Suppr超能文献

新冠病毒奥密克戎改变 TMPRSS2 的使用方式影响其感染性和融合性。

Altered TMPRSS2 usage by SARS-CoV-2 Omicron impacts infectivity and fusogenicity.

机构信息

Cambridge Institute of Therapeutic Immunology & Infectious Disease (CITIID), Cambridge, UK.

Department of Medicine, University of Cambridge, Cambridge, UK.

出版信息

Nature. 2022 Mar;603(7902):706-714. doi: 10.1038/s41586-022-04474-x. Epub 2022 Feb 1.

Abstract

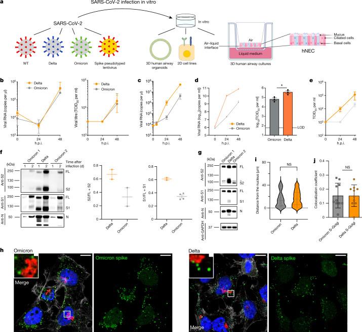
The SARS-CoV-2 Omicron BA.1 variant emerged in 2021 and has multiple mutations in its spike protein. Here we show that the spike protein of Omicron has a higher affinity for ACE2 compared with Delta, and a marked change in its antigenicity increases Omicron's evasion of therapeutic monoclonal and vaccine-elicited polyclonal neutralizing antibