Suppr超能文献

转录 CDK 抑制剂 CYC065 和 THZ1 通过细胞周期阻滞和 Mcl-1 下调促进原发性和复发性 GBM 中的 Bim 依赖性细胞凋亡。

Transcriptional CDK inhibitors, CYC065 and THZ1 promote Bim-dependent apoptosis in primary and recurrent GBM through cell cycle arrest and Mcl-1 downregulation.

机构信息

Department of Physiology and Medical Physics, Royal College of Surgeons in Ireland, University of Medicine and Health Sciences, Dublin, Ireland.

Department of Surgery, Royal College of Surgeons in Ireland, University of Medicine and Health Sciences, RCSI Education and Research Centre, Smurfit Building, Beaumont Hospital, Dublin, Ireland.

出版信息

Cell Death Dis. 2021 Aug 3;12(8):763. doi: 10.1038/s41419-021-04050-7.

Abstract

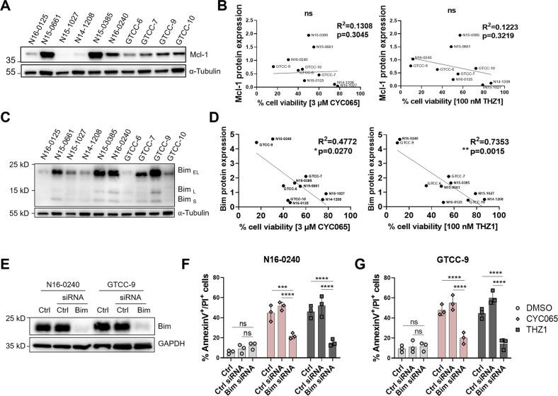
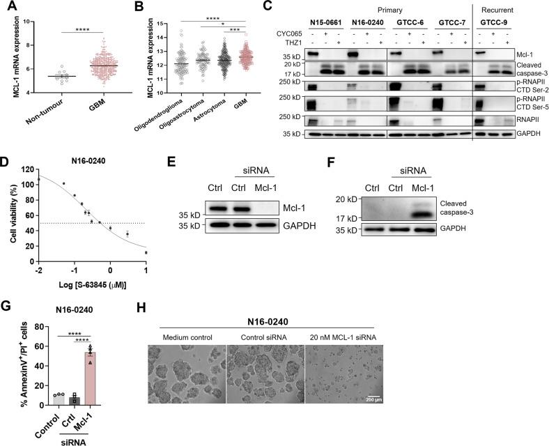
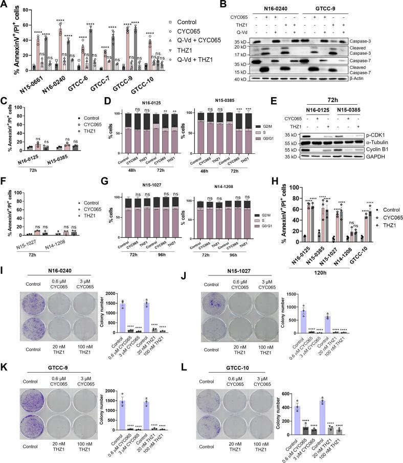
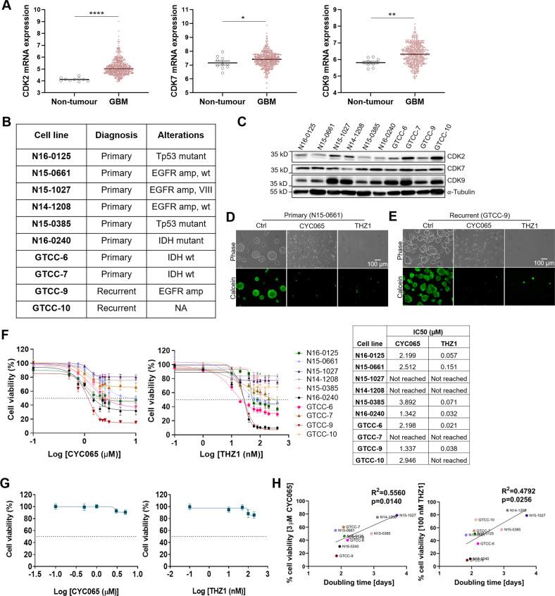
Activation of cyclin-dependent kinases (CDKs) contributes to the uncontrolled proliferation of tumour cells. Genomic alterations that lead to the constitutive activation or overexpression of CDKs can support tumourigenesis including glioblastoma (GBM), the most common and aggressive primary brain tumour in adults. The incurability of GBM highlights the need to discover novel and more effective treatment options. Since CDKs 2, 7 and 9 were found to be overexpressed in GBM, we tested the therapeutic efficacy of two CDK inhibitors (CKIs) (CYC065 and THZ1) in a heterogeneous panel of GBM patient-derived cell lines (PDCLs) cultured as gliomaspheres, as preclinically relevant models. CYC065 and THZ1 treatments suppressed invasion and induced viability loss in the majority of gliomaspheres, irrespective of the mutational background of the GBM cases, but spared primary cortical neurons. Viability loss arose from G2/M cell cycle arrest following treatment and subsequent induction of apoptotic cell death. Treatment efficacies and treatment durations required to induce cell death were associated with proliferation velocities, and apoptosis induction correlated with complete abolishment of Mcl-1 expression, a cell cycle-regulated antiapoptotic Bcl-2 family member. GBM models generally appeared highly dependent on Mcl-1 expression for cell survival, as demonstrated by pharmacological Mcl-1 inhibition or depletion of Mcl-1 expression. Further analyses identified CKI-induced Mcl-1 loss as a prerequisite to establish conditions at which the BH3-only protein Bim can efficiently induce apoptosis, with cellular Bim amounts strongly correlating with treatment efficacy. CKIs reduced proliferation and promoted apoptosis also in chick embryo xenograft models of primary and recurrent GBM. Collectively, these studies highlight the potential of these novel CKIs to suppress growth and induce cell death of patient-derived GBM cultures in vitro and in vivo, warranting further clinical investigation.

