Suppr超能文献

雌雄小鼠和大鼠支配眼外泪腺的神经元全脑图谱。

Whole Brain Mapping of Neurons Innervating Extraorbital Lacrimal Glands in Mice and Rats of Both Genders.

机构信息

State Key Laboratory of Magnetic Resonance and Atomic and Molecular Physics, Key Laboratory of Magnetic Resonance in Biological Systems, Wuhan Center for Magnetic Resonance, Innovation Academy for Precision Measurement Science and Technology, Chinese Academy of Sciences, Wuhan, China.

Centre for Brain Research, Department of Anatomy and Medical Imaging, Faculty of Medical and Health Sciences, University of Auckland, Auckland, New Zealand.

出版信息

Front Neural Circuits. 2021 Oct 29;15:768125. doi: 10.3389/fncir.2021.768125. eCollection 2021.

Abstract

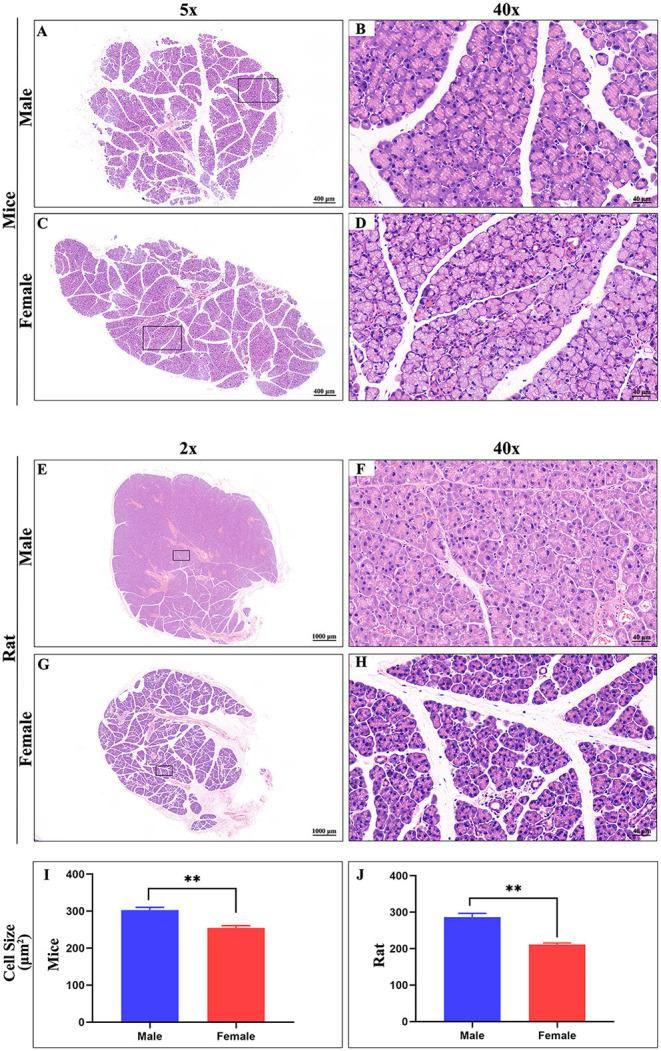
The extraorbital lacrimal glands (ELGs) secret tears to maintain a homeostatic environment for ocular surfaces, and pheromones to mediate social interactions. Although its distinct gender-related differences in mice and rats have been identified, its comprehensive histology together with whole-brain neuronal network remain largely unknown. The primary objective of the present study was to investigate whether sex-specific differences take place in histological and physiological perspectives. Morphological and histological data were obtained magnetic resonance imaging (MRI), hematoxylin-eosin (HE) staining in mice and rats of both genders. The innervating network was visualized by a pseudorabies virus (PRV) mediated retrograde trans-multi-synaptic tracing system for adult C57BL6/J mice of both genders. In terms of ELGs' anatomy, mice and rats across genders both have 7 main lobes, with one exception observed in female rats which have only 5 lobes. Both female rats and mice generally have relatively smaller shape size, absolute weight, and cell size than males. Our viral tracing revealed a similar trend of innervating patterns antero-posteriorly, but significant gender differences were also observed in the hypothalamus (HY), olfactory areas (OLF), and striatum (STR). Brain regions including piriform area (Pir), post-piriform transition area (TR), central amygdalar nucleus (CEA), medial amygdalar nucleus (MEA), lateral hypothalamic area (LHA), parasubthalamic nucleus (PSTN), pontin reticular nucleus (caudal part) (PRNc), and parabrachial nucleus, (PB) were commonly labeled. In addition, chemical isotope labeling-assisted liquid chromatography-mass spectrometry (CIL-LC-MS) and nuclear magnetic resonance spectroscopy (NMR spectroscopy) were performed to reveal the fatty acids and metabolism of the ELGs, reflecting the relationship between pheromone secretion and brain network. Overall, our results revealed basic properties and the input neural networks for ELGs in both genders of mice, providing a structural basis to analyze the diverse functions of ELGs.

摘要

眼眶外泪腺(ELG)分泌泪液以维持眼表面的内稳态环境,并分泌信息素来介导社交互动。尽管已经在小鼠和大鼠中确定了其性别相关的明显差异,但它的全面组织学和全脑神经元网络在很大程度上仍然未知。本研究的主要目的是从组织学和生理学的角度研究是否存在性别特异性差异。通过磁共振成像(MRI)、雌雄小鼠和大鼠的苏木精-伊红(HE)染色获得形态学和组织学数据。通过伪狂犬病毒(PRV)介导的逆行跨多突触示踪系统对雌雄 C57BL6/J 成年小鼠的神经支配网络进行可视化。就 ELG 的解剖结构而言,雌雄小鼠和大鼠均有 7 个主要叶,而雌性大鼠则只有 5 个叶。雌性大鼠和小鼠的整体形状大小、绝对重量和细胞大小普遍比雄性小。我们的病毒示踪显示出类似的前后向神经支配模式,但在前丘脑(HY)、嗅觉区(OLF)和纹状体(STR)中也观察到显著的性别差异。包括梨状区(Pir)、梨状区后过渡区(TR)、杏仁中央核(CEA)、杏仁内侧核(MEA)、下丘脑外侧区(LHA)、下丘脑旁核(PSTN)、桥脑网状核(尾部)(PRNc)和臂旁核在内的脑区都被共同标记。此外,还进行了化学同位素标记辅助液相色谱-质谱(CIL-LC-MS)和核磁共振波谱(NMR 波谱)分析,以揭示 ELG 的脂肪酸和代谢物,反映信息素分泌与大脑网络之间的关系。总的来说,我们的结果揭示了雌雄小鼠 ELG 的基本特性和传入神经网络,为分析 ELG 的多种功能提供了结构基础。

https://cdn.ncbi.nlm.nih.gov/pmc/blobs/0df0/8585839/bb29e9ec613b/fncir-15-768125-g0001.jpg

文献AI研究员

20分钟写一篇综述,助力文献阅读效率提升50倍。

立即体验

用中文搜PubMed

大模型驱动的PubMed中文搜索引擎

马上搜索

文档翻译

学术文献翻译模型,支持多种主流文档格式。

立即体验