Suppr超能文献

泛素化的凋亡诱导因子是缺氧诱导的线粒体功能障碍和肺动脉平滑肌细胞增殖的主要介质。

Ubiquitinated AIF is a major mediator of hypoxia-induced mitochondrial dysfunction and pulmonary artery smooth muscle cell proliferation.

作者信息

Ma Cui, Wang Xiaoying, He Siyu, Zhang Lixin, Bai June, Qu Lihui, Qi Jing, Zheng Xiaodong, Zhu Xiangrui, Mei Jian, Guan Xiaoyu, Yuan Hao, Zhu Daling

机构信息

Central Laboratory of Harbin Medical University (Daqing), 39 Xinyang Road, Daqing, 163319, People's Republic of China.

College of Medical Laboratory Science and Technology, Harbin Medical University (Daqing), Daqing, 163319, People's Republic of China.

出版信息

Cell Biosci. 2022 Jan 28;12(1):9. doi: 10.1186/s13578-022-00744-3.

Abstract

BACKGROUND

Excessive proliferation of pulmonary artery smooth muscle cells (PASMCs) is the main cause of hypoxic pulmonary hypertension (PH), and mitochondrial homeostasis plays a crucial role. However, the specific molecular regulatory mechanism of mitochondrial function in PASMCs remains unclear.

METHODS

In this study, using the CCK8 assay, EdU incorporation, flow cytometry, Western blotting, co-IP, mass spectrometry, electron microscopy, immunofluorescence, Seahorse extracellular flux analysis and echocardiography, we investigated the specific involvement of apoptosis-inducing factor (AIF), a mitochondrial oxidoreductase in regulating mitochondrial energy metabolism and mitophagy in PASMCs.

RESULTS

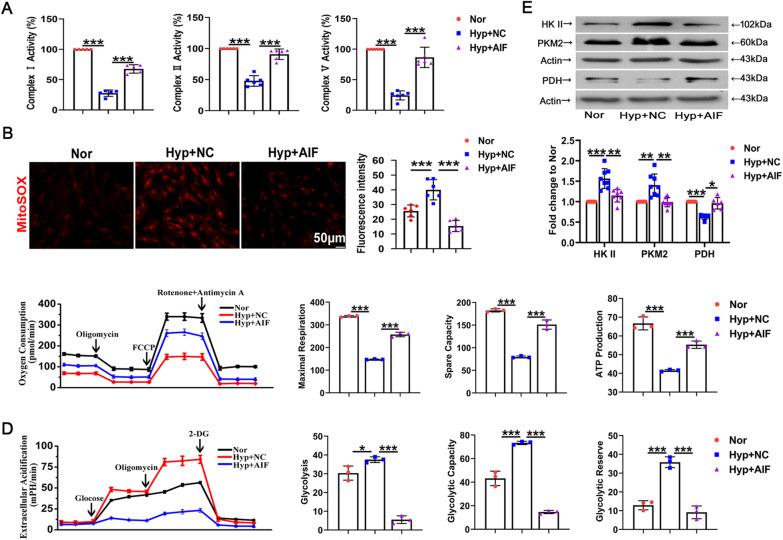
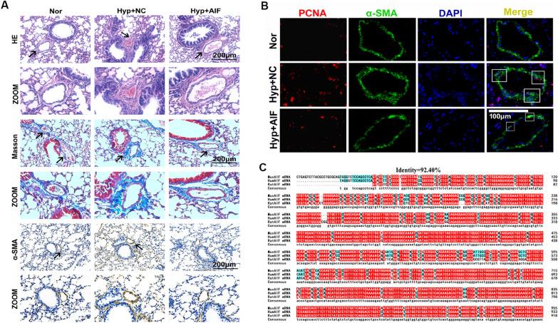
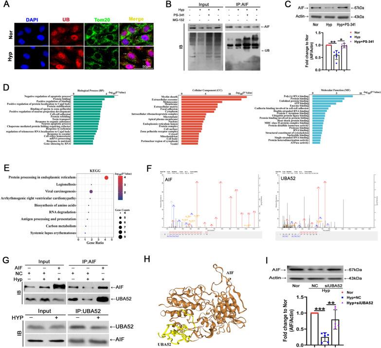
In vitro, AIF deficiency in hypoxia leads to impaired oxidative phosphorylation and increased glycolysis and ROS release because of the loss of mitochondrial complex I activity. AIF was also downregulated and ubiquitinated under hypoxia leading to the abnormal occurrence of mitophagy and autophagy through its interaction with ubiquitin protein UBA52. In vivo, treatment with the adeno-associated virus vector to overexpress AIF protected pulmonary vascular remodeling from dysfunctional and abnormal proliferation.

CONCLUSIONS

Taken together, our results identify AIF as a potential therapeutic target for PH and reveal a novel posttranscriptional regulatory mechanism in hypoxia-induced mitochondrial dysfunction.

摘要

背景

肺动脉平滑肌细胞(PASMCs)过度增殖是缺氧性肺动脉高压(PH)的主要原因,线粒体稳态起着关键作用。然而,PASMCs中线粒体功能的具体分子调控机制仍不清楚。

方法

在本研究中,我们使用CCK8检测、EdU掺入、流式细胞术、蛋白质免疫印迹、免疫共沉淀、质谱分析、电子显微镜、免疫荧光、海马细胞外通量分析和超声心动图,研究了线粒体氧化还原酶凋亡诱导因子(AIF)在调节PASMCs线粒体能量代谢和线粒体自噬中的具体作用。

结果

在体外,缺氧条件下AIF缺乏会导致氧化磷酸化受损,由于线粒体复合体I活性丧失,糖酵解和活性氧释放增加。在缺氧条件下,AIF也会下调并发生泛素化,通过其与泛素蛋白UBA52的相互作用导致线粒体自噬和自噬异常发生。在体内,用腺相关病毒载体治疗以过表达AIF可保护肺血管重塑免受功能障碍和异常增殖的影响。

结论

综上所述,我们的结果确定AIF为PH的潜在治疗靶点,并揭示了缺氧诱导的线粒体功能障碍中的一种新的转录后调控机制。

https://cdn.ncbi.nlm.nih.gov/pmc/blobs/7202/8796423/74fc80c2817e/13578_2022_744_Fig1_HTML.jpg

文献AI研究员

20分钟写一篇综述,助力文献阅读效率提升50倍。

立即体验

用中文搜PubMed

大模型驱动的PubMed中文搜索引擎

马上搜索

文档翻译

学术文献翻译模型,支持多种主流文档格式。

立即体验