Suppr超能文献

一株分离的多药耐药鲍曼不动杆菌裂解噬菌体的特性及其潜在的治疗效果。

The characteristic and potential therapeutic effect of isolated multidrug-resistant Acinetobacter baumannii lytic phage.

机构信息

Department of Bacteriology and Virology, Faculty of Medicine, Isfahan University of Medical Sciences, 81744-176, Isfahan, Iran.

出版信息

Ann Clin Microbiol Antimicrob. 2022 Jan 7;21(1):1. doi: 10.1186/s12941-022-00492-9.

Abstract

BACKGROUND

Widespread misuse of antibiotics caused bacterial resistance increasingly become a serious threat. Bacteriophage therapy promises alternative treatment strategies for combatting drug-resistant bacterial infections. In this study, we isolated and characterized a novel, potent lytic bacteriophage against multi-drug resistant (MDR) Acinetobacter baumannii and described the lytic capability and endolysin activity of the phage to evaluate the potential in phage therapy.

METHODS

A novel phage, pIsf-AB02, was isolated from hospital sewage. The morphological analysis, its host range, growth characteristics, stability under various conditions, genomic restriction pattern were systematically investigated. The protein pattern of the phage was analyzed, and the endolysin activity of the phage was determined under the non-denaturing condition on SDS-PAGE. The optimal lytic titer of phage was assessed by co-culture of the phage with clinical MDR A. baumannii isolates. Finally, HeLa cells were used to examine the safety of the phage.

RESULTS

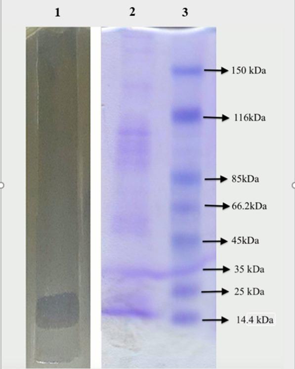
The morphological analysis revealed that the pIsf-AB02 phage displays morphology resembling the Myoviridae family. It can quickly destroy 56.3% (27/48) of clinical MDR A. baumannii isolates. This virulent phage could decrease the bacterial host cells (from 10 CFU/ml to 10 CFU/ml) in 30 min. The optimum stability of the phage was observed at 37 °C. pH 7 is the most suitable condition to maintain phage stability. The 15 kDa protein encoded by pIsf-AB02 was detected to have endolysin activity. pIsf-AB02 did not show cytotoxicity to HeLa cells, and it can save HeLa cells from A. baumannii infection.

CONCLUSION

In this study, we isolated a novel lytic MDR A. baumannii bacteriophage, pIsf-AB02. This phage showed suitable stability at different temperatures and pHs, and demonstrated potent in vitro endolysin activity. pIsf-AB02 may be a good candidate as a therapeutic agent to control nosocomial infections caused by MDR A. baumannii.

摘要

背景

抗生素的广泛滥用导致细菌耐药性日益成为严重威胁。噬菌体疗法有望为对抗耐药菌感染提供替代治疗策略。在本研究中,我们分离并鉴定了一种针对多药耐药(MDR)鲍曼不动杆菌的新型强效溶菌噬菌体,并描述了噬菌体的溶菌能力和溶菌素活性,以评估噬菌体疗法的潜力。

方法

从医院污水中分离出一种新型噬菌体 pIsf-AB02。系统研究了其形态学、宿主范围、生长特性、各种条件下的稳定性、基因组限制性图谱。分析了噬菌体的蛋白图谱,并在 SDS-PAGE 非变性条件下测定了噬菌体的溶菌素活性。通过噬菌体与临床 MDR 鲍曼不动杆菌分离株的共培养评估噬菌体的最佳裂解效价。最后,用 HeLa 细胞检测噬菌体的安全性。

结果

形态学分析表明,pIsf-AB02 噬菌体呈肌尾病毒科形态。它可以迅速破坏 56.3%(27/48)的临床 MDR 鲍曼不动杆菌分离株。这种毒性噬菌体可以在 30 分钟内将细菌宿主细胞(从 10 CFU/ml 降至 10 CFU/ml)减少。噬菌体的最佳稳定性在 37°C 下观察到。pH7 是维持噬菌体稳定性的最适条件。pIsf-AB02 编码的 15kDa 蛋白被检测到具有溶菌素活性。pIsf-AB02 对 HeLa 细胞没有细胞毒性,并且可以防止 HeLa 细胞被鲍曼不动杆菌感染。

结论

在本研究中,我们分离到一种新型溶菌 MDR 鲍曼不动杆菌噬菌体 pIsf-AB02。该噬菌体在不同温度和 pH 值下表现出适宜的稳定性,并且具有强大的体外溶菌素活性。pIsf-AB02 可能是控制由 MDR 鲍曼不动杆菌引起的医院感染的良好候选治疗剂。

https://cdn.ncbi.nlm.nih.gov/pmc/blobs/0f9b/8742398/56db55550a06/12941_2022_492_Fig1_HTML.jpg

文献AI研究员

20分钟写一篇综述,助力文献阅读效率提升50倍。

立即体验

用中文搜PubMed

大模型驱动的PubMed中文搜索引擎

马上搜索

文档翻译

学术文献翻译模型,支持多种主流文档格式。

立即体验