Suppr超能文献

环状 CCNA1 沉默作为 miR-106b-5p 的海绵吸附物抑制 GPM6A 表达,通过增强 DYNC1I1 表达和激活 AKT/ERK 信号通路促进 HCC 进展。

CircCCNB1 silencing acting as a miR-106b-5p sponge inhibited GPM6A expression to promote HCC progression by enhancing DYNC1I1 expression and activating the AKT/ERK signaling pathway.

机构信息

Guangdong Provincial Key Laboratory of Medical Molecular Diagnostics, Institute of Aging Research, Guangdong Medical University, Dongguan, Guangdong, China.

Department of Clinical Laboratory, YueBei People's Hospital, Shaoguan, Guangdong, China.

出版信息

Int J Biol Sci. 2022 Jan 1;18(2):637-651. doi: 10.7150/ijbs.66915. eCollection 2022.

Abstract

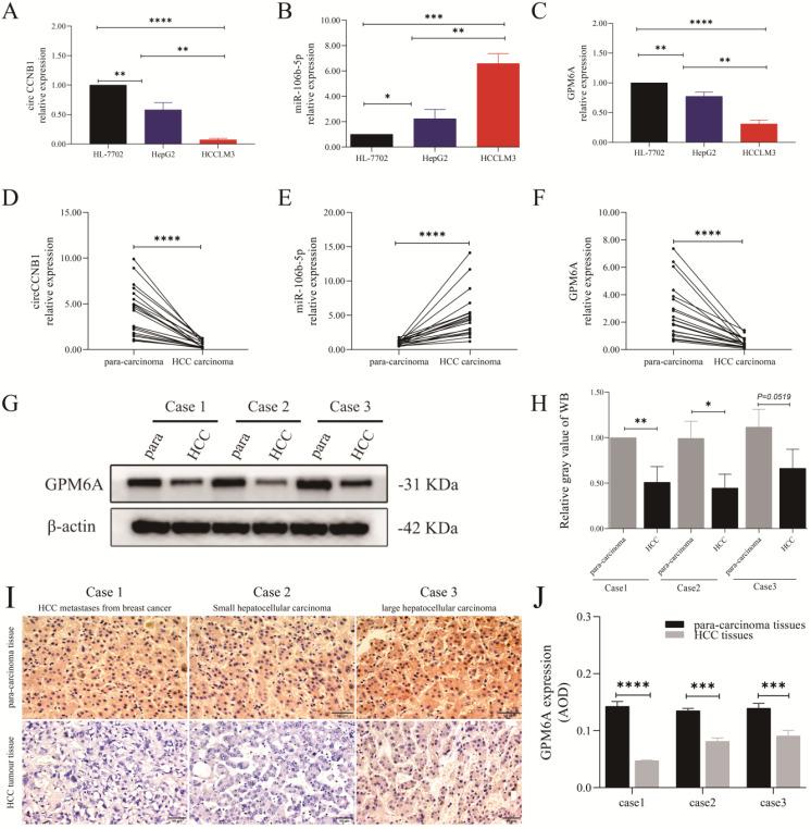
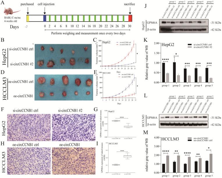
Circular RNAs (circRNAs), which generally act as microRNA (miRNA) sponges to competitively regulate the downstream target genes of miRNA, play an essential role in cancer biology. However, few studies have been reported on the role of circRNA based competitive endogenous RNA (ceRNA) network in hepatocellular carcinoma (HCC). Herein, we aimed to screen and establish the circRNA/miRNA/mRNA networks related to the prognosis and progression of HCC and further explore the underlying mechanisms of tumorigenesis. GEO datasets GSE97332, GSE108724, and GSE101728 were utilized to screen the differentially expressed circRNAs (DE-circRNAs), DE-miRNAs, and DEmRNAs between HCC and matched para-carcinoma tissues. After six RNA-RNA predictions and five intersections between DE-RNAs and predicted RNAs, the survival-related RNAs were screened by the ENCORI analysis tool. The ceRNA networks were constructed using Cytoscape software, based on two models of up-regulated circRNA/down-regulated miRNA/up-regulated mRNA and down-regulated circRNA/up-regulated miRNA/down-regulated mRNA. The qRT-PCR assay was utilized for detecting the RNA expression levels in HCC cells and tissues. The apoptosis, Edu, wound healing, and transwell assays were performed to evaluate the effect of miR-106b-5p productions on the proliferation, invasion, and metastasis of HCC cells. In addition, the clone formation, cell cycle, and nude mice xenograft tumor assays were used to investigate the influence of hsa_circ_0001495 (circCCNB1) silencing and overexpression on the proliferation of HCC cells . Furthermore, the mechanism of downstream gene DYNC1I1 and AKT/ERK signaling pathway via the circCCNB1/miR-106b-5p/GPM6A network in regulating the cell cycle was also explored. Twenty DE-circRNAs with a genomic length less than 2000bp, 11 survival-related DE-miRNAs, and 61 survival-related DE-mRNAs were screened out and used to construct five HCC related ceRNA networks. Then, the circCCNB1/miR-106b-5p/GPM6A network was randomly selected for subsequent experimental verification and mechanism exploration at levels. The expression of circCCNB1 and GPM6A were significantly down-regulated in HCC cells and cancer tissues, while miR-106b-5p expression was up-regulated. After transfections, miR-106b-5p mimics notably enhanced the proliferation, invasion, and metastasis of HCC cells, while the opposite was seen with miR-105b-5p inhibitor. In addition, circCCNB1 silencing promoted the clone formation ability, the cell cycle G1-S transition, and the growth of xenograft tumors of HCC cells via GPM6A downregulation. Subsequently, under-expression of GPM6A increased DYNC1I1 expression and activated the phosphorylation of the AKT/ERK pathway to regulate the HCC cell cycle. We demonstrated that circCCNB1 silencing promoted cell proliferation and metastasis of HCC cells by weakening sponging of oncogenic miR-106b-5p to induce GPM6A underexpression. DYNC1I1 gene expression was up-regulated and further led to activation of the AKT/ERK signaling pathway.

