Suppr超能文献

CCDC40 突变导致中国原发性纤毛运动障碍不孕家系。

CCDC40 mutation as a cause of infertility in a Chinese family with primary ciliary dyskinesia.

机构信息

Department of Urology, Tianjin Medical University General Hospital, Tianjin, China.

出版信息

Medicine (Baltimore). 2021 Dec 23;100(51):e28275. doi: 10.1097/MD.0000000000028275.

Abstract

TRIAL DESIGN

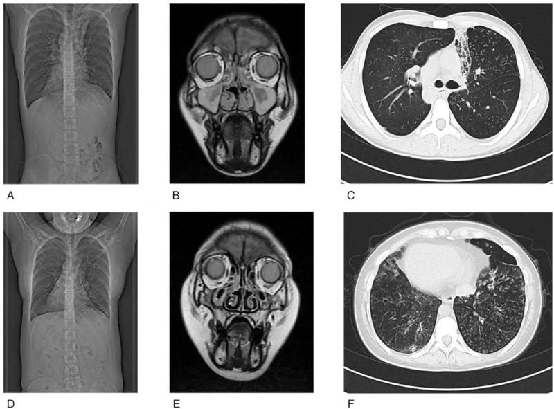
Primary ciliary dyskinesia (PCD) is a genetical disease that inherited in an autosomal-recessive way. Its clinical manifestations (such as male infertility) are mainly caused by defects of motion-related cilia that encoded by mutated genes. Although some mutation has been verified, a number of mutations of PCD remain elusive. The main purpose of this study is to identify mutant genes in a Chinese family with PCD, and to verify the safety and effectiveness of intracytoplasmic sperm injection (ICSI) of infertility caused by PCD.

METHODS

Imaging examination was used to exclude pulmonary inflammation and visceral translocation. Semen analysis was used to assess the quality of the proband's sperm. Transmission electron microscopy (TEM) was conducted to assess the ultrastructure of flagella and cilia. Targeted next generation sequencing and Sanger sequencing and qPCR (real-time quantitative polymerase chain reaction detecting system) were applied to identified mutation of Chinese Family suspected of having PCD. Viable sperm were selected by hypo-osmotic swelling test (HOST) for ICSI.

RESULTS

We report 2 novel mutations in CCDC40 gene (c.1259delA and EX17_20 deletion) resulted in immobility of sperm and infertility of the proband. These mutations were confirmed in the proband's sister (heterozygous) and his parents (recessive carrier) by Sanger sequencing and qPCR. All the spermatozoa from the proband were immotile. Ultrastructural defects were found in flagella and cilia of proband and his sister. Viable sperms were selected by HOST for ICSI and fertilized 9 of 21 eggs. Two frozen embryos were transplanted and a healthy 3500 g boy was delivered at 40 + 4 weeks' gestation. And then, we summarized the genes related to PCD and the mutant sites of CCDC40 gene.

CONCLUSION

We reported 2 novel mutants in CCDC40 gene (c.1259delA and EX17_20 deletion), which could be candidates for genetic diagnosis in PCD patients. The combination of targeted next generation sequencing and Sanger sequencing may be a useful tool to diagnose PCD. ICSI is a considerable method in treatment of infertility caused by PCD.

摘要

研究设计

原发性纤毛运动障碍(PCD)是一种常染色体隐性遗传疾病。其临床表现(如男性不育)主要是由运动相关纤毛的基因突变引起的。虽然已经证实了一些突变,但仍有许多 PCD 的突变尚未确定。本研究的主要目的是鉴定一个有 PCD 家族的突变基因,并验证 PCD 引起的不育症的卵胞浆内单精子注射(ICSI)的安全性和有效性。

方法

采用影像学检查排除肺部炎症和内脏移位。精液分析评估先证者精子的质量。透射电镜(TEM)评估鞭毛和纤毛的超微结构。应用靶向下一代测序和 Sanger 测序及 qPCR(实时定量聚合酶链反应检测系统)鉴定疑似患有 PCD 的中国家庭的基因突变。通过低渗肿胀试验(HOST)选择可存活的精子进行 ICSI。

结果

我们报告了 CCDC40 基因的 2 个新突变(c.1259delA 和外显子 17-20 缺失)导致精子不动和先证者不育。通过 Sanger 测序和 qPCR 在先证者的姐姐(杂合子)和父母(隐性携带者)中证实了这些突变。先证者的所有精子均不动。先证者及其姐姐的鞭毛和纤毛均存在超微结构缺陷。通过 HOST 选择可存活的精子进行 ICSI,并使 21 个卵子中的 9 个受精。移植了 2 个冷冻胚胎,在 40+4 周的妊娠期分娩了一名健康的 3500g 男婴。然后,我们总结了与 PCD 相关的基因和 CCDC40 基因的突变位点。

结论

我们报道了 CCDC40 基因的 2 个新突变(c.1259delA 和外显子 17-20 缺失),它们可能是 PCD 患者遗传诊断的候选基因。靶向下一代测序和 Sanger 测序的结合可能是诊断 PCD 的有用工具。ICSI 是治疗 PCD 引起的不育症的一种可行方法。

https://cdn.ncbi.nlm.nih.gov/pmc/blobs/4b1e/8702141/3fe9280a080b/medi-100-e28275-g001.jpg

文献AI研究员

20分钟写一篇综述,助力文献阅读效率提升50倍。

立即体验

用中文搜PubMed

大模型驱动的PubMed中文搜索引擎

马上搜索

文档翻译

学术文献翻译模型,支持多种主流文档格式。

立即体验