Suppr超能文献

透明质酸为胰腺癌的生长提供营养。

Hyaluronic acid fuels pancreatic cancer cell growth.

机构信息

Doctoral Program in Cancer Biology, University of Michigan, Ann Arbor, United States.

Department of Molecular & Integrative Physiology, University of Michigan, Ann Arbor, United States.

出版信息

Elife. 2021 Dec 24;10:e62645. doi: 10.7554/eLife.62645.

Abstract

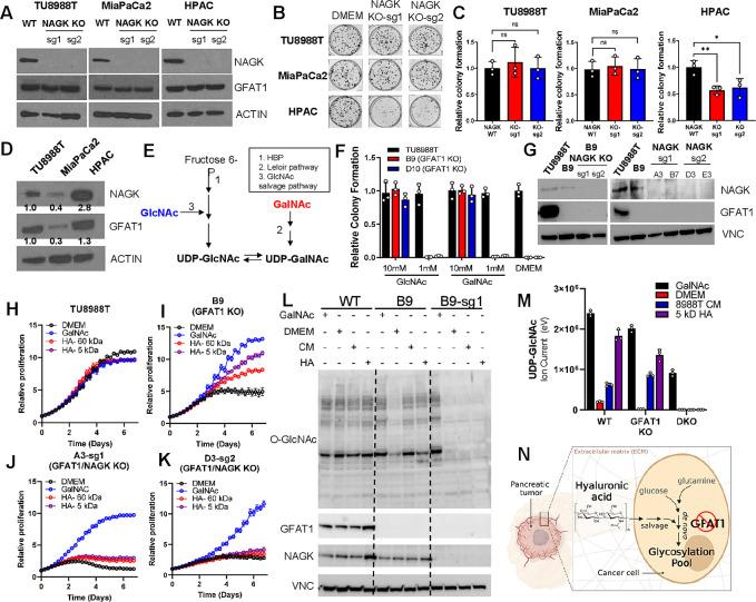
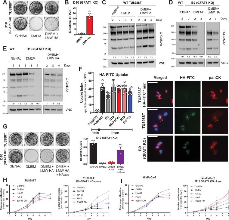
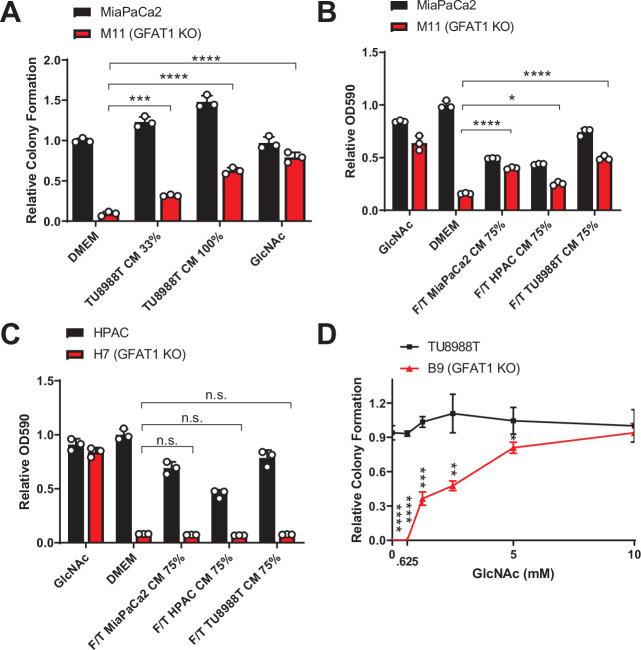
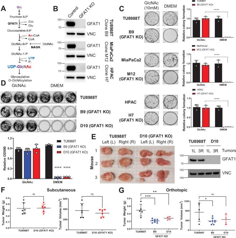
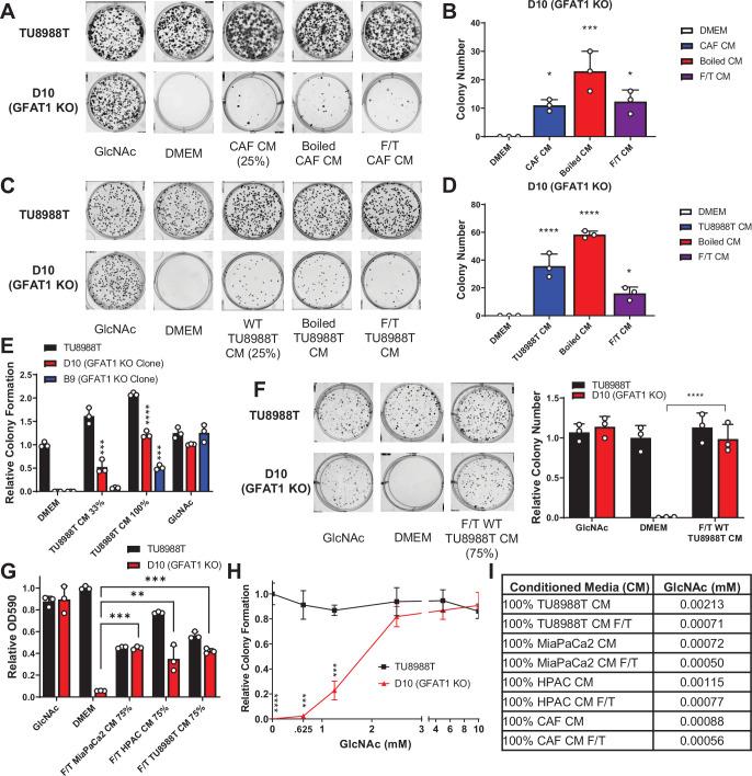
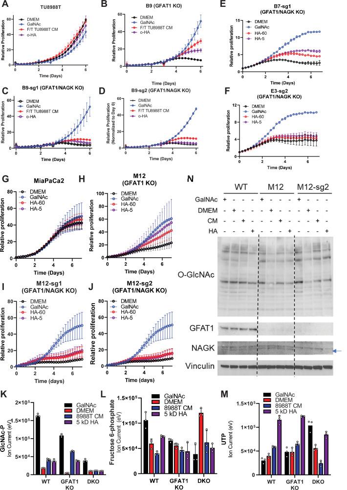
Rewired metabolism is a hallmark of pancreatic ductal adenocarcinomas (PDA). Previously, we demonstrated that PDA cells enhance glycosylation precursor biogenesis through the hexosamine biosynthetic pathway (HBP) via activation of the rate limiting enzyme, glutamine-fructose 6-phosphate amidotransferase 1 (GFAT1). Here, we genetically ablated GFAT1 in human PDA cell lines, which completely blocked proliferation in vitro and led to cell death. In contrast, GFAT1 knockout did not preclude the growth of human tumor xenografts in mice, suggesting that cancer cells can maintain fidelity of glycosylation precursor pools by scavenging nutrients from the tumor microenvironment. We found that hyaluronic acid (HA), an abundant carbohydrate polymer in pancreatic tumors composed of repeating -acetyl-glucosamine (GlcNAc) and glucuronic acid sugars, can bypass GFAT1 to refuel the HBP via the GlcNAc salvage pathway. Together, these data show HA can serve as a nutrient fueling PDA metabolism beyond its previously appreciated structural and signaling roles.

