Suppr超能文献

Linc01133 通过海绵吸附 miR-145-5p 增强 YES1 依赖性 YAP1 核转位促进胃癌生长。

Linc01133 contributes to gastric cancer growth by enhancing YES1-dependent YAP1 nuclear translocation via sponging miR-145-5p.

机构信息

Key Laboratory for Experimental Teratology of the Ministry of Education and Department of Pathology, School of Basic Medical Science, Cheeloo College of Medicine, Shandong University, Jinan, PR China.

Department of Pathology, Qilu Hospital, Cheeloo College of Medicine, Shandong University, Jinan, PR China.

出版信息

Cell Death Dis. 2022 Jan 11;13(1):51. doi: 10.1038/s41419-022-04500-w.

Abstract

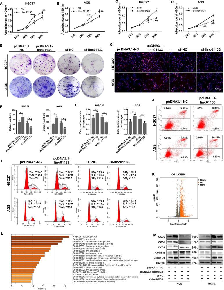
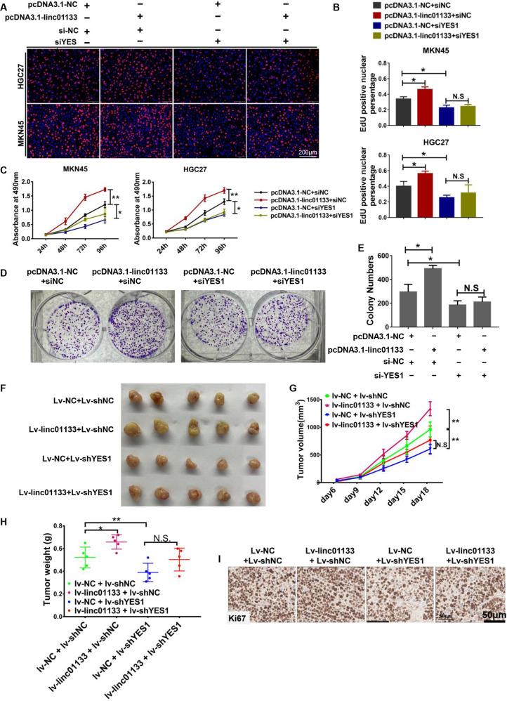
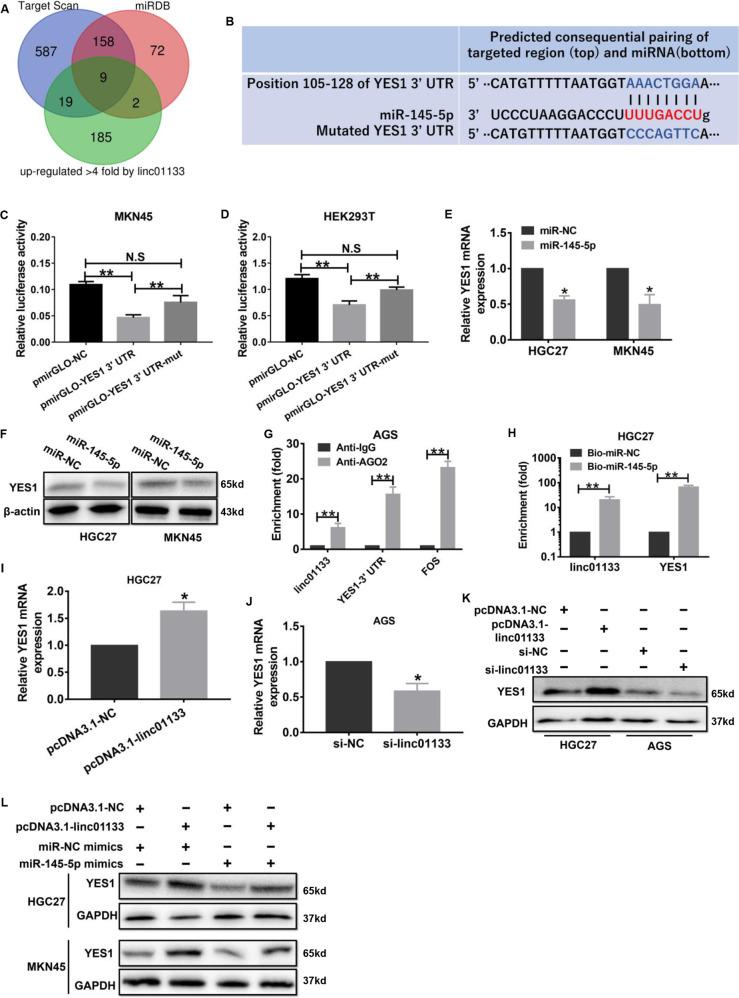
The long intergenic non-coding RNA linc01133 is reported to be oncogenic in various malignancies. However, the role and mechanism of linc01133 in regulating gastric cancer growth is still not clear. In the present study, we found that linc01133 was significantly upregulated in gastric cancer tissues compared to non-tumorous gastric tissues. Linc01133 over-expression significantly correlated with tumor size and tumor differentiation in gastric cancer patients. The expression of linc01133 was regulated by c-Jun and c-Fos collaboratively. In both in vitro and in vivo studies, linc01133 was shown to promote gastric cancer cell growth. Linc01133 localized in the cytoplasm and functioned as an endogenous competing RNA of miR-145-5p to upregulate the expression of YES1, which was proved to be the target gene of miR-145-5p. By promoting YES1-dependent YAP1 nuclear translocation, linc01133 upregulated the expression of the key cell cycle regulators CDK4, CDK6 and cyclin D1 to promote G1-S phase transition. Thus, our study unveiled the function and mechanism of linc01133 regulating cell cycle progression in gastric cancer.

摘要

长链非编码 RNA linc01133 被报道在多种恶性肿瘤中具有致癌作用。然而,linc01133 在调节胃癌生长中的作用和机制尚不清楚。在本研究中,我们发现 linc01133 在胃癌组织中明显上调,而在非肿瘤性胃组织中则下调。linc01133 的高表达与胃癌患者的肿瘤大小和肿瘤分化显著相关。linc01133 的表达受 c-Jun 和 c-Fos 协同调控。在体外和体内研究中,linc01133 均能促进胃癌细胞的生长。linc01133 定位于细胞质,作为 miR-145-5p 的内源性竞争 RNA,上调 YES1 的表达,YES1 被证明是 miR-145-5p 的靶基因。通过促进 YES1 依赖性 YAP1 核转位,linc01133 上调关键细胞周期调控因子 CDK4、CDK6 和 cyclin D1 的表达,促进 G1-S 期转换。因此,我们的研究揭示了 linc01133 在胃癌中调节细胞周期进程的功能和机制。

https://cdn.ncbi.nlm.nih.gov/pmc/blobs/5d3e/8752595/a47c1b96d49f/41419_2022_4500_Fig1_HTML.jpg

文献AI研究员

20分钟写一篇综述,助力文献阅读效率提升50倍。

立即体验

用中文搜PubMed

大模型驱动的PubMed中文搜索引擎

马上搜索

文档翻译

学术文献翻译模型,支持多种主流文档格式。

立即体验