Suppr超能文献

褪黑素可预防经皮致敏小鼠的过敏性气道炎症。

Melatonin prevents allergic airway inflammation in epicutaneously sensitized mice.

机构信息

Department of Food Science and Engineering, Moutai Institute, Renhuai 564507, China.

School of Medicine, Wuhan University of Science and Technology, Wuhan 430065, China.

出版信息

Biosci Rep. 2021 Sep 30;41(9). doi: 10.1042/BSR20210398.

Abstract

PURPOSE

The pathological process of atopic dermatitis (AD) progressing into other types of allergic diseases such as asthma and allergic rhinitis during the first several years of life is often referred to as the atopic march. Although the phenomenon of atopic march has been recognized for decades, how asthma stems from AD is still not fully understood, confounding a universal strategy to effectively protect people from the atopic march.

METHODS

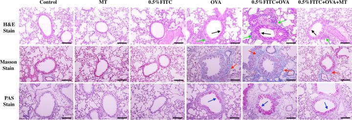
We established experimental atopic march mice by first inducing allergic dermatitis with 0.5% fluorescein isothiocyante (FITC) applied to the skin, followed by an ovalbumin (OVA) airway challenge. In addition, by examining serum immunoglobulin (Ig) concentrations, airway cytokines, the levels of oxidative stress markers, histopathological changes in lung tissue and airway hyperresponsiveness (AHR), we were able to validate the successful establishment of the model. Furthermore, by detecting the attenuating effects of melatonin (MT) and the levels of oxidative stress in the atopic march mice, we explored the potential molecular mechanisms involved in the development of atopic march.

RESULTS

By successfully establishing an experimental atopic march mouse model, we were able to demonstrate that overproduction of oxidative stress in the lung significantly up-regulated the activation of nuclear factor-κB (NF-κB) signaling pathways causing thymic stromal lymphopoietin (TSLP) release, which further promotes the development of atopic march.

CONCLUSIONS

To mitigate the development of the atopic march, antioxidants such as MT may be imperative to inhibit NF-κB activation in the lung, especially after the onset of AD.

摘要

目的

特应性皮炎(AD)在生命的头几年向哮喘和过敏性鼻炎等其他类型的过敏性疾病进展的病理过程通常被称为特应性进行曲。尽管特应性进行曲现象已经被认识了几十年,但哮喘是如何从 AD 发展而来的仍未完全了解,这使得人们无法制定出一种普遍有效的策略来有效保护人们免受特应性进行曲的影响。

方法

我们首先通过将 0.5%荧光素异硫氰酸酯(FITC)应用于皮肤来诱导过敏性皮炎,然后进行卵清蛋白(OVA)气道挑战,从而建立实验性特应性进行曲小鼠模型。此外,通过检查血清免疫球蛋白(Ig)浓度、气道细胞因子、氧化应激标志物水平、肺组织的组织病理学变化和气道高反应性(AHR),我们能够验证模型的成功建立。此外,通过检测褪黑素(MT)对特应性进行曲小鼠的作用及其氧化应激水平,我们探讨了特应性进行曲发展过程中涉及的潜在分子机制。

结果

通过成功建立实验性特应性进行曲小鼠模型,我们能够证明肺部氧化应激的过度产生显著上调了核因子-κB(NF-κB)信号通路的激活,导致胸腺基质淋巴细胞生成素(TSLP)的释放,从而进一步促进了特应性进行曲的发展。

结论

为了减轻特应性进行曲的发展,抗氧化剂如 MT 可能对于抑制肺部 NF-κB 的激活至关重要,尤其是在 AD 发病后。

https://cdn.ncbi.nlm.nih.gov/pmc/blobs/9e40/8458693/7825034eb1a7/bsr-41-bsr20210398-g1.jpg

文献AI研究员

20分钟写一篇综述,助力文献阅读效率提升50倍。

立即体验

用中文搜PubMed

大模型驱动的PubMed中文搜索引擎

马上搜索

文档翻译

学术文献翻译模型,支持多种主流文档格式。

立即体验