Suppr超能文献

间质细胞系异质性是胰腺癌相关成纤维细胞发挥非冗余功能的基础。

Mesenchymal Lineage Heterogeneity Underlies Nonredundant Functions of Pancreatic Cancer-Associated Fibroblasts.

机构信息

Department of Cell, Developmental & Cancer Biology, Oregon Health & Science University, Portland, Oregon.

Advanced Light Microscopy Shared Resource, Oregon Health & Science University, Portland, Oregon.

出版信息

Cancer Discov. 2022 Feb;12(2):484-501. doi: 10.1158/2159-8290.CD-21-0601. Epub 2021 Sep 21.

Abstract

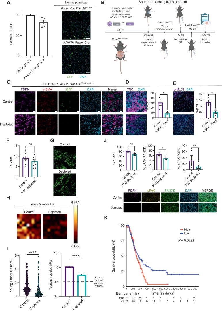
Cancer-associated fibroblast (CAF) heterogeneity is increasingly appreciated, but the origins and functions of distinct CAF subtypes remain poorly understood. The abundant and transcriptionally diverse CAF population in pancreatic ductal adenocarcinoma (PDAC) is thought to arise from a common cell of origin, pancreatic stellate cells (PSC), with diversification resulting from cytokine and growth factor gradients within the tumor microenvironment. Here we analyzed the differentiation and function of PSCs during tumor progression . Contrary to expectations, we found that PSCs give rise to a numerically minor subset of PDAC CAFs. Targeted ablation of PSC-derived CAFs within their host tissue revealed nonredundant functions for this defined CAF population in shaping the PDAC microenvironment, including production of specific extracellular matrix components and tissue stiffness regulation. Together, these findings link stromal evolution from distinct cells of origin to transcriptional heterogeneity among PDAC CAFs and demonstrate unique functions for CAFs of a defined cellular origin. SIGNIFICANCE: By tracking and ablating a specific CAF population, we find that a numerically minor CAF subtype from a defined cell of origin plays unique roles in establishing the pancreatic tumor microenvironment. Together with prior studies, this work suggests that mesenchymal lineage heterogeneity and signaling gradients diversify PDAC CAFs...

摘要

癌症相关成纤维细胞(CAF)异质性日益受到关注,但不同 CAF 亚型的起源和功能仍知之甚少。胰腺导管腺癌(PDAC)中丰富且转录多样化的 CAF 群体被认为起源于共同的细胞起源,即胰腺星状细胞(PSC),通过肿瘤微环境中的细胞因子和生长因子梯度的多样化而产生。在这里,我们分析了 PSC 在肿瘤进展过程中的分化和功能。与预期相反,我们发现 PSCs 产生了数量较少的 PDAC CAFs。在其宿主组织中靶向消融 PSC 衍生的 CAFs 揭示了该特定 CAF 群体在塑造 PDAC 微环境中的非冗余功能,包括产生特定的细胞外基质成分和组织硬度调节。这些发现将来自不同细胞起源的基质进化与 PDAC CAFs 之间的转录异质性联系起来,并证明了具有明确细胞起源的 CAFs 的独特功能。意义:通过跟踪和消融特定的 CAF 群体,我们发现来自特定细胞起源的数量较少的 CAF 亚群在建立胰腺肿瘤微环境中发挥独特作用。结合之前的研究,这项工作表明间充质谱系异质性和信号梯度使 PDAC CAFs 多样化。

https://cdn.ncbi.nlm.nih.gov/pmc/blobs/4695/9762349/4aa88a8e8df5/484fig1.jpg

文献AI研究员

20分钟写一篇综述,助力文献阅读效率提升50倍。

立即体验

用中文搜PubMed

大模型驱动的PubMed中文搜索引擎

马上搜索

文档翻译

学术文献翻译模型,支持多种主流文档格式。

立即体验