Suppr超能文献

有氧运动通过调节 LPS 诱导的脓毒症小鼠的瓦博格效应来改善其病情。

Aerobic exercise improves LPS-induced sepsis via regulating the Warburg effect in mice.

机构信息

Department of College of P.E and Sport, Beijing Normal University, No. 19, Xinjiekouwai St, Haidian District, Beijing, 100875, People's Republic of China.

Department of Animal Genetic Resources, Institute of Animal Science, Chinese Academy of Agricultural Sciences, Beijing, 100193, People's Republic of China.

出版信息

Sci Rep. 2021 Sep 7;11(1):17772. doi: 10.1038/s41598-021-97101-0.

Abstract

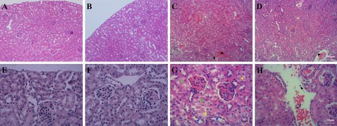
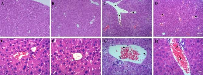
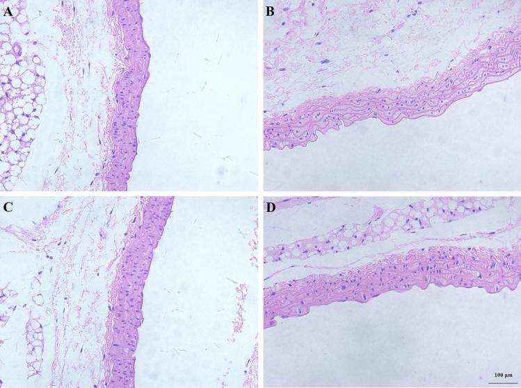
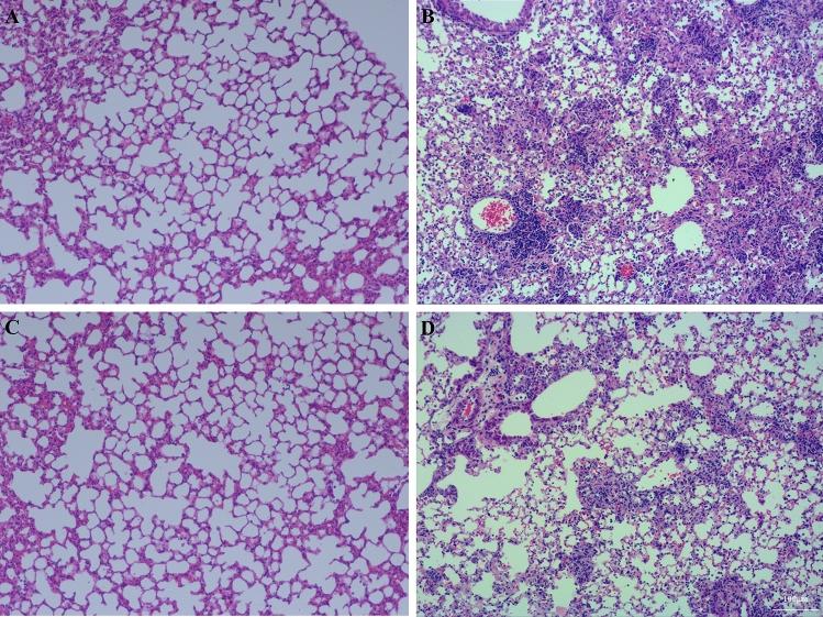
We investigated the impact of aerobic exercise (AE) on multiple organ dysfunction syndrome (MODS), aortic injury, pathoglycemia, and death during sepsis. ICR mice were randomized into four groups: Control (Con), Lipopolysaccharide (LPS), Exercise (Ex), and Exercise + LPS (Ex + LPS) groups. Mice were trained with low-intensity for 4 weeks. LPS and Ex + LPS mice received 5 mg/kg LPS intraperitoneally for induction of sepsis. Histopathological micrographs showed the organ morphology and damage. This study examined the effects of AE on LPS-induced changes in systemic inflammation, pulmonary inflammation, lung permeability, and bronchoalveolar lavage fluid (BALF) cell count, oxidative stress-related indicators in the lung, blood glucose levels, plasma lactate levels, serum insulin levels, plasma high-mobility group box 1 (HMGB1) levels, glucose transporter 1 (Glut1) and HMGB1, silent information regulator 1 (Sirt-1), and nuclear factor erythroid 2-related factor 2 (Nrf-2) mRNA expression levels in lung tissue. AE improved sepsis-associated multiple organ dysfunction syndrome (MODS), aortic injury, hypoglycemia, and death. AE prominently decreased pulmonary inflammation, pulmonary edema, and modulated redox balance during sepsis. AE prominently decreased neutrophil content in organ. AE prominently downregulated CXCL-1, CXCL-8, IL-6, TNF-α, Glu1, and HMGB1 mRNA expression but activated IL-1RN, IL-10, Sirt-1, and Nrf-2 mRNA expression in the lung during sepsis. AE decreased the serum levels of lactate and HMGB1 but increased blood glucose levels and serum insulin levels during sepsis. A 4-week AE improves sepsis-associated MODS, aortic injury, pathoglycemia, and death. AE impairs LPS-induced lactate and HMGB1 release partly because AE increases serum insulin levels and decreases the levels of Glut1. AE is a novel therapeutic strategy for sepsis targeting aerobic glycolysis.