摘要

环状 RNA(circRNAs)通常作为 microRNA(miRNA)的海绵,竞争性调节 miRNA 的下游靶基因,在癌症生物学中发挥着重要作用。然而,关于环状 RNA 基于竞争内源性 RNA(ceRNA)网络在肝细胞癌(HCC)中的作用的研究较少。在此,我们旨在筛选并建立与 HCC 预后和进展相关的 circRNA/miRNA/mRNA 网络,并进一步探讨肿瘤发生的潜在机制。

使用 GEO 数据集 GSE97332、GSE108724 和 GSE101728 筛选 HCC 与匹配癌旁组织之间差异表达的 circRNAs(DE-circRNAs)、DE-miRNAs 和 DEmRNAs。经过六种 RNA-RNA 预测和 DE-RNAs 与预测 RNA 之间的五次交集,通过 ENCORI 分析工具筛选与生存相关的 RNA。使用 Cytoscape 软件构建 ceRNA 网络,基于上调 circRNA/下调 miRNA/上调 mRNA 和下调 circRNA/上调 miRNA/下调 mRNA 的两种模型。qRT-PCR 检测 HCC 细胞和组织中的 RNA 表达水平。通过凋亡、Edu、划痕愈合和 Transwell 检测评估 miR-106b-5p 产生对 HCC 细胞增殖、侵袭和转移的影响。此外,通过克隆形成、细胞周期和裸鼠异种移植肿瘤检测来研究 hsa_circ_0001495(circCCNB1)沉默和过表达对 HCC 细胞增殖的影响。进一步探索了下游基因 DYNC1I1 和 AKT/ERK 信号通路通过 circCCNB1/miR-106b-5p/GPM6A 网络调节细胞周期的机制。

筛选出 20 个基因组长度小于 2000bp 的 DE-circRNAs、11 个与生存相关的 DE-miRNAs 和 61 个与生存相关的 DE-mRNAs,并用于构建五个与 HCC 相关的 ceRNA 网络。然后,随机选择 circCCNB1/miR-106b-5p/GPM6A 网络进行后续实验验证和机制探索。circCCNB1 和 GPM6A 的表达在 HCC 细胞和癌组织中明显下调,而 miR-106b-5p 的表达上调。转染后,miR-106b-5p 模拟物显著增强了 HCC 细胞的增殖、侵袭和转移能力,而 miR-106b-5p 抑制剂则相反。此外,circCCNB1 沉默通过下调 GPM6A 促进 HCC 细胞的克隆形成能力、细胞周期 G1-S 过渡和异种移植肿瘤的生长。随后,下调 GPM6A 增加了 DYNC1I1 表达并激活了 AKT/ERK 信号通路,从而调节 HCC 细胞周期。

我们证明,circCCNB1 沉默通过削弱致癌 miR-106b-5p 的海绵作用来促进 HCC 细胞的增殖和转移,从而诱导 GPM6A 下调。DYNC1I1 基因表达上调,进一步导致 AKT/ERK 信号通路的激活。

https://cdn.ncbi.nlm.nih.gov/pmc/blobs/c2e0/8741844/d14ad351f7a0/ijbsv18p0637g001.jpg

文献AI研究员

20分钟写一篇综述,助力文献阅读效率提升50倍。

立即体验

用中文搜PubMed

大模型驱动的PubMed中文搜索引擎

马上搜索

文档翻译

学术文献翻译模型,支持多种主流文档格式。

立即体验