Suppr超能文献

来自……的丙酮酸激酶I的动力学特性及抑制剂筛选

Kinetic Characterization and Inhibitor Screening of Pyruvate Kinase I From .

作者信息

An Xiaomeng, Yu Long, Wang Sen, Ao Yangsiqi, Zhan Xueyan, Liu Qin, Zhao Yangnan, Li Muxiao, Shu Xiang, Li Fangjie, He Lan, Zhao Junlong

机构信息

State Key Laboratory of Agricultural Microbiology, College of Veterinary Medicine, Huazhong Agricultural University, Wuhan, China.

Key Laboratory of Animal Epidemical Disease and Infectious Zoonoses, Ministry of Agriculture, Huazhong Agricultural University, Wuhan, China.

出版信息

Front Microbiol. 2021 Sep 16;12:710678. doi: 10.3389/fmicb.2021.710678. eCollection 2021.

Abstract

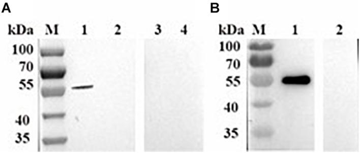
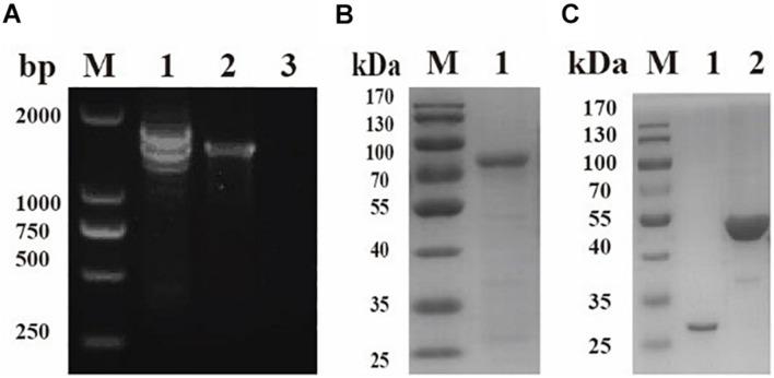
The apicomplexan is a main pathogenic parasite causing human babesiosis, which is one of the most widely distributed tick-borne diseases in humans. Pyruvate kinase (PYK) plays a central metabolic regulatory role in most living organisms and catalyzes the essentially irreversible step in glycolysis that converts phosphoenolpyruvate (PEP) to pyruvate. Hence, PYK is recognized as an attractive therapeutic target in cancer and human pathogens such as apicomplexans. In this study, we cloned, expressed, and purified PYK I (BmPYKI). Western blotting illustrated that anti-rBmPYKI antibody could specifically recognize the native BmPYKI protein in the lysate of with a 54-kDa band, which is consistent with the predicted size. In addition, the enzymatic activity of the purified recombinant PYKI (rPYKI) was tested under a range of pH values. The results showed that the maximum catalytic activity could be achieved at pH 7.0. The saturation curves for substrates demonstrated that the value for PEP was 0.655 ± 0.117 mM and that for ADP was 0.388 ± 0.087 mM. We further investigated the effect of 13 compounds on rBmPYKI. Kinetic analysis indicated that six inhibitors (tannic acid, shikonin, apigenin, PKM2 inhibitor, rosiglitazone, and pioglitazone) could significantly inhibit the catalytic activity of PYKI, among which tannic acid is the most efficient inhibitor with an IC value 0.49 μM. Besides, four inhibitors (tannic acid, apigenin, shikonin, and PKM2 inhibitor) could significantly decrease the growth of -cultured with IC values of 0.77, 2.10, 1.73, and 1.15 μM. Overall, the present study provides a theoretical basis for the design and development of new anti- drugs.

摘要

顶复门原虫是引起人类巴贝斯虫病的主要致病寄生虫,巴贝斯虫病是人类中分布最广的蜱传疾病之一。丙酮酸激酶(PYK)在大多数生物体中发挥着核心代谢调节作用,并催化糖酵解中从磷酸烯醇丙酮酸(PEP)转化为丙酮酸这一基本不可逆步骤。因此,PYK被认为是癌症和顶复门原虫等人类病原体中一个有吸引力的治疗靶点。在本研究中,我们克隆、表达并纯化了PYK I(BmPYKI)。蛋白质免疫印迹表明,抗rBmPYKI抗体能够特异性识别裂殖子裂解物中的天然BmPYKI蛋白,出现一条54 kDa的条带,这与预测大小一致。此外,在一系列pH值下测试了纯化的重组PYKI(rPYKI)的酶活性。结果表明,在pH 7.0时可达到最大催化活性。底物的饱和曲线表明,PEP的Km值为0.655±0.117 mM,ADP的Km值为0.388±0.087 mM。我们进一步研究了13种化合物对rBmPYKI的影响。动力学分析表明,六种抑制剂(单宁酸、紫草素、芹菜素、PKM2抑制剂、罗格列酮和吡格列酮)可显著抑制PYKI的催化活性,其中单宁酸是最有效的抑制剂,IC50值为0.49 μM。此外,四种抑制剂(单宁酸、芹菜素、紫草素和PKM2抑制剂)可显著降低裂殖子培养物的生长,IC50值分别为0.77、2.10、1.73和1.15 μM。总体而言,本研究为新型抗寄生虫药物的设计和开发提供了理论依据。

https://cdn.ncbi.nlm.nih.gov/pmc/blobs/8b4d/8481833/7241c4673791/fmicb-12-710678-g001.jpg

文献AI研究员

20分钟写一篇综述,助力文献阅读效率提升50倍。

立即体验

用中文搜PubMed

大模型驱动的PubMed中文搜索引擎

马上搜索

文档翻译

学术文献翻译模型,支持多种主流文档格式。

立即体验