摘要

代谢重编程是胰腺导管腺癌(PDA)的一个标志性特征。此前,我们证明 PDA 细胞通过己糖胺生物合成途径(HBP)激活限速酶谷氨酰胺果糖-6-磷酸酰胺转移酶 1(GFAT1)来增强糖基化前体的生物发生。在这里,我们在人 PDA 细胞系中遗传敲除 GFAT1,这完全阻止了体外增殖,并导致细胞死亡。相比之下,GFAT1 敲除并不排除人肿瘤异种移植物在小鼠中的生长,这表明癌细胞可以通过从肿瘤微环境中摄取营养来维持糖基化前体池的保真度。我们发现,透明质酸(HA)是胰腺肿瘤中一种丰富的碳水化合物聚合物,由重复的乙酰葡萄糖胺(GlcNAc)和葡萄糖醛酸糖组成,它可以通过 GlcNAc 回收途径绕过 GFAT1 来为 HBP 提供燃料。总之,这些数据表明,HA 可以作为一种营养物质为 PDA 代谢提供燃料,超越了其先前被认为的结构和信号作用。

https://cdn.ncbi.nlm.nih.gov/pmc/blobs/b158/8730721/2f27c081d2f8/elife-62645-fig1.jpg

文献AI研究员

20分钟写一篇综述,助力文献阅读效率提升50倍。

立即体验

用中文搜PubMed

大模型驱动的PubMed中文搜索引擎

马上搜索

文档翻译

学术文献翻译模型,支持多种主流文档格式。

立即体验