Suppr超能文献

自然杀伤细胞通过增强免疫/肿瘤细胞簇的形成和改善嵌合抗原受体 T 细胞的适应性来增强 CAR-T 细胞的抗肿瘤疗效。

NK cells enhance CAR-T cell antitumor efficacy by enhancing immune/tumor cells cluster formation and improving CAR-T cell fitness.

机构信息

Department of Hematology, Hospital Clinic, IDIBAPS, Barcelona, Spain.

Department of Pediatrics-Research, The University of Texas MD Anderson Cancer Center, Houston, Texas, USA.

出版信息

J Immunother Cancer. 2021 Aug;9(8). doi: 10.1136/jitc-2021-002866.

Abstract

BACKGROUND

Chimeric antigen receptor (CAR)-T cell immunotherapy has modified the concept of treatment in hematological malignancies. In comparison with pediatric patients, where responses are maintained over many years, older patients, such as those with non-Hodgkin's lymphoma (NHL) and multiple myeloma (MM), present lower persistence of CAR-T cells that might be due to decreased fitness of T cells acquired with aging. Moreover, cord blood derived-NK cells (CB-NKs) and CAR-NK cells derived from CB-NK can be used 'off-the-shelf' as immune cells with antitumor properties for the treatment of cancer patients. However, to date, clinical studies have only demonstrated the safety of these therapies but not optimal efficacy. To confront the shortcomings of each therapy, we devised a novel approach consisting of simultaneous (CAR-)NK cell and CAR-T cell administration. In this setting, NK cells demonstrate an important immunoregulation of T cells that could be exploited to enhance the efficacy of CAR-T cells.

METHODS

A combinatorial treatment based on either CAR-T and CAR-NK cells or CB-NK and CAR-T cells in two models of NHL and MM was performed. Antitumor efficacy was analyzed in vitro and in vivo, and parameters related to early activation, exhaustion and senescence of T cells were analyzed.

RESULTS

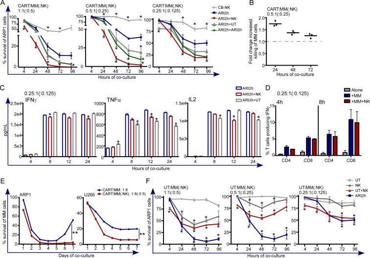
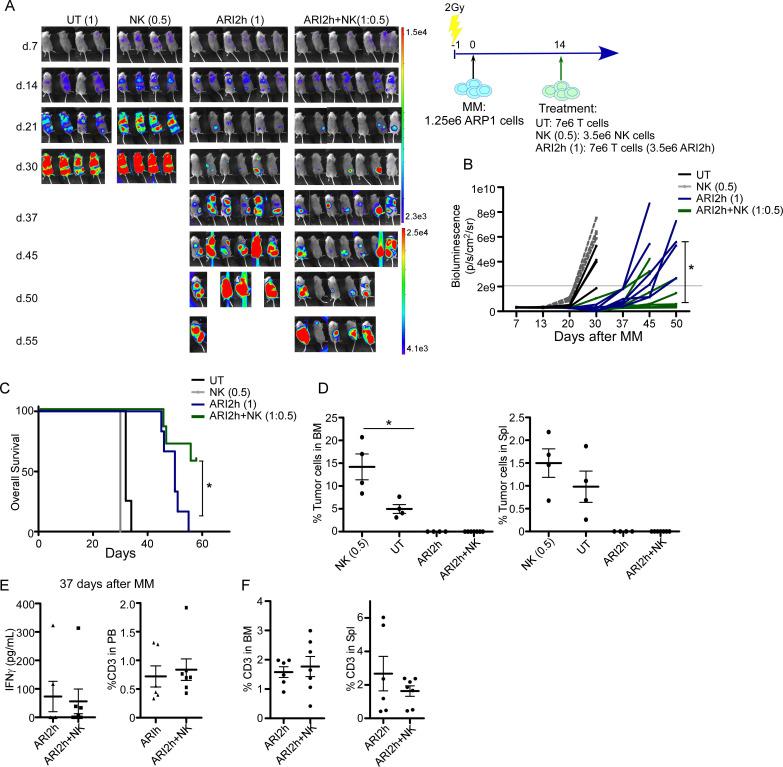
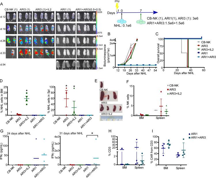
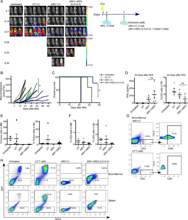
We show that CAR-NK cells derived from CB-NK are only effective at high doses (high E:T ratio) and that their activity rapidly decreases over time in comparison with CAR-T cells. In comparison and to exploit the potential of 'off-the-shelf' CB-NK, we demonstrate that a low number of CB-NK in the CAR-T cell product promotes an early activation of CAR-T cells and their migration to MM cells leading to enhanced anti-MM efficacy. Moreover, cytokines related to CRS development were not increased, and importantly, CB-NK enhanced the fitness of both CAR and CAR T cells, promoting lower levels of exhaustion and senescence.

