Suppr超能文献

辅助胸腺素β-4 治疗对诱导性角膜感染期间 PMN 效应细胞功能的影响。

Adjunctive Thymosin Beta-4 Treatment Influences PMN Effector Cell Function during -Induced Corneal Infection.

机构信息

Department of Ophthalmology, Visual and Anatomical Sciences, School of Medicine, Wayne State University, Detroit, MI 48201, USA.

出版信息

Cells. 2021 Dec 18;10(12):3579. doi: 10.3390/cells10123579.

Abstract

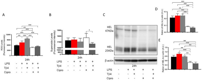
Previous work examining the therapeutic efficacy of adjunct thymosin beta 4 (Tβ4) to ciprofloxacin for ocular infectious disease has revealed markedly reduced inflammation (inflammatory mediators and innate immune cells) with increased activation of wound healing pathways. Understanding the therapeutic mechanisms of action have further revealed a synergistic effect with ciprofloxacin to enhance bacterial killing along with a regulatory influence over macrophage effector cell function. As a natural extension of the aforementioned work, the current study uses an experimental model of -induced keratitis to examine the influence of Tβ4 regarding polymorphonuclear leukocyte (PMN/neutrophil) cellular function, contributing to improved disease response. Flow cytometry was utilized to phenotypically profile infiltrating PMNs after infection. The generation of reactive oxygen species (ROS), neutrophil extracellular traps (NETs), and PMN apoptosis were investigated to assess the functional activities of PMNs in response to Tβ4 therapy. In vitro work using peritoneal-derived PMNs was similarly carried out to verify and extend our in vivo findings. The results indicate that the numbers of infiltrated PMNs into infected corneas were significantly reduced with adjunctive Tβ4 treatment. This was paired with the downregulated expression of proinflammatory markers on these cells, as well. Data generated from PMN functional studies suggested that the corneas of adjunctive Tβ4 treated B6 mice exhibit a well-regulated production of ROS, NETs, and limited PMN apoptosis. In addition to confirming the in vivo results, the in vitro findings also demonstrated that neutrophil elastase (NE) was unnecessary for NETosis. Collectively, these data provide additional evidence that adjunctive Tβ4 + ciprofloxacin treatment is a promising option for bacterial keratitis that addresses both the infectious pathogen and cellular-mediated immune response, as revealed by the current study.

摘要

先前的研究表明,辅助胸腺素β4(Tβ4)与环丙沙星治疗眼部感染性疾病可显著减轻炎症(炎症介质和固有免疫细胞),同时增加伤口愈合途径的激活。对治疗机制的进一步研究揭示了与环丙沙星的协同作用,可增强杀菌作用,并对巨噬细胞效应细胞功能进行调节。作为上述研究的自然延伸,本研究使用诱导的角膜炎实验模型,研究 Tβ4 对多形核白细胞(PMN/中性粒细胞)细胞功能的影响,以改善疾病反应。流式细胞术用于感染后表型分析浸润的 PMN。研究活性氧(ROS)、中性粒细胞胞外陷阱(NETs)和 PMN 凋亡的产生,以评估 PMN 对 Tβ4 治疗的功能活性。同样进行了腹膜来源的 PMN 的体外实验,以验证和扩展我们的体内发现。结果表明,辅助 Tβ4 治疗可显著减少感染角膜中浸润的 PMN 数量。这与这些细胞上促炎标志物的下调表达相匹配。PMN 功能研究产生的数据表明,辅助 Tβ4 治疗 B6 小鼠的角膜表现出 ROS、NETs 的良好调控产生和有限的 PMN 凋亡。除了确认体内结果外,体外研究结果还表明,中性粒细胞弹性蛋白酶(NE)对于 NETosis 不是必需的。总之,这些数据提供了额外的证据,表明辅助 Tβ4+环丙沙星治疗是治疗细菌性角膜炎的一种有前途的选择,该方法同时针对感染病原体和细胞介导的免疫反应,正如本研究所揭示的那样。

https://cdn.ncbi.nlm.nih.gov/pmc/blobs/6b85/8700181/aad073016c51/cells-10-03579-g001.jpg

文献AI研究员

20分钟写一篇综述,助力文献阅读效率提升50倍。

立即体验

用中文搜PubMed

大模型驱动的PubMed中文搜索引擎

马上搜索

文档翻译

学术文献翻译模型,支持多种主流文档格式。

立即体验