Suppr超能文献

AMBRA1 通过与 ATAD3A 相互作用并促进 PINK1 稳定性来调节线粒体自噬。

AMBRA1 regulates mitophagy by interacting with ATAD3A and promoting PINK1 stability.

机构信息

Department of Epidemiology, Preclinical Research and Advanced Diagnostics, National Institute for Infectious Diseases Irccs "L. Spallanzani", Rome, Italy.

Department of Molecular Medicine, University of Rome "Sapienza", Rome, Italy.

出版信息

Autophagy. 2022 Aug;18(8):1752-1762. doi: 10.1080/15548627.2021.1997052. Epub 2021 Nov 19.

Abstract

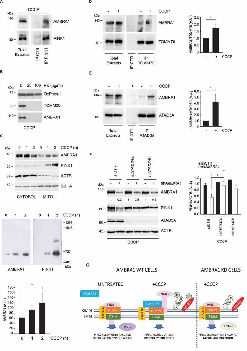
PINK1 accumulation at the outer mitochondrial membrane (OMM) is a key event required to signal depolarized mitochondria to the autophagy machinery. How this early step is, in turn, modulated by autophagy proteins remains less characterized. Here, we show that, upon mitochondrial depolarization, the proautophagic protein AMBRA1 is recruited to the OMM and interacts with PINK1 and ATAD3A, a transmembrane protein that mediates mitochondrial import and degradation of PINK1. Downregulation of AMBRA1 expression results in reduced levels of PINK1 due to its enhanced degradation by the mitochondrial protease LONP1, which leads to a decrease in PINK1-mediated ubiquitin phosphorylation and mitochondrial PRKN/PARKIN recruitment. Notably, ATAD3A silencing rescues defective PINK1 accumulation in AMBRA1-deficient cells upon mitochondrial damage. Overall, our findings underline an upstream contribution of AMBRA1 in the control of PINK1-PRKN mitophagy by interacting with ATAD3A and promoting PINK1 stability. This novel regulatory element may account for changes of PINK1 levels in neuropathological conditions. ACTB/β-actin: actin beta; AMBRA1: autophagy and beclin 1 regulator 1; ATAD3A: ATPase family AAA domain containing 3A; BCL2L1/BCL-xL: BCL2 like 1; CCCP: carbonyl cyanide m-chlorophenyl hydrazone; MAP1LC3/LC3: microtubule associated protein 1 light chain 3; OMA1: OMA1 zinc metallopeptidase; OMM: outer mitochondrial membrane; PARL: presenilin associated rhomboid like; PARP: poly(ADP-ribose) polymerase; PD: Parkinson disease; PINK1: PTEN induced kinase 1; PRKN/PARKIN: parkin RBR E3 ubiquitin protein ligase; SDHA: succinate dehydrogenase complex flavoprotein subunit A; TOMM70: translocase of outer mitochondrial membrane 70.

摘要

PINK1 在外线粒体膜(OMM)上的积累是将去极化的线粒体信号传递给自噬机制的关键事件。反过来,自噬蛋白如何调节这第一步的过程还不太清楚。在这里,我们表明,在线粒体去极化后,促自噬蛋白 AMBRA1 被募集到 OMM 并与 PINK1 和 ATAD3A 相互作用,ATAD3A 是一种跨膜蛋白,介导线粒体导入和 PINK1 的降解。AMBRA1 表达的下调会导致 PINK1 水平降低,因为其被线粒体蛋白酶 LONP1 增强降解,从而导致 PINK1 介导的泛素磷酸化和线粒体 PRKN/PARKIN 募集减少。值得注意的是,ATAD3A 的沉默可挽救线粒体损伤后 AMBRA1 缺陷细胞中 PINK1 积累缺陷。总的来说,我们的研究结果强调了 AMBRA1 在控制 PINK1-PRKN 线粒体自噬中的上游作用,通过与 ATAD3A 相互作用并促进 PINK1 的稳定性。这个新的调节元件可能解释了 PINK1 水平在神经病理学条件下的变化。ACTB/β-肌动蛋白:肌动蛋白 β;AMBRA1:自噬和 beclin 1 调节因子 1;ATAD3A:ATP 酶家族 AAA 结构域包含 3A;BCL2L1/BCL-xL:BCL2 样 1;CCCP:羰基氰化物 m-氯苯腙;MAP1LC3/LC3:微管相关蛋白 1 轻链 3;OMA1:OMA1 锌金属肽酶;OMM:外线粒体膜;PARL:早老素相关的类泛素连接酶;PARP:多聚(ADP-核糖)聚合酶;PD:帕金森病;PINK1:PTEN 诱导的激酶 1;PRKN/PARKIN:parkin RBR E3 泛素蛋白连接酶;SDHA:琥珀酸脱氢酶复合物黄素蛋白亚单位 A;TOMM70:外线粒体膜转运蛋白 70。

https://cdn.ncbi.nlm.nih.gov/pmc/blobs/4e34/9450973/ae80383fe0cc/KAUP_A_1997052_F0001_B.jpg

文献AI研究员

20分钟写一篇综述,助力文献阅读效率提升50倍。

立即体验

用中文搜PubMed

大模型驱动的PubMed中文搜索引擎

马上搜索

文档翻译

学术文献翻译模型,支持多种主流文档格式。

立即体验