摘要

我们研究了有氧运动(AE)对脓毒症时多器官功能障碍综合征(MODS)、主动脉损伤、病理高血糖和死亡的影响。ICR 小鼠被随机分为四组:对照组(Con)、脂多糖(LPS)组、运动组(Ex)和运动+脂多糖(Ex+LPS)组。小鼠接受 4 周低强度训练。LPS 和 Ex+LPS 组小鼠腹腔内注射 5mg/kg LPS 诱导脓毒症。组织病理学显微照片显示了器官形态和损伤。本研究检测了 AE 对 LPS 诱导的全身炎症、肺炎症、肺通透性和支气管肺泡灌洗液(BALF)细胞计数、肺氧化应激相关指标、血糖水平、血浆乳酸水平、血清胰岛素水平、血浆高迁移率族蛋白 B1(HMGB1)水平、葡萄糖转运蛋白 1(Glut1)和 HMGB1、沉默信息调节因子 1(Sirt-1)和核因子红细胞 2 相关因子 2(Nrf-2)在肺组织中的 mRNA 表达水平的影响。AE 改善了脓毒症相关的多器官功能障碍综合征(MODS)、主动脉损伤、低血糖和死亡。AE 显著降低了脓毒症时的肺炎症、肺水肿和氧化还原平衡的调节。AE 显著降低了器官中的中性粒细胞含量。AE 显著下调了 CXCL-1、CXCL-8、IL-6、TNF-α、Glut1 和 HMGB1 的 mRNA 表达,但在脓毒症时激活了 IL-1RN、IL-10、Sirt-1 和 Nrf-2 的 mRNA 表达。AE 降低了脓毒症时的血清乳酸和 HMGB1 水平,但增加了血糖水平和血清胰岛素水平。4 周的 AE 改善了脓毒症相关的 MODS、主动脉损伤、病理高血糖和死亡。AE 减弱了 LPS 诱导的乳酸和 HMGB1 的释放,部分原因是 AE 增加了血清胰岛素水平,降低了 Glut1 的水平。AE 是一种针对脓毒症的新型治疗策略,针对的是有氧糖酵解。

https://cdn.ncbi.nlm.nih.gov/pmc/blobs/c550/8423727/1d736fd4e627/41598_2021_97101_Fig1_HTML.jpg

文献AI研究员

20分钟写一篇综述,助力文献阅读效率提升50倍。

立即体验

用中文搜PubMed

大模型驱动的PubMed中文搜索引擎

马上搜索

文档翻译

学术文献翻译模型,支持多种主流文档格式。

立即体验