Suppr超能文献

TRAPPC4 调节 PD-L1 的细胞内转运和抗肿瘤免疫。

TRAPPC4 regulates the intracellular trafficking of PD-L1 and antitumor immunity.

机构信息

State Key Laboratory for Oncogenes and Related Genes; Division of Gastroenterology and Hepatology, Renji Hospital, School of Medicine, Shanghai Jiao Tong University, Shanghai, China.

Department of Medical Oncology, Zhongshan Hospital, Fudan University, Shanghai, China.

出版信息

Nat Commun. 2021 Sep 13;12(1):5405. doi: 10.1038/s41467-021-25662-9.

Abstract

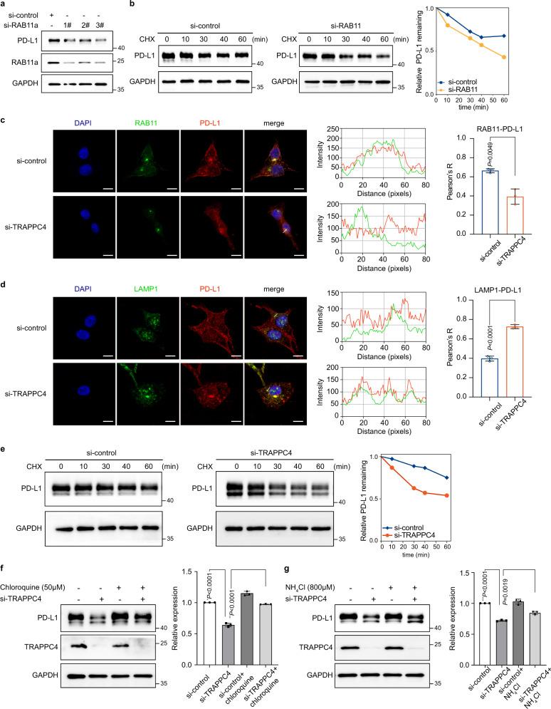
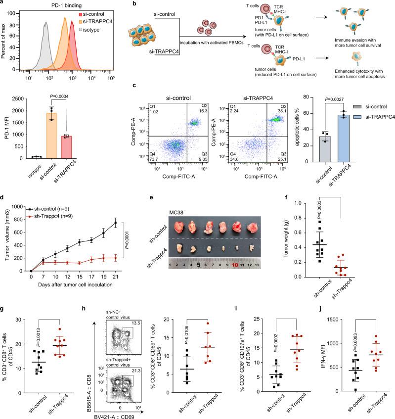
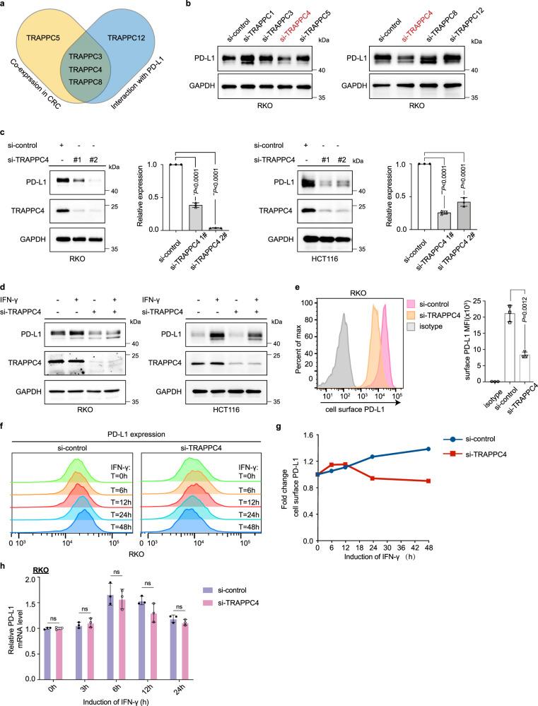
Tumor cells evade T cell-mediated immunosurveillance via the interaction between programmed death-1 (PD-1) ligand 1 (PD-L1) on tumor cells and PD-1 on T cells. Strategies disrupting PD-1/PD-L1 have shown clinical benefits in various cancers. However, the limited response rate prompts us to investigate the molecular regulation of PD-L1. Here, we identify trafficking protein particle complex subunit 4 (TRAPPC4), a major player in vesicular trafficking, as a crucial PD-L1 regulator. TRAPPC4 interacts with PD-L1 in recycling endosomes, acting as a scaffold between PD-L1 and RAB11, and promoting RAB11-mediated recycling of PD-L1, thus replenishing its distribution on the tumor cell surface. TRAPPC4 depletion leads to a significant reduction of PD-L1 expression in vivo and in vitro. This reduction in PD-L1 facilitates T cell-mediated cytotoxicity. Overexpression of Trappc4 sensitizes tumor cells to checkpoint therapy in murine tumor models, suggesting TRAPPC4 as a therapeutic target to enhance anti-tumor immunity.

摘要

肿瘤细胞通过肿瘤细胞上的程序性死亡受体-1(PD-1)配体 1(PD-L1)与 T 细胞上的 PD-1 之间的相互作用,逃避 T 细胞介导的免疫监视。阻断 PD-1/PD-L1 的策略已在多种癌症中显示出临床益处。然而,有限的响应率促使我们研究 PD-L1 的分子调控。在这里,我们确定了运输蛋白颗粒复合物亚基 4(TRAPPC4),作为囊泡运输的主要参与者,是 PD-L1 的关键调节因子。TRAPPC4 在再循环内体中与 PD-L1 相互作用,充当 PD-L1 和 RAB11 之间的支架,并促进 RAB11 介导的 PD-L1 再循环,从而补充其在肿瘤细胞膜表面的分布。TRAPPC4 的耗竭导致体内和体外 PD-L1 表达的显著减少。这种 PD-L1 的减少促进了 T 细胞介导的细胞毒性。在小鼠肿瘤模型中过表达 Trappc4 使肿瘤细胞对检查点治疗敏感,表明 TRAPPC4 是增强抗肿瘤免疫的治疗靶点。

https://cdn.ncbi.nlm.nih.gov/pmc/blobs/db2b/8438078/73d3358dd13e/41467_2021_25662_Fig1_HTML.jpg

文献AI研究员

20分钟写一篇综述,助力文献阅读效率提升50倍。

立即体验

用中文搜PubMed

大模型驱动的PubMed中文搜索引擎

马上搜索

文档翻译

学术文献翻译模型,支持多种主流文档格式。

立即体验