Suppr超能文献

利用数据非依赖采集蛋白质组学技术分析卵清蛋白诱导的哮喘小鼠模型中动态尿液蛋白质组变化

Dynamic Urinary Proteome Changes in Ovalbumin-Induced Asthma Mouse Model Using Data-Independent Acquisition Proteomics.

作者信息

Qin Weiwei, Wang Ting, Liu Guangwei, Sun Lixin, Han Wei, Gao Youhe

机构信息

Department of Anesthesiology, Qingdao Municipal Hospital, Qingdao University, Qingdao, 266071, People's Republic of China.

Department of Biochemistry and Molecular Biology, Gene Engineering Drug and Biotechnology Beijing Key Laboratory, Beijing Normal University, Beijing, 100875, People's Republic of China.

出版信息

J Asthma Allergy. 2021 Nov 9;14:1355-1366. doi: 10.2147/JAA.S330054. eCollection 2021.

Abstract

BACKGROUND

In this work, we aim to investigate dynamic urinary proteome changes during asthma development and to identify potential urinary protein biomarkers for the diagnosis of asthma.

METHODS

An ovalbumin (OVA)-induced mouse model was used to mimic asthma. The urinary proteome from asthma and control mice was determined using data-independent acquisition combined with high-resolution tandem mass spectrometry.

RESULTS

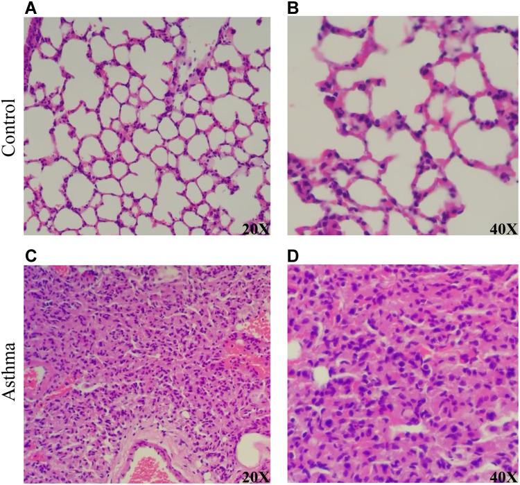
Overall, 331 proteins were identified, among which 53 were differentially expressed (26, 24, 14 and 20 on days 2, 8, 15 and 18, respectively; 1.5-fold change, adjust P<0.05). Gene Ontology annotation of the differential proteins showed that the acute-phase response, innate immune response, B cell receptor signaling pathway, and complement activation were significantly enriched. Protein-protein interaction network revealed that these differential proteins were partially biologically connected in OVA-induced asthma, as a group. On days 2 and 8, after two episodes of OVA sensitization, six differential proteins (CRAMP, ECP, HP, F2, AGP1, and CFB) were also reported to be closely associated with asthma. These proteins may hold the potential for the early screening of asthma. On days 15 and 18, after challenged with 1% OVA by inhalation, seven differential proteins (VDBP, HP, CTSE, PIGR, AAT, TRFE, and HPX) were also reported to be closely associated with asthma. Thus, these proteins hold the potential to be biomarkers for the diagnosis of asthma attack.

CONCLUSION

Our results indicate that the urinary proteome could reflect dynamic pathophysiological changes in asthma progression.

摘要

背景

在本研究中,我们旨在探究哮喘发展过程中尿液蛋白质组的动态变化,并鉴定用于哮喘诊断的潜在尿液蛋白质生物标志物。

方法

使用卵清蛋白(OVA)诱导的小鼠模型模拟哮喘。采用数据非依赖采集结合高分辨率串联质谱法测定哮喘小鼠和对照小鼠的尿液蛋白质组。

结果

总共鉴定出331种蛋白质,其中53种差异表达(分别在第2、8、15和18天有26、24、14和20种;变化倍数为1.5,校正P<0.05)。差异蛋白质的基因本体注释显示急性期反应、固有免疫反应、B细胞受体信号通路和补体激活显著富集。蛋白质-蛋白质相互作用网络显示,这些差异蛋白质在OVA诱导的哮喘中部分在生物学上相互关联。在OVA致敏两次后的第2天和第8天,还报道了六种差异蛋白质(CRAMP、ECP、HP、F2、AGP1和CFB)与哮喘密切相关。这些蛋白质可能具有哮喘早期筛查的潜力。在通过吸入1%OVA激发后的第15天和第18天,还报道了七种差异蛋白质(VDBP、HP、CTSE、PIGR、AAT、TRFE和HPX)与哮喘密切相关。因此,这些蛋白质有潜力成为哮喘发作诊断的生物标志物。

结论

我们的结果表明,尿液蛋白质组可以反映哮喘进展过程中的动态病理生理变化。

https://cdn.ncbi.nlm.nih.gov/pmc/blobs/b3ae/8590963/386f71b57734/JAA-14-1355-g0001.jpg

文献AI研究员

20分钟写一篇综述,助力文献阅读效率提升50倍。

立即体验

用中文搜PubMed

大模型驱动的PubMed中文搜索引擎

马上搜索

文档翻译

学术文献翻译模型,支持多种主流文档格式。

立即体验