Suppr超能文献

[具体物质名称1]和[具体物质名称2]的抗氧化和抗炎作用:计算机模拟、生化及组织学研究

Antioxidant and Anti-Inflammatory Effects of and : In Silico, Biochemical and Histological Study.

作者信息

Zammel Nourhene, Saeed Mohd, Bouali Nouha, Elkahoui Salem, Alam Jahoor M, Rebai Tarek, Kausar Mohd A, Adnan Mohd, Siddiqui Arif J, Badraoui Riadh

机构信息

Laboratory of Histo-Embryology and Cytogenetics, Medicine Faculty of Sfax, University of Sfax, Sfax 3029, Tunisia.

Department of Biology, University of Ha'il, Ha'il 81451, Saudi Arabia.

出版信息

Foods. 2021 Jun 15;10(6):1383. doi: 10.3390/foods10061383.

Abstract

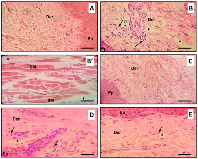
In this study, the antioxidant and anti-inflammatory effects of and aqueous extracts were examined in a carrageenan-induced acute inflammation model. Some markers of inflammation such as hematological parameters, fibrinogen and C-reactive protein were measured. Variables reflecting oxidative stress included thiobarbituric acid reactive substances (TBARS), advanced oxidation of protein products (AOPP), superoxide dismutase (SOD), catalase (CAT), glutathione peroxidase (GPx) and glutathione were determined in both inflamed foci and erythrocytes. The in silico molecular docking simulation showed that the main components of and bound to toll-like receptor 6 (TLR6) with high affinities. Moreover, histological examinations of paw edema were carried out. Both and ameliorated the induced inflammation and oxidative stress status as outlined by anti-edematous, antioxidant and anti-inflammatory activities. Our investigation lends pharmacological support to the medical uses of these spices in the management of inflammatory disorders and oxidative damage. The results of the in silico assay satisfactory explain the in vivo effects as compared with indomethacin.

摘要

在本研究中,在角叉菜胶诱导的急性炎症模型中检测了[具体物质1]和[具体物质2]水提取物的抗氧化和抗炎作用。测量了一些炎症标志物,如血液学参数、纤维蛋白原和C反应蛋白。反映氧化应激的变量包括丙二醛反应性物质(TBARS)、蛋白质产物的晚期氧化(AOPP)、超氧化物歧化酶(SOD)、过氧化氢酶(CAT)、谷胱甘肽过氧化物酶(GPx)和谷胱甘肽,在炎症病灶和红细胞中均进行了测定。计算机分子对接模拟表明,[具体物质1]和[具体物质2]的主要成分与Toll样受体6(TLR6)具有高亲和力结合。此外,还进行了爪部水肿的组织学检查。[具体物质1]和[具体物质2]均通过抗水肿、抗氧化和抗炎活性改善了诱导的炎症和氧化应激状态。我们的研究为这些香料在炎症性疾病管理和氧化损伤中的医学用途提供了药理学支持。与吲哚美辛相比,计算机分析结果令人满意地解释了体内效应。

https://cdn.ncbi.nlm.nih.gov/pmc/blobs/95f6/8232813/68e86edec49c/foods-10-01383-g001.jpg

文献AI研究员

20分钟写一篇综述,助力文献阅读效率提升50倍。

立即体验

用中文搜PubMed

大模型驱动的PubMed中文搜索引擎

马上搜索

文档翻译

学术文献翻译模型,支持多种主流文档格式。

立即体验