Suppr超能文献

载脂肿瘤相关巨噬细胞维持前列腺癌的肿瘤生长和侵袭。

Lipid-loaded tumor-associated macrophages sustain tumor growth and invasiveness in prostate cancer.

机构信息

Tumor Microenvironment Unit, Istituto di Ricovero e Cura a Carattere Scientifico Humanitas Research Hospital, Rozzano, Milan, Italy.

Bioinformatics Unit, Istituto di Ricovero e Cura a Carattere Scientifico Humanitas Research Hospital, Rozzano, Milan, Italy.

出版信息

J Exp Med. 2022 Feb 7;219(2). doi: 10.1084/jem.20210564. Epub 2021 Dec 17.

Abstract

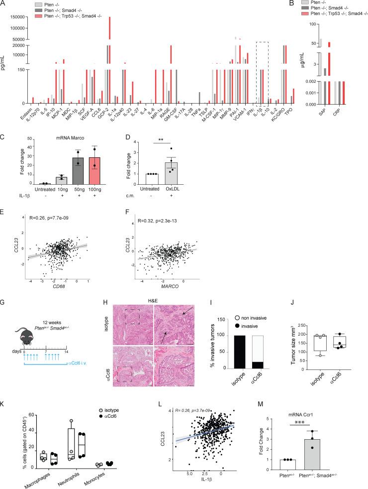
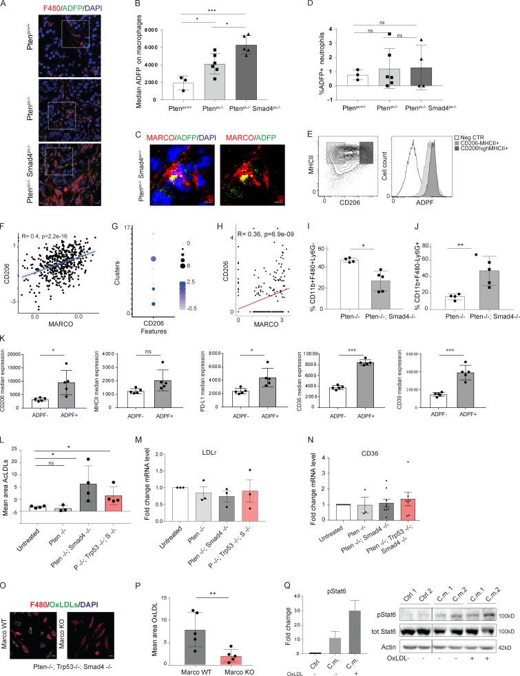
Tumor-associated macrophages (TAMs) are correlated with the progression of prostatic adenocarcinoma (PCa). The mechanistic basis of this correlation and therapeutic strategies to target TAMs in PCa remain poorly defined. Here, single-cell RNA sequencing was used to profile the transcriptional landscape of TAMs in human PCa, leading to identification of a subset of macrophages characterized by dysregulation in transcriptional pathways associated with lipid metabolism. This subset of TAMs correlates positively with PCa progression and shorter disease-free survival and is characterized by an accumulation of lipids that is dependent on Marco. Mechanistically, cancer cell-derived IL-1β enhances Marco expression on macrophages, and reciprocally, cancer cell migration is promoted by CCL6 released by lipid-loaded TAMs. Moreover, administration of a high-fat diet to tumor-bearing mice raises the abundance of lipid-loaded TAMs. Finally, targeting lipid accumulation by Marco blockade hinders tumor growth and invasiveness and improves the efficacy of chemotherapy in models of PCa, pointing to combinatorial strategies that may influence patient outcomes.

摘要

肿瘤相关巨噬细胞(TAMs)与前列腺腺癌(PCa)的进展相关。这种相关性的机制基础以及针对 PCa 中 TAMs 的治疗策略仍未得到明确界定。在这里,我们使用单细胞 RNA 测序来描绘人类 PCa 中 TAMs 的转录图谱,从而鉴定出一组特征为脂质代谢相关转录途径失调的巨噬细胞亚群。该 TAMs 亚群与 PCa 进展和无病生存期缩短呈正相关,其特征是脂质堆积,这依赖于 Marco。从机制上讲,癌细胞衍生的 IL-1β 增强了巨噬细胞上 Marco 的表达,反之,载脂 TAMs 释放的 CCL6 促进了癌细胞的迁移。此外,高脂饮食的给予会增加荷瘤小鼠中载脂 TAMs 的丰度。最后,通过 Marco 阻断来靶向脂质积累会阻碍肿瘤生长和侵袭,并提高 PCa 模型中化疗的疗效,这指向了可能影响患者预后的联合治疗策略。

https://cdn.ncbi.nlm.nih.gov/pmc/blobs/ebd3/8932635/1b066e5ea706/JEM_20210564_GA.jpg

文献AI研究员

20分钟写一篇综述,助力文献阅读效率提升50倍。

立即体验

用中文搜PubMed

大模型驱动的PubMed中文搜索引擎

马上搜索

文档翻译

学术文献翻译模型,支持多种主流文档格式。

立即体验