Suppr超能文献

蓝莓可逆转高热量饮食诱导的大鼠模型的糖尿病前期,并挽救肝脏线粒体生物能量学。

Blueberry Counteracts Prediabetes in a Hypercaloric Diet-Induced Rat Model and Rescues Hepatic Mitochondrial Bioenergetics.

机构信息

Institute of Pharmacology & Experimental Therapeutics & Coimbra Institute for Clinical and Biomedical Research (iCBR), Faculty of Medicine, University of Coimbra, 3000-548 Coimbra, Portugal.

Center for Innovative Biomedicine and Biotechnology (CIBB), University of Coimbra, 3004-504 Coimbra, Portugal.

出版信息

Nutrients. 2021 Nov 23;13(12):4192. doi: 10.3390/nu13124192.

Abstract

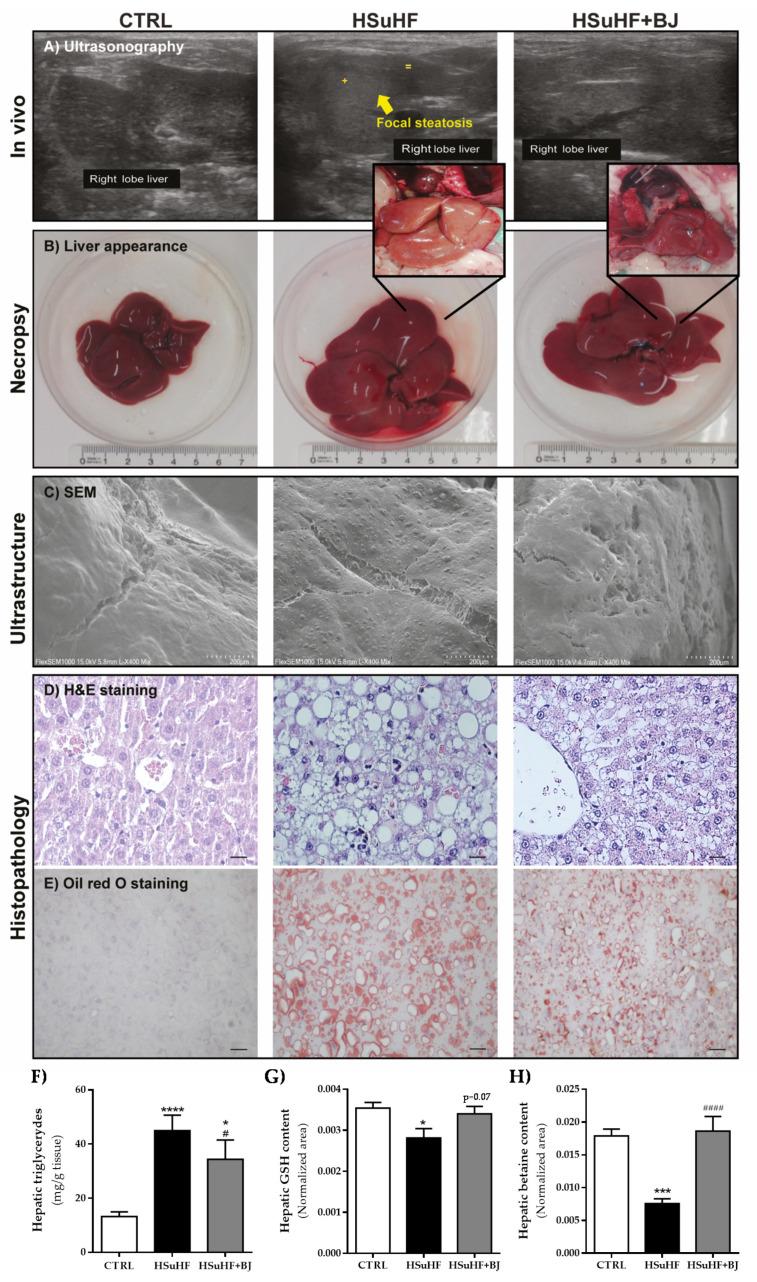
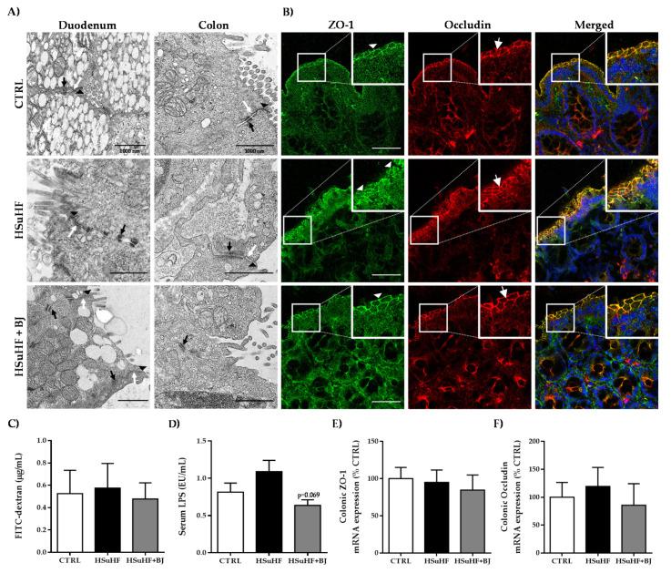
The paramount importance of a healthy diet in the prevention of type 2 diabetes is now well recognized. Blueberries (BBs) have been described as attractive functional fruits for this purpose. This study aimed to elucidate the cellular and molecular mechanisms pertaining to the protective impact of blueberry juice (BJ) on prediabetes. Using a hypercaloric diet-induced prediabetic rat model, we evaluated the effects of BJ on glucose, insulin, and lipid profiles; gut microbiota composition; intestinal barrier integrity; and metabolic endotoxemia, as well as on hepatic metabolic surrogates, including several related to mitochondria bioenergetics. BJ supplementation for 14 weeks counteracted diet-evoked metabolic deregulation, improving glucose tolerance, insulin sensitivity, and hypertriglyceridemia, along with systemic and hepatic antioxidant properties, without a significant impact on the gut microbiota composition and related mechanisms. In addition, BJ treatment effectively alleviated hepatic steatosis and mitochondrial dysfunction observed in the prediabetic animals, as suggested by the amelioration of bioenergetics parameters and key targets of inflammation, insulin signaling, ketogenesis, and fatty acids oxidation. In conclusion, the beneficial metabolic impact of BJ in prediabetes may be mainly explained by the rescue of hepatic mitochondrial bioenergetics. These findings pave the way to support the use of BJ in prediabetes to prevent diabetes and its complications.

