Suppr超能文献

驱动蛋白家族成员 2A 通过与 PI3K/AKT 和 RhoA/ROCK 通路相互作用,成为急性髓系白血病的潜在预后标志物和治疗靶点。

Kinesin family member 2A acts as a potential prognostic marker and treatment target via interaction with PI3K/AKT and RhoA/ROCK pathways in acute myeloid leukemia.

机构信息

Department of Hematology, The First Affiliated Hospital of Anhui Medical University, Hefei, Anhui 230022, P.R. China.

出版信息

Oncol Rep. 2022 Jan;47(1). doi: 10.3892/or.2021.8229. Epub 2021 Nov 18.

Abstract

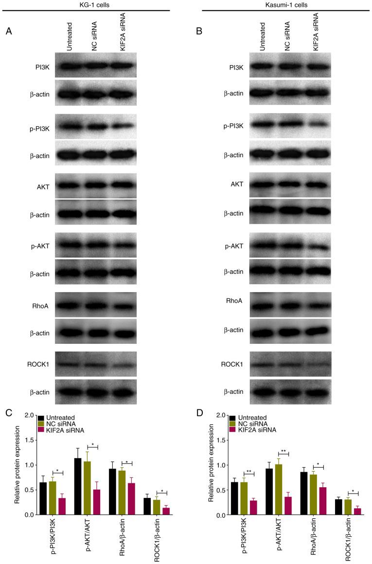
KIF2A has been shown to be involved in the regulation of AML pathology, however, the mechanistic role of KIF2A in AML has not been fully identified. The present study aimed to identify the underlying mechanism of KIF2A regulation of AML cell function and chemosensitivity. A total of 58 patients with AML and 30 healthy subjects were enrolled for clinical analysis. AML cells (KG‑1 and Kasumi‑1) were transfected with KIF2A or control small interfering (si)RNA. PI3K/AKT pathway activator (740 Y‑P) and RhoA overexpression plasmid were added to rescue the effect of KIF2A siRNA. Cell proliferation, apoptosis, chemosensitivity to ADR and AraC, expression levels of mRNA/proteins associated with PI3K/AKT and RhoA/ROCK pathways were measured by Cell Counting Kit‑8, flow cytometry, reverse transcription‑quantitative PCR and western blotting. KIF2A was overexpressed, and correlated with higher levels of bone marrow blast, poor risk classification, lower treatment response and unfavorable survival profile in patients with AML. KIF2A siRNA inhibited proliferation but enhanced apoptosis and chemosensitivity to ADR and AraC in KG‑1 and Kasumi‑1 cells, which also inactivated PI3K/AKT and RhoA/ROCK pathways. Subsequent rescue experiments showed that 740 Y‑P and RhoA overexpression plasmid promoted cell survival and decreased chemosensitivity, which reversed the effect of KIF2A siRNA in KG‑1 and Kasumi‑1 cells. KIF2A was correlated with worse clinical features and survival in patients with AML; its knockdown promoted apoptosis and chemosensitivity by inactivating PI3K/AKT and RhoA/ROCK signaling pathways in AML cells. These data suggested KIF2A may be a potential prognostic marker and treatment target for AML management.

摘要

KIF2A 已被证实参与 AML 病理的调控,然而,KIF2A 在 AML 中的作用机制尚未完全确定。本研究旨在鉴定 KIF2A 调节 AML 细胞功能和化疗敏感性的潜在机制。共纳入 58 例 AML 患者和 30 例健康受试者进行临床分析。AML 细胞(KG-1 和 Kasumi-1)转染 KIF2A 或对照小干扰 (si)RNA。添加 PI3K/AKT 通路激活剂 (740 Y-P) 和 RhoA 过表达质粒以挽救 KIF2A siRNA 的作用。通过细胞计数试剂盒-8、流式细胞术、逆转录-定量 PCR 和 Western blot 测定细胞增殖、凋亡、对 ADR 和 AraC 的化疗敏感性、与 PI3K/AKT 和 RhoA/ROCK 通路相关的 mRNA/蛋白表达水平。KIF2A 过表达与骨髓原始细胞水平升高、风险分类差、治疗反应降低和 AML 患者生存状况不良相关。KIF2A siRNA 抑制 KG-1 和 Kasumi-1 细胞的增殖,但增强凋亡和对 ADR 和 AraC 的化疗敏感性,同时还抑制了 PI3K/AKT 和 RhoA/ROCK 通路。随后的挽救实验表明,740 Y-P 和 RhoA 过表达质粒促进细胞存活并降低化疗敏感性,从而逆转了 KIF2A siRNA 在 KG-1 和 Kasumi-1 细胞中的作用。KIF2A 与 AML 患者的临床特征和生存状况较差相关;其敲低通过抑制 PI3K/AKT 和 RhoA/ROCK 信号通路促进 AML 细胞的凋亡和化疗敏感性。这些数据表明 KIF2A 可能是 AML 管理中潜在的预后标志物和治疗靶点。

https://cdn.ncbi.nlm.nih.gov/pmc/blobs/dcfb/8630525/cad6434d3e49/or-47-01-08229-g00.jpg

文献AI研究员

20分钟写一篇综述,助力文献阅读效率提升50倍。

立即体验

用中文搜PubMed

大模型驱动的PubMed中文搜索引擎

马上搜索

文档翻译

学术文献翻译模型,支持多种主流文档格式。

立即体验