Suppr超能文献

组蛋白 H3K27 去甲基化酶 KDM6A 是癌症中 mTORC1 信号的表观遗传守门员。

Histone H3K27 demethylase KDM6A is an epigenetic gatekeeper of mTORC1 signalling in cancer.

机构信息

Helmholtz-University Group "Cell Plasticity and Epigenetic Remodeling", German Cancer Research Center (DKFZ) & Institute of Pathology, University Hospital, Heidelberg, Germany.

Pediatric Soft Tissue Sarcoma Research Group, German Cancer Research Center (DKFZ), Heidelberg, Germany.

出版信息

Gut. 2022 Aug;71(8):1613-1628. doi: 10.1136/gutjnl-2021-325405. Epub 2021 Sep 11.

Abstract

OBJECTIVE

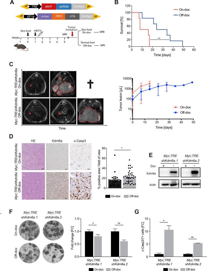
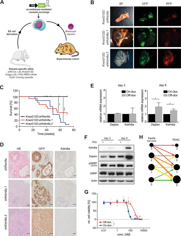
Large-scale genome sequencing efforts of human tumours identified epigenetic modifiers as one of the most frequently mutated gene class in human cancer. However, how these mutations drive tumour development and tumour progression are largely unknown. Here, we investigated the function of the histone demethylase KDM6A in gastrointestinal cancers, such as liver cancer and pancreatic cancer.

DESIGN

Genetic alterations as well as expression analyses of KDM6A were performed in patients with liver cancer. Genetic mouse models of liver and pancreatic cancer coupled with Kdm6a-deficiency were investigated, transcriptomic and epigenetic profiling was performed, and in vivo and in vitro drug treatments were conducted.

RESULTS

KDM6A expression was lost in 30% of patients with liver cancer. Kdm6a deletion significantly accelerated tumour development in murine liver and pancreatic cancer models. Kdm6a-deficient tumours showed hyperactivation of mTORC1 signalling, whereas endogenous Kdm6a re-expression by inducible RNA-interference in established Kdm6a-deficient tumours diminished mTORC1 activity resulting in attenuated tumour progression. Genome-wide transcriptional and epigenetic profiling revealed direct binding of Kdm6a to crucial negative regulators of mTORC1, such as Deptor, and subsequent transcriptional activation by epigenetic remodelling. Moreover, in vitro and in vivo genetic epistasis experiments illustrated a crucial function of Deptor and mTORC1 in Kdm6a-dependent tumour suppression. Importantly, KDM6A expression in human tumours correlates with mTORC1 activity and KDM6A-deficient tumours exhibit increased sensitivity to mTORC1 inhibition.

CONCLUSION

KDM6A is an important tumour suppressor in gastrointestinal cancers and acts as an epigenetic toggle for mTORC1 signalling. Patients with KDM6A-deficient tumours could benefit of targeted therapy focusing on mTORC1 inhibition.

摘要

目的

人类肿瘤的大规模基因组测序工作确定了表观遗传修饰物是人类癌症中最常发生突变的基因类别之一。然而,这些突变如何驱动肿瘤的发展和进展在很大程度上仍是未知的。在这里,我们研究了组蛋白去甲基化酶 KDM6A 在胃肠道癌,如肝癌和胰腺癌中的功能。

设计

对肝癌患者的 KDM6A 基因改变和表达分析进行了研究。对肝癌和胰腺癌的遗传小鼠模型进行了研究,结合 Kdm6a 缺失,进行了转录组和表观遗传谱分析,并进行了体内和体外药物治疗。

结果

KDM6A 的表达在 30%的肝癌患者中丢失。Kdm6a 缺失显著加速了小鼠肝癌和胰腺癌模型中的肿瘤发展。Kdm6a 缺陷型肿瘤显示 mTORC1 信号的过度激活,而在已建立的 Kdm6a 缺陷型肿瘤中通过诱导性 RNA 干扰内源性表达 Kdm6a 则会降低 mTORC1 的活性,从而导致肿瘤进展减弱。全基因组转录组和表观遗传谱分析揭示了 Kdm6a 直接与 mTORC1 的关键负调节因子如 Deptor 结合,并通过表观遗传重塑随后进行转录激活。此外,体外和体内遗传上位性实验表明 Deptor 和 mTORC1 在 Kdm6a 依赖性肿瘤抑制中具有关键作用。重要的是,人类肿瘤中的 KDM6A 表达与 mTORC1 活性相关,并且 KDM6A 缺陷型肿瘤对 mTORC1 抑制的敏感性增加。

结论

KDM6A 是胃肠道癌中的一个重要的肿瘤抑制因子,它作为 mTORC1 信号的表观遗传开关。KDM6A 缺陷型肿瘤患者可能受益于针对 mTORC1 抑制的靶向治疗。

https://cdn.ncbi.nlm.nih.gov/pmc/blobs/21e4/9279849/ae2e1fa8cc07/gutjnl-2021-325405f01.jpg

文献AI研究员

20分钟写一篇综述,助力文献阅读效率提升50倍。

立即体验

用中文搜PubMed

大模型驱动的PubMed中文搜索引擎

马上搜索

文档翻译

学术文献翻译模型,支持多种主流文档格式。

立即体验