Suppr超能文献

达沙替尼通过多靶点机制对人口腔癌细胞的抗生长和促凋亡作用。

Anti-growth and pro-apoptotic effects of dasatinib on human oral cancer cells through multi-targeted mechanisms.

机构信息

Department of Molecular Medicine, College of Medicine, Keimyung University, Daegu, Korea.

Department of Dentistry, College of Medicine, Keimyung University, Daegu, Korea.

出版信息

J Cell Mol Med. 2021 Sep;25(17):8300-8311. doi: 10.1111/jcmm.16782. Epub 2021 Jul 28.

Abstract

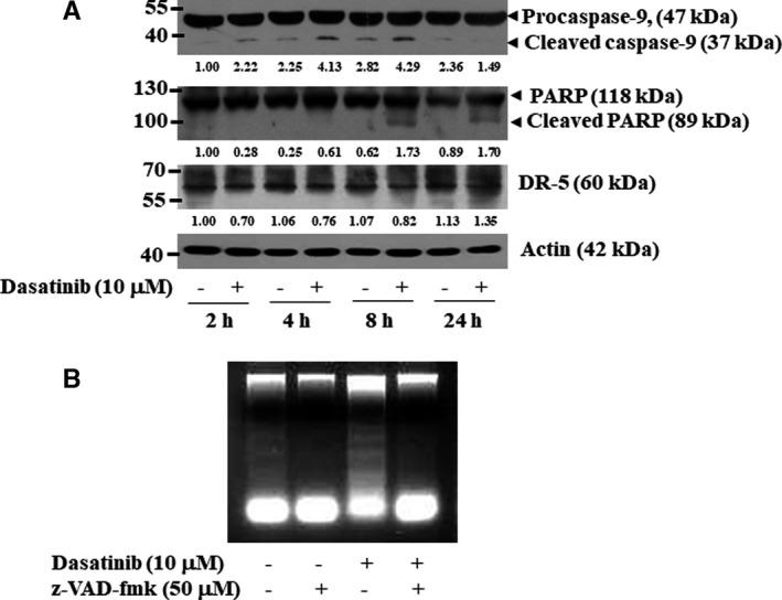
Dasatinib is an inhibitor of Src that has anti-tumour effects on many haematological and solid cancers. However, the anti-tumour effects of dasatinib on human oral cancers remain unclear. In this study, we investigated the effects of dasatinib on different types of human oral cancer cells: the non-tumorigenic YD-8 and YD-38 and the tumorigenic YD-10B and HSC-3 cells. Strikingly, dasatinib at 10 µM strongly suppressed the growth and induced apoptosis of YD-38 cells and inhibited the phosphorylation of Src, EGFR, STAT-3, STAT-5, PKB and ERK-1/2. In contrast, knockdown of Src blocked the phosphorylation of EGFR, STAT-5, PKB and ERK-1/2, but not STAT-3, in YD-38 cells. Dasatinib induced activation of the intrinsic caspase pathway, which was inhibited by z-VAD-fmk, a pan-caspase inhibitor. Dasatinib also decreased Mcl-1 expression and S6 phosphorylation while increased GRP78 expression and eIF-2α phosphorylation in YD-38 cells. In addition, to its direct effects on YD-38 cells, dasatinib also exhibited anti-angiogenic properties. Dasatinib-treated YD-38 or HUVEC showed reduced HIF-1α expression and stability. Dasatinib alone or conditioned media from dasatinib-treated YD-38 cells inhibited HUVEC tube formation on Matrigel without affecting HUVEC viability. Importantly, dasatinib's anti-growth, anti-angiogenic and pro-apoptotic effects were additionally seen in tumorigenic HSC-3 cells. Together, these results demonstrate that dasatinib has strong anti-growth, anti-angiogenic and pro-apoptotic effects on human oral cancer cells, which are mediated through the regulation of multiple targets, including Src, EGFR, STAT-3, STAT-5, PKB, ERK-1/2, S6, eIF-2α, GRP78, caspase-9/3, Mcl-1 and HIF-1α.

摘要

达沙替尼是一种Src 抑制剂,对许多血液系统和实体瘤具有抗肿瘤作用。然而,达沙替尼对人类口腔癌的抗肿瘤作用尚不清楚。在这项研究中,我们研究了达沙替尼对不同类型人口腔癌细胞的影响:非致瘤性 YD-8 和 YD-38 以及致瘤性 YD-10B 和 HSC-3 细胞。令人惊讶的是,达沙替尼在 10μM 时强烈抑制 YD-38 细胞的生长并诱导细胞凋亡,并抑制 Src、EGFR、STAT-3、STAT-5、PKB 和 ERK-1/2 的磷酸化。相比之下,Src 的敲低阻断了 YD-38 细胞中 EGFR、STAT-5、PKB 和 ERK-1/2 的磷酸化,但不阻断 STAT-3 的磷酸化。达沙替尼诱导内在半胱天冬酶途径的激活,该途径被广谱半胱天冬酶抑制剂 z-VAD-fmk 抑制。达沙替尼还降低了 YD-38 细胞中 Mcl-1 的表达和 S6 的磷酸化,同时增加了 GRP78 的表达和 eIF-2α 的磷酸化。此外,除了对 YD-38 细胞的直接作用外,达沙替尼还表现出抗血管生成特性。达沙替尼处理的 YD-38 或 HUVEC 显示 HIF-1α 表达和稳定性降低。达沙替尼单独或用达沙替尼处理的 YD-38 细胞的条件培养基抑制 Matrigel 上的 HUVEC 管形成,而不影响 HUVEC 的活力。重要的是,达沙替尼的生长抑制、抗血管生成和促凋亡作用在致瘤性 HSC-3 细胞中也得到了进一步证实。总之,这些结果表明,达沙替尼对人类口腔癌细胞具有强大的生长抑制、抗血管生成和促凋亡作用,这是通过调节多个靶点介导的,包括 Src、EGFR、STAT-3、STAT-5、PKB、ERK-1/2、S6、eIF-2α、GRP78、caspase-9/3、Mcl-1 和 HIF-1α。

https://cdn.ncbi.nlm.nih.gov/pmc/blobs/b86c/8419177/a3e0b1b1c370/JCMM-25-8300-g001.jpg

文献AI研究员

20分钟写一篇综述,助力文献阅读效率提升50倍。

立即体验

用中文搜PubMed

大模型驱动的PubMed中文搜索引擎

马上搜索

文档翻译

学术文献翻译模型,支持多种主流文档格式。

立即体验