Suppr超能文献

铁死亡导致的角质形成细胞死亡会引发 UVB 暴露后的皮肤炎症。

Keratinocyte death by ferroptosis initiates skin inflammation after UVB exposure.

机构信息

Department of Dermatology, University of Pittsburgh, Pittsburgh, PA, 15213, USA.

School of Medicine, University of Pittsburgh, Pittsburgh, PA, 15213, USA.

出版信息

Redox Biol. 2021 Nov;47:102143. doi: 10.1016/j.redox.2021.102143. Epub 2021 Sep 25.

Abstract

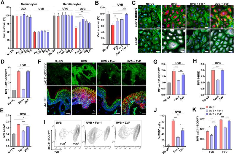
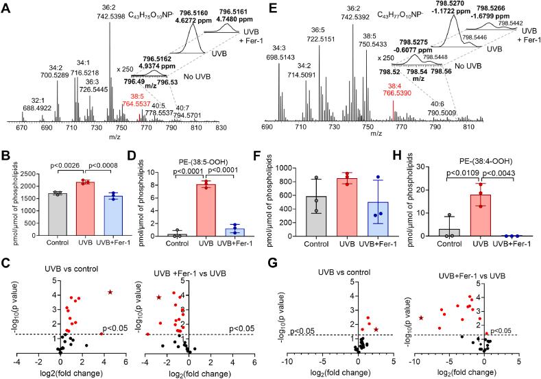
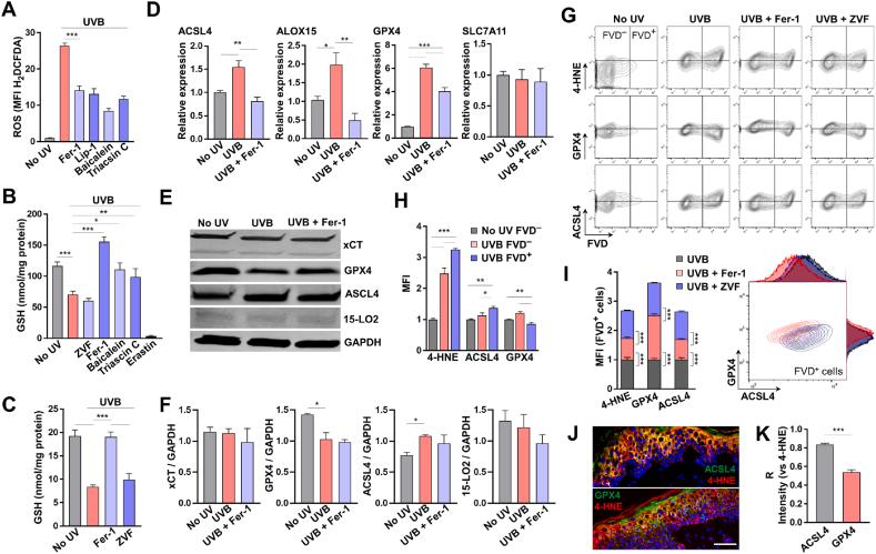
The ultraviolet B radiation (UVB) causes skin inflammation, which contributes to the causality and the exacerbation of a number of cutaneous diseases. However, the mechanism of UVB-driven inflammation in the skin remains poorly understood. We show that ferroptosis, a non-apoptotic programmed cell death pathway that is promoted by an excessive phospholipid peroxidation, is activated in the epidermal keratinocytes after their exposure to UVB. The susceptibility of the keratinocytes to UVB-induced ferroptosis depends on the extent of pro-ferroptosis death signal generation and the dysregulation of the glutathione system. Inhibition of ferroptosis prevents the release of HMGB1 from the human epidermal keratinocytes, and blocks necroinflammation in the UVB-irradiated mouse skin. We show that while apoptosis and pyroptosis are also detectable in the keratinocytes after UVB exposure, ferroptosis plays a significant role in initiating UVB-induced inflammation in the skin. Our results have important implications for the prevention and the treatment of a broad range of skin diseases which are fostered by UVB-induced inflammation.

摘要

中波紫外线(UVB)会引发皮肤炎症,这是多种皮肤疾病的病因和恶化因素。然而,UVB 引发皮肤炎症的机制仍不清楚。我们发现,铁死亡是一种由过度磷脂过氧化引起的非凋亡程序性细胞死亡途径,在表皮角质形成细胞暴露于 UVB 后被激活。角质形成细胞对 UVB 诱导的铁死亡的敏感性取决于促铁死亡死亡信号的产生程度和谷胱甘肽系统的失调。铁死亡抑制可防止 HMGB1 从人表皮角质形成细胞中释放,并阻断 UVB 照射小鼠皮肤中的坏死性炎症。我们发现,虽然在 UVB 暴露后角质形成细胞中也可以检测到细胞凋亡和焦亡,但铁死亡在启动皮肤中由 UVB 诱导的炎症中起着重要作用。我们的研究结果对预防和治疗由 UVB 诱导的炎症促进的广泛的皮肤疾病具有重要意义。

https://cdn.ncbi.nlm.nih.gov/pmc/blobs/a8e2/8487085/08f946520d23/gr1.jpg

文献AI研究员

20分钟写一篇综述,助力文献阅读效率提升50倍。

立即体验

用中文搜PubMed

大模型驱动的PubMed中文搜索引擎

马上搜索

文档翻译

学术文献翻译模型,支持多种主流文档格式。

立即体验