Suppr超能文献

工程化小细胞外囊泡作为 FGL1/PD-L1 双重靶向递药系统,用于缓解免疫排斥。

Engineered Small Extracellular Vesicles as a FGL1/PD-L1 Dual-Targeting Delivery System for Alleviating Immune Rejection.

机构信息

School of Pharmaceutical Sciences (Shenzhen), Sun Yat-sen University, Shenzhen, 518107, P. R. China.

Department of Medical Imaging, The Affiliated Hospital of Jiangsu University, Zhenjiang, 212001, China.

出版信息

Adv Sci (Weinh). 2022 Jan;9(3):e2102634. doi: 10.1002/advs.202102634. Epub 2021 Nov 5.

Abstract

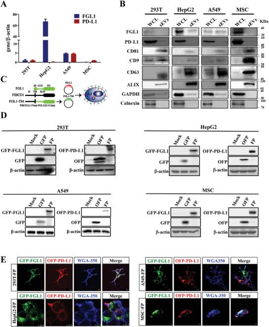
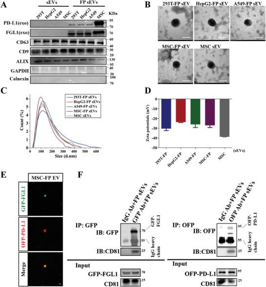
There is an urgent need for developing new immunosuppressive agents due to the toxicity of long-term use of broad immunosuppressive agents after organ transplantation. Comprehensive sample analysis revealed dysregulation of FGL1/LAG-3 and PD-L1/PD-1 immune checkpoints in allogeneic heart transplantation mice and clinical kidney transplant patients. In order to enhance these two immunosuppressive signal axes, a bioengineering strategy is developed to simultaneously display FGL1/PD-L1 (FP) on the surface of small extracellular vesicles (sEVs). Among various cell sources, FP sEVs derived from mesenchymal stem cells (MSCs) not only enriches FGL1/PD-L1 expression but also maintain the immunomodulatory properties of unmodified MSC sEVs. Next, it is confirmed that FGL1 and PD-L1 on sEVs are specifically bound to their receptors, LAG-3 and PD-1 on target cells. Importantly, FP sEVs significantly inhibite T cell activation and proliferation in vitro and a heart allograft model. Furthermore, FP sEVs encapsulated with low-dose FK506 (FP sEVs@FK506) exert stronger effects on inhibiting T cell proliferation, reducing CD8 T cell density and cytokine production in the spleens and heart grafts, inducing regulatory T cells in lymph nodes, and extending graft survival. Taken together, dual-targeting sEVs have the potential to boost the immune inhibitory signalings in synergy and slow down transplant rejection.

摘要

由于器官移植后长期使用广谱免疫抑制剂的毒性,因此迫切需要开发新的免疫抑制剂。全面的样本分析显示,同种异体心脏移植小鼠和临床肾移植患者的 FGL1/LAG-3 和 PD-L1/PD-1 免疫检查点失调。为了增强这两个免疫抑制信号轴,开发了一种生物工程策略,以同时在小细胞外囊泡(sEVs)表面展示 FGL1/PD-L1(FP)。在各种细胞来源中,源自间充质干细胞(MSCs)的 FP sEVs 不仅丰富了 FGL1/PD-L1 的表达,而且保持了未修饰的 MSC sEVs 的免疫调节特性。接下来,证实 sEVs 上的 FGL1 和 PD-L1 特异性结合其靶细胞上的受体 LAG-3 和 PD-1。重要的是,FP sEVs 在体外和心脏同种异体移植模型中显著抑制 T 细胞的激活和增殖。此外,用低剂量 FK506(FP sEVs@FK506)包封的 FP sEVs 对抑制 T 细胞增殖、减少脾脏和心脏移植物中 CD8 T 细胞密度和细胞因子产生、诱导淋巴结中的调节性 T 细胞以及延长移植物存活具有更强的作用。总之,双靶向 sEVs 有可能协同增强免疫抑制信号,并减缓移植排斥反应。

https://cdn.ncbi.nlm.nih.gov/pmc/blobs/7664/8787398/54e8dcf703b5/ADVS-9-2102634-g007.jpg

文献AI研究员

20分钟写一篇综述,助力文献阅读效率提升50倍。

立即体验

用中文搜PubMed

大模型驱动的PubMed中文搜索引擎

马上搜索

文档翻译

学术文献翻译模型,支持多种主流文档格式。

立即体验