Suppr超能文献

LGALS3(半乳糖凝集素3)通过人类中脑多巴胺神经元的自噬溶酶体途径,介导对溶酶体膜损伤的非常规分泌的SNCA/α-突触核蛋白。

LGALS3 (galectin 3) mediates an unconventional secretion of SNCA/α-synuclein in response to lysosomal membrane damage by the autophagic-lysosomal pathway in human midbrain dopamine neurons.

作者信息

Burbidge Kevin, Rademacher David J, Mattick Jessica, Zack Stephanie, Grillini Andrea, Bousset Luc, Kwon Ochan, Kubicki Konrad, Simon Alexander, Melki Ronald, Campbell Edward M

机构信息

Graduate Program in Neuroscience, Stritch School of Medicine, Loyola University Chicago, Maywood, Illinois, USA.

Core Imaging Facility and Department of Microbiology and Immunology, Loyola University of Chicago, Maywood, Illinois, USA.

出版信息

Autophagy. 2022 May;18(5):1020-1048. doi: 10.1080/15548627.2021.1967615. Epub 2021 Oct 6.

Abstract

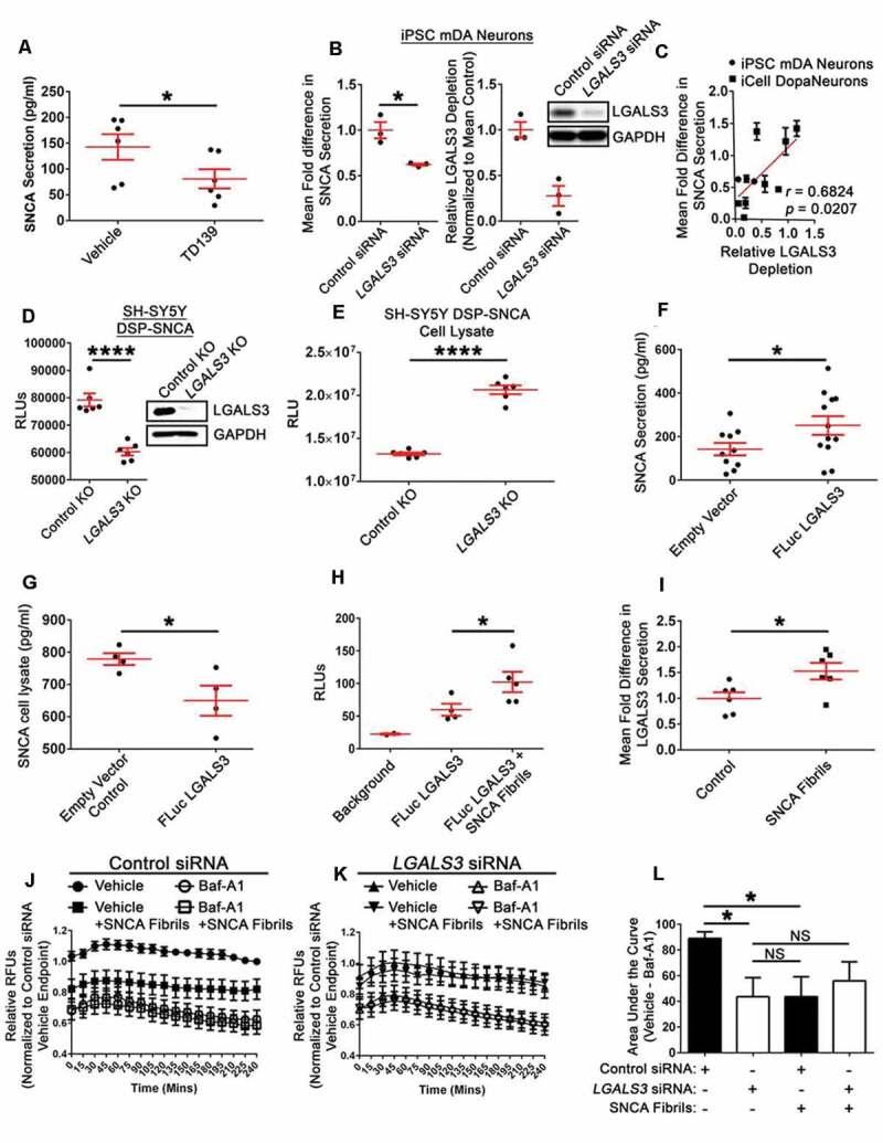
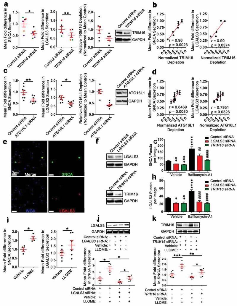
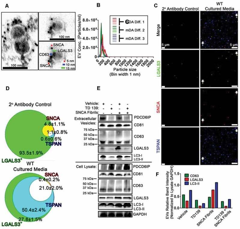
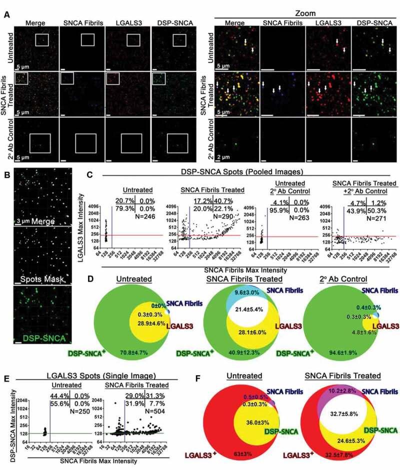
Numerous lines of evidence support the premise that the misfolding and subsequent accumulation of SNCA/α-synuclein (synuclein alpha) is responsible for the underlying neuronal pathology observed in Parkinson disease (PD) and other synucleinopathies. Moreover, the cell-to-cell transfer of these misfolded SNCA species is thought to be responsible for disease progression and the spread of cellular pathology throughout the brain. Previous work has shown that when exogenous, misfolded SNCA fibrils enter cells through endocytosis, they can damage and rupture the membranes of their endocytotic vesicles in which they are trafficked. Rupture of these vesicular membranes exposes intralumenal glycans leading to galectin protein binding, subsequent autophagic protein recruitment, and, ultimately, their introduction into the autophagic-lysosomal pathway. Increasing evidence indicates that both pathological and non-pathological SNCA species undergo autophagy-dependent unconventional secretion. While other proteins have also been shown to be secreted from cells by autophagy, what triggers this release process and how these specific proteins are recruited to a secretory autophagic pathway is largely unknown. Here, we use a human midbrain dopamine (mDA) neuronal culture model to provide evidence in support of a cellular mechanism that explains the cell-to-cell transfer of pathological forms of SNCA that are observed in PD. We demonstrate that LGALS3 (galectin 3) mediates the release of SNCA following vesicular damage. SNCA release is also dependent on TRIM16 (tripartite motif containing 16) and ATG16L1 (autophagy related 16 like 1), providing evidence that secretion of SNCA is mediated by an autophagic secretory pathway.