CONCLUSION

This study demonstrates a relevant immunoregulatory role of CB-NK collaborating with CAR-T cells to enhance their antitumor activity. A novel and different approach to consider in CAR-T cell immunotherapy studies is presented here with the goal to enhance the efficacy of the treatment.

摘要

背景

嵌合抗原受体 (CAR)-T 细胞免疫疗法改变了血液系统恶性肿瘤的治疗观念。与儿科患者相比,CAR-T 细胞的持久性维持多年,而老年患者(如非霍奇金淋巴瘤 (NHL) 和多发性骨髓瘤 (MM) 患者)的 CAR-T 细胞持久性较低,这可能是由于随着年龄的增长,T 细胞的适应性降低。此外,脐血来源的自然杀伤细胞 (CB-NK) 和源自 CB-NK 的 CAR-NK 细胞可作为具有抗肿瘤特性的免疫细胞用于治疗癌症患者。然而,迄今为止,临床研究仅证明了这些疗法的安全性,但疗效并非最佳。为了克服每种疗法的缺点,我们设计了一种新方法,包括同时进行 (CAR-)NK 细胞和 CAR-T 细胞给药。在这种情况下,NK 细胞对 T 细胞具有重要的免疫调节作用,可以利用这种作用来增强 CAR-T 细胞的疗效。

方法

在 NHL 和 MM 的两种模型中,进行了基于 CAR-T 和 CAR-NK 细胞或 CB-NK 和 CAR-T 细胞的组合治疗。在体外和体内分析了抗肿瘤疗效,并分析了与 T 细胞早期激活、衰竭和衰老相关的参数。

结果

我们表明,源自 CB-NK 的 CAR-NK 细胞仅在高剂量(高 E:T 比)时有效,并且与 CAR-T 细胞相比,其活性随着时间的推移迅速下降。为了比较并利用“现成”CB-NK 的潜力,我们证明在 CAR-T 细胞产品中少量 CB-NK 可促进 CAR-T 细胞的早期激活及其向 MM 细胞的迁移,从而增强抗 MM 疗效。此外,与 CRS 发展相关的细胞因子没有增加,重要的是,CB-NK 增强了 CAR 和 CAR T 细胞的适应性,降低了衰竭和衰老的水平。

结论

这项研究表明 CB-NK 与 CAR-T 细胞协同作用具有重要的免疫调节作用,可增强其抗肿瘤活性。本文提出了一种新的、不同的 CAR-T 细胞免疫疗法研究方法,旨在提高治疗效果。

https://cdn.ncbi.nlm.nih.gov/pmc/blobs/ccfd/8388291/dd5f01dd6c12/jitc-2021-002866f01.jpg

文献AI研究员

20分钟写一篇综述,助力文献阅读效率提升50倍。

立即体验

用中文搜PubMed

大模型驱动的PubMed中文搜索引擎

马上搜索

文档翻译

学术文献翻译模型,支持多种主流文档格式。

立即体验