Suppr超能文献

RNA结合蛋白MEX3A通过调控透明细胞肾细胞癌中的RB/E2F信号通路来控制G1/S期转换。

RNA-binding protein MEX3A controls G1/S transition via regulating the RB/E2F pathway in clear cell renal cell carcinoma.

作者信息

Qiu Yuntan, Meng Meng, Cao Chuanzhen, Zhang Jingyuan, Cheng Xu, Huang Yongxin, Cao Haotian, Li Yun, Tian Duanqing, Huang Yongsheng, Peng Li, Hu Kaishun, Zhang Yin, Liao Jianyou, He Jiehua, Wang Xiaochun, Lu Daning, Lin Lehang, Bi Xingang, Yin Dong

机构信息

Guangdong Provincial Key Laboratory of Malignant Tumor Epigenetics and Gene Regulation, Guangdong-Hong Kong Joint Laboratory for RNA Medicine, Medical Research Center, Sun Yat-Sen Memorial Hospital, Sun Yat-Sen University, Guangzhou 510120, China.

Department of Urology, National Cancer Center, National Clinical Research Center for Cancer, Cancer Hospital, Chinese Academy of Medical Sciences and Peking Union Medical College, Beijing 100021, China.

出版信息

Mol Ther Nucleic Acids. 2021 Dec 2;27:241-255. doi: 10.1016/j.omtn.2021.11.026. eCollection 2022 Mar 8.

Abstract

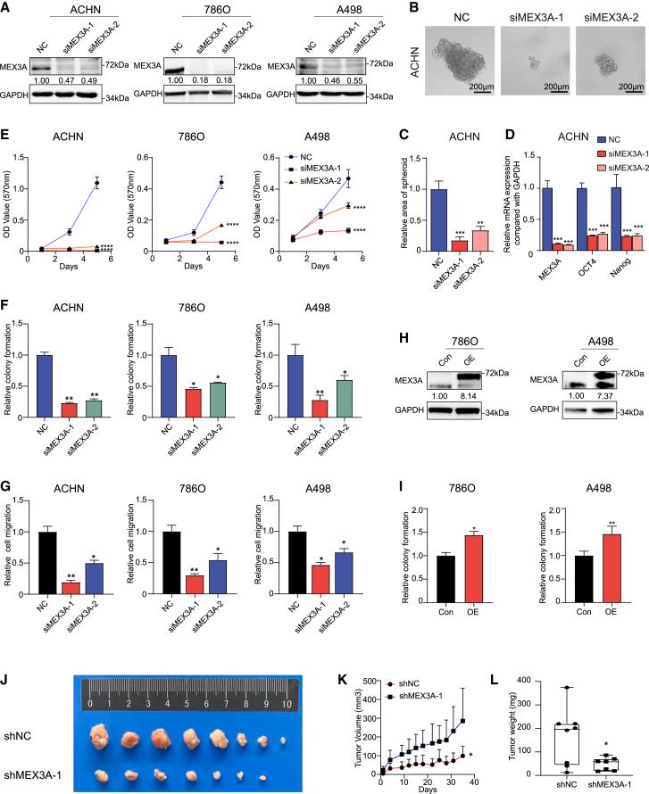
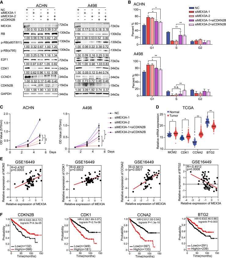
MEX3A is an RNA-binding protein that mediates mRNA decay through binding to 3' untranslated regions. However, its role and mechanism in clear cell renal cell carcinoma remain unknown. In this study, we found that expression was transcriptionally activated by ETS1 and upregulated in clear cell renal cell carcinoma. Silencing markedly reduced clear cell renal cell carcinoma cell proliferation and . Inhibiting MEX3A induced G1/S cell-cycle arrest. Gene set enrichment analysis revealed that E2F targets are the central downstream pathways of MEX3A. To identify MEX3A targets, systematic screening using enhanced cross-linking and immunoprecipitation sequencing, and RNA-immunoprecipitation sequencing assays were performed. A network of 4,000 genes was identified as potential targets of MEX3A. Gene ontology analysis of upregulated genes bound by MEX3A indicated that negative regulation of the cell proliferation pathway was highly enriched. Further assays indicated that MEX3A bound to the 3' untranslated region, promoting its mRNA degradation. This leads to decreased levels of CDKN2B and an uncontrolled cell cycle in clear cell renal cell carcinoma, which was confirmed by rescue experiments. Our findings revealed that MEX3A acts as a post-transcriptional regulator of abnormal cell-cycle progression in clear cell renal cell carcinoma.

摘要

MEX3A是一种RNA结合蛋白,通过与3'非翻译区结合来介导mRNA降解。然而,其在透明细胞肾细胞癌中的作用和机制尚不清楚。在本研究中,我们发现其表达受ETS1转录激活,并在透明细胞肾细胞癌中上调。沉默MEX3A可显著降低透明细胞肾细胞癌细胞增殖及(此处原文缺失部分内容)。抑制MEX3A可诱导G1/S期细胞周期阻滞。基因集富集分析显示,E2F靶点是MEX3A的核心下游通路。为了鉴定MEX3A的靶点,我们进行了增强交联免疫沉淀测序和RNA免疫沉淀测序分析的系统筛选。确定了一个由4000个基因组成的网络作为MEX3A的潜在靶点。对MEX3A结合的上调基因进行基因本体分析表明,细胞增殖途径的负调控高度富集。进一步的实验表明,MEX3A与(此处原文缺失部分内容)的3'非翻译区结合,促进其mRNA降解。这导致透明细胞肾细胞癌中CDKN2B水平降低和细胞周期失控,挽救实验证实了这一点。我们的研究结果表明,MEX3A在透明细胞肾细胞癌中作为异常细胞周期进程的转录后调节因子发挥作用。

https://cdn.ncbi.nlm.nih.gov/pmc/blobs/b778/8703191/2715a393e7fd/fx1.jpg

文献AI研究员

20分钟写一篇综述,助力文献阅读效率提升50倍。

立即体验

用中文搜PubMed

大模型驱动的PubMed中文搜索引擎

马上搜索

文档翻译

学术文献翻译模型,支持多种主流文档格式。

立即体验