Suppr超能文献

超声引导下单次腘窝坐骨神经阻滞是治疗跟骨骨折的有效术后镇痛策略:一项随机临床试验。

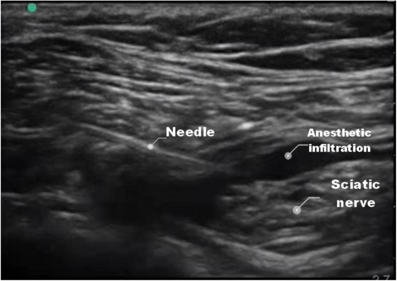
Ultrasound-guided single popliteal sciatic nerve block is an effective postoperative analgesia strategy for calcaneal fracture: a randomized clinical trial.

机构信息

Department of Anesthesiology, the Third Hospital of Hebei Medical University, NO.139, Ziqiang Road, Shijiazhuang, Hebei Province, China.

Department of Anesthesiology, Children's Hospital of Hebei province Affiliated to Hebei Medical University, Shijiazhuang, Hebei, China.

出版信息

BMC Musculoskelet Disord. 2021 Aug 27;22(1):735. doi: 10.1186/s12891-021-04619-5.

Abstract

OBJECTIVES

The aim of this study was to evaluate the postoperative analgesia effect of ultrasound-guided single popliteal sciatic nerve block for calcaneal fracture.

METHODS

A total of 120 patients scheduled for unilateral open reduction and internal fixation of calcaneal fracture were enrolled in this prospective randomized study. Patients in group B received ultrasound-guided single popliteal sciatic nerve block after operation, but Patients in group A did not. All patients received patient-controlled intravenous analgesia (PCIA) after operation. The time to initiation of PCIA, the time of first pressing the analgesia pump, duration of analgesia pump use and the total number of times the patient pressed the analgesia pump were recorded. The time of rescue analgesia and the adverse reactions were recorded. Pain magnitude of the patients immediately after discharge from operating room (T1), and at 4th (T2), 8th (T3), 12th (T4), 16th (T5), 24th (T6) and 48th (T7) h after the operation were assessed with visual analog scale (VAS). In addition, patient, surgeon and nurse satisfaction were recorded.

RESULTS

The VAS scores at T2 ~ T5, the time of rescue analgesia and the adverse reactions, the total number of times the patient pressed the analgesia pump were significantly declined in group B (p < 0.001). The time to initiation of PCIA, the time of first pressing the analgesia pump, duration of analgesia pump use were prolonged and patient surgeon and nurse satisfaction were improved in group B (p < 0.05).

CONCLUSION

Ultrasound-guided single popliteal sciatic nerve block is an effective postoperative analgesia strategy for calcaneal fracture.

TRIAL REGISTRATION

ChiCTR, ChiCTR2100042340. Registered 19 January 2021, URL of trial registry record: http://www.chictr.org.cn/showproj.aspx?proj=66526 .

摘要

目的

本研究旨在评估超声引导下单次腘窝坐骨神经阻滞在跟骨骨折术后的镇痛效果。

方法

本前瞻性随机研究纳入了 120 例行单侧切开复位内固定治疗的跟骨骨折患者。B 组患者术后接受超声引导下单次腘窝坐骨神经阻滞,而 A 组患者则不接受。所有患者术后均接受患者自控静脉镇痛(PCIA)。记录 PCIA 启动时间、首次按压镇痛泵时间、镇痛泵使用时间和患者按压镇痛泵总次数。记录解救镇痛时间和不良反应。记录患者术后即刻(T1)、术后第 4 小时(T2)、第 8 小时(T3)、第 12 小时(T4)、第 16 小时(T5)、第 24 小时(T6)和第 48 小时(T7)时的疼痛程度,采用视觉模拟评分法(VAS)评估。此外,记录患者、术者和护士满意度。

结果

B 组患者 T2 至 T5 时的 VAS 评分、解救镇痛时间和不良反应、患者按压镇痛泵总次数均显著降低(p<0.001)。B 组患者 PCIA 启动时间、首次按压镇痛泵时间、镇痛泵使用时间延长,患者、术者和护士满意度提高(p<0.05)。

结论

超声引导下单次腘窝坐骨神经阻滞是治疗跟骨骨折的有效术后镇痛策略。

试验注册

ChiCTR,ChiCTR2100042340。注册于 2021 年 1 月 19 日,试验注册网址:http://www.chictr.org.cn/showproj.aspx?proj=66526。

https://cdn.ncbi.nlm.nih.gov/pmc/blobs/6649/8400756/7d3abb0a2235/12891_2021_4619_Fig1_HTML.jpg

文献AI研究员

20分钟写一篇综述,助力文献阅读效率提升50倍。

立即体验

用中文搜PubMed

大模型驱动的PubMed中文搜索引擎

马上搜索

文档翻译

学术文献翻译模型,支持多种主流文档格式。

立即体验