Suppr超能文献

严重急性呼吸综合征冠状病毒 2(SARS-CoV-2)的膜(M)和刺突(S)蛋白拮抗宿主 I 型干扰素反应。

Severe Acute Respiratory Syndrome Coronavirus 2 (SARS-CoV-2) Membrane (M) and Spike (S) Proteins Antagonize Host Type I Interferon Response.

机构信息

Institutes of Biology and Medical Sciences, Jiangsu Key Laboratory of Infection and Immunity, Soochow University, Suzhou, China.

Department of Nuclear Medicine, The First Affiliated Hospital of Soochow University, Suzhou, China.

出版信息

Front Cell Infect Microbiol. 2021 Dec 7;11:766922. doi: 10.3389/fcimb.2021.766922. eCollection 2021.

Abstract

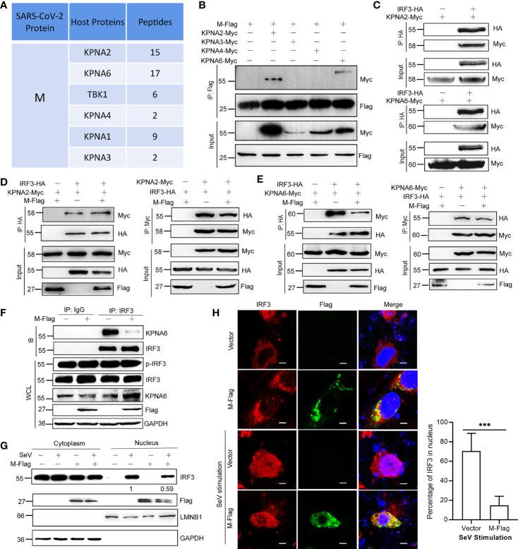
Coronavirus disease 2019 (COVID-19), caused by severe acute respiratory syndrome coronavirus 2 (SARS-CoV-2), has spread worldwide and has infected more than 250 million people. A typical feature of COVID-19 is the lack of type I interferon (IFN-I)-mediated antiviral immunity in patients. However, the detailed molecular mechanisms by which SARS-CoV-2 evades the IFN-I-mediated antiviral response remain elusive. Here, we performed a comprehensive screening and identified a set of SARS-CoV-2 proteins that antagonize the IFN-I response. Subsequently, we characterized the mechanisms of two viral proteins antagonize IFN-I production and downstream signaling. SARS-CoV-2 membrane protein binds to importin karyopherin subunit alpha-6 (KPNA6) to inhibit interferon regulatory factor 3(IRF3) nuclear translocation. Further, the spike protein interacts with signal transducer and activator of transcription 1 (STAT1) to block its association with Janus kinase 1 (JAK1). This study increases our understanding of SARS-CoV-2 pathogenesis and suggests novel therapeutic targets for the treatment of COVID-19.

摘要

2019 年冠状病毒病(COVID-19)是由严重急性呼吸系统综合症冠状病毒 2(SARS-CoV-2)引起的,已在全球范围内传播,感染了超过 2.5 亿人。COVID-19 的一个典型特征是患者缺乏 I 型干扰素(IFN-I)介导的抗病毒免疫。然而,SARS-CoV-2 逃避 IFN-I 介导的抗病毒反应的详细分子机制仍不清楚。在这里,我们进行了全面筛选,鉴定出了一组拮抗 IFN-I 反应的 SARS-CoV-2 蛋白。随后,我们对两种病毒蛋白拮抗 IFN-I 产生和下游信号转导的机制进行了表征。SARS-CoV-2 膜蛋白与输入蛋白核转运因子亚基α-6(KPNA6)结合,抑制干扰素调节因子 3(IRF3)核易位。此外,刺突蛋白与信号转导和转录激活因子 1(STAT1)相互作用,阻止其与 Janus 激酶 1(JAK1)结合。这项研究增加了我们对 SARS-CoV-2 发病机制的理解,并为 COVID-19 的治疗提供了新的治疗靶点。

https://cdn.ncbi.nlm.nih.gov/pmc/blobs/af53/8688923/a79119d7ee17/fcimb-11-766922-g001.jpg

文献AI研究员

20分钟写一篇综述,助力文献阅读效率提升50倍。

立即体验

用中文搜PubMed

大模型驱动的PubMed中文搜索引擎

马上搜索

文档翻译

学术文献翻译模型,支持多种主流文档格式。

立即体验