPMCs 包括不同的前体(胃、胰胆管、肠)和侵袭性(管状、胶状)病变亚型,也与特定特征相关。值得注意的是,一致的数据表明肠 IPMNs 和相关的胶样癌,定义了“肠途径”,与侵袭性较低的特征相关。基因组特异性也已被揭示,例如 基因的突变,最近的数据提供了更多关于 IPMCs 发生机制的见解。本综述综合了与 IPMCs 及其亚型相关的临床病理特征和结果的可用数据。我们还描述了这些病变的已知基因组特征,并总结了关于 IPMNs 起始和进展为 IPMCs 所涉及的分子过程的最新数据。最后,讨论了对临床实践和未来研究策略的潜在影响。

https://cdn.ncbi.nlm.nih.gov/pmc/blobs/e646/8268881/606b9fcd8f18/ijms-22-06756-g001a.jpg

文献AI研究员

20分钟写一篇综述,助力文献阅读效率提升50倍。

立即体验

用中文搜PubMed

大模型驱动的PubMed中文搜索引擎

马上搜索

文档翻译

学术文献翻译模型,支持多种主流文档格式。

立即体验