摘要

健康饮食在预防 2 型糖尿病中的重要性现在已得到充分认识。蓝莓(BBs)已被描述为具有吸引力的功能性水果,可用于达到此目的。本研究旨在阐明蓝莓汁(BJ)对糖尿病前期的保护作用所涉及的细胞和分子机制。使用高热量饮食诱导的糖尿病前期大鼠模型,我们评估了 BJ 对血糖、胰岛素和血脂谱的影响;肠道微生物群组成;肠道屏障完整性;代谢性内毒素血症,以及肝脏代谢替代物,包括与线粒体生物能学相关的几种。14 周的 BJ 补充剂可对抗饮食引起的代谢紊乱,改善葡萄糖耐量、胰岛素敏感性和高甘油三酯血症,同时具有全身和肝脏抗氧化特性,而对肠道微生物群组成及其相关机制没有重大影响。此外,BJ 治疗有效缓解了糖尿病前期动物中观察到的肝脂肪变性和线粒体功能障碍,这表明通过改善生物能学参数和炎症、胰岛素信号、酮生成和脂肪酸氧化的关键靶点来缓解肝脂肪变性和线粒体功能障碍。总之,BJ 在糖尿病前期的有益代谢影响可能主要归因于对肝脏线粒体生物能学的挽救。这些发现为支持在糖尿病前期使用 BJ 预防糖尿病及其并发症铺平了道路。

https://cdn.ncbi.nlm.nih.gov/pmc/blobs/db4d/8706913/d90836813ce7/nutrients-13-04192-g001.jpg

文献AI研究员

20分钟写一篇综述,助力文献阅读效率提升50倍。

立即体验

用中文搜PubMed

大模型驱动的PubMed中文搜索引擎

马上搜索

文档翻译

学术文献翻译模型,支持多种主流文档格式。

立即体验