Suppr超能文献

1例镓标记的成纤维细胞活化蛋白抑制剂(Ga-FAPI)阳性而氟代脱氧葡萄糖(F-FDG)阴性的乳腺癌病例

A Case with Ga-FAPI Positive and F-FDG Negative Breast Cancer.

作者信息

Kömek Halil, Gündoğan Cihan, Etem Hülya, Can Canan

机构信息

University of Health Sciences Turkey, Gazi Yaşargil Training and Research Hospital, Clinic of Nuclear Medicine, Diyarbakır, Turkey

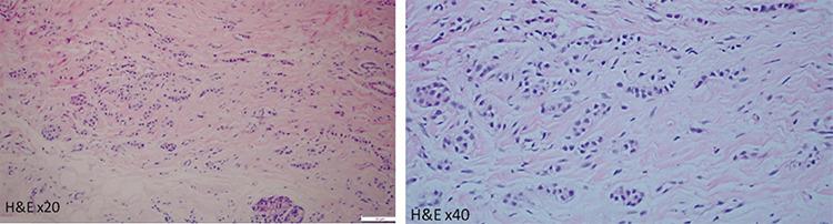
University of Health Sciences Turkey, Gazi Yaşargil Training and Research Hospital, Clinic of Pathology, Diyarbakır, Turkey

出版信息

Mol Imaging Radionucl Ther. 2021 Oct 15;30(3):201-204. doi: 10.4274/mirt.galenos.2021.69926.

Abstract

A female patient diagnosed of infiltrative breast carcinoma using tru-cut biopsy underwent flourine-fluorodeoxyglucose (F-FDG) positron emission tomography/computed tomography (PET/CT) for staging. The tumor was located in the superior external quadrant of the right breast, and did not exhibit pathological uptake in F-FDG PET/CT. Later, gallium- (Ga) fibroblast activation protein-specific inhibitor (FAPI)-04 PET/CT imaging was performed and the primary tumor showed intense radiotracer accumulation. This presumes that Ga-FAPI PET/CT imaging is superior to F-FDG imaging in detecting the primary tumor in breast cancer, thereby suggesting the replacement of FAPI by F-FDG in breast-cancer staging in the future.

摘要

一名经粗针活检诊断为浸润性乳腺癌的女性患者接受了氟代脱氧葡萄糖(F-FDG)正电子发射断层扫描/计算机断层扫描(PET/CT)以进行分期。肿瘤位于右乳外上象限,在F-FDG PET/CT中未显示病理性摄取。后来,进行了镓(Ga)成纤维细胞活化蛋白特异性抑制剂(FAPI)-04 PET/CT成像,原发肿瘤显示出强烈的放射性示踪剂积聚。这推测Ga-FAPI PET/CT成像在检测乳腺癌原发肿瘤方面优于F-FDG成像,从而提示未来在乳腺癌分期中FAPI可替代F-FDG。

https://cdn.ncbi.nlm.nih.gov/pmc/blobs/b1aa/8522513/e78c464546b0/MIRT-30-201-g1.jpg

文献AI研究员

20分钟写一篇综述,助力文献阅读效率提升50倍。

立即体验

用中文搜PubMed

大模型驱动的PubMed中文搜索引擎

马上搜索

文档翻译

学术文献翻译模型,支持多种主流文档格式。

立即体验