摘要

大量证据支持这样一个前提,即SNCA/α-突触核蛋白(突触核蛋白α)的错误折叠及随后的积累是帕金森病(PD)和其他突触核蛋白病中观察到的潜在神经元病理学的原因。此外,这些错误折叠的SNCA物种的细胞间转移被认为是疾病进展和细胞病理学在整个大脑中传播的原因。先前的研究表明,当外源性错误折叠的SNCA原纤维通过内吞作用进入细胞时,它们会破坏并破裂其被运输的内吞小泡的膜。这些小泡膜的破裂会暴露出腔内聚糖,导致半乳糖凝集素蛋白结合,随后自噬蛋白被招募,最终将它们引入自噬-溶酶体途径。越来越多的证据表明,病理性和非病理性的SNCA物种都会经历自噬依赖性的非常规分泌。虽然其他蛋白质也已被证明可通过自噬从细胞中分泌出来,但触发这种释放过程的因素以及这些特定蛋白质如何被招募到分泌性自噬途径在很大程度上尚不清楚。在这里,我们使用人类中脑多巴胺(mDA)神经元培养模型来提供证据,支持一种细胞机制,该机制解释了在PD中观察到的病理性形式的SNCA的细胞间转移。我们证明LGALS3(半乳糖凝集素3)介导小泡损伤后SNCA的释放。SNCA的释放还依赖于TRIM16(含三重基序16)和ATG16L1(自噬相关16样蛋白1),这为SNCA的分泌是由自噬分泌途径介导提供了证据。

https://cdn.ncbi.nlm.nih.gov/pmc/blobs/0f2f/9196737/444c31d54e7b/KAUP_A_1967615_F0001_C.jpg

文献AI研究员

20分钟写一篇综述,助力文献阅读效率提升50倍。

立即体验

用中文搜PubMed

大模型驱动的PubMed中文搜索引擎

马上搜索

文档翻译

学术文献翻译模型,支持多种主流文档格式。

立即体验