摘要

细胞周期蛋白依赖性激酶 (CDKs) 的激活导致肿瘤细胞的失控增殖。导致 CDK 组成性激活或过表达的基因组改变可支持肿瘤发生,包括胶质母细胞瘤 (GBM),这是成人中最常见和侵袭性最强的原发性脑肿瘤。GBM 的不可治愈性突出表明需要发现新的、更有效的治疗选择。由于 CDK2、7 和 9 在 GBM 中过表达,我们在作为临床前相关模型的胶质瘤球体中培养的异质性 GBM 患者来源细胞系 (PDCL) 中测试了两种 CDK 抑制剂 (CKI) (CYC065 和 THZ1) 的治疗效果。CYC065 和 THZ1 治疗抑制了大多数胶质瘤球体的侵袭,并诱导了活力丧失,无论 GBM 病例的突变背景如何,但保留了原代皮质神经元。活力丧失源于治疗后 G2/M 细胞周期停滞和随后诱导的细胞凋亡。细胞活力丧失是由于细胞周期调控抗凋亡 Bcl-2 家族成员 Mcl-1 的表达完全消除而引起的。治疗效果和诱导细胞死亡所需的治疗持续时间与增殖速度相关,凋亡诱导与 Mcl-1 表达的完全消除相关,Mcl-1 是一种细胞周期调节的抗凋亡 Bcl-2 家族成员。GBM 模型通常对 Mcl-1 表达高度依赖于细胞存活,这可通过药理学 Mcl-1 抑制或 Mcl-1 表达耗竭来证明。进一步的分析确定 CKI 诱导的 Mcl-1 丧失是建立 Bim 等 BH3 仅蛋白可以有效诱导凋亡的条件的前提,细胞内 Bim 量与治疗效果强烈相关。CKIs 还减少了原代和复发性 GBM 鸡胚异种移植模型中的增殖并促进了凋亡。总的来说,这些研究强调了这些新型 CKI 抑制肿瘤生长和诱导患者来源的 GBM 培养物在体外和体内死亡的潜力,值得进一步的临床研究。

https://cdn.ncbi.nlm.nih.gov/pmc/blobs/c994/8333061/ba8bbed5cc36/41419_2021_4050_Fig1_HTML.jpg

文献AI研究员

20分钟写一篇综述,助力文献阅读效率提升50倍。

立即体验

用中文搜PubMed

大模型驱动的PubMed中文搜索引擎

马上搜索

文档翻译

学术文献翻译模型,支持多种主流文档格式。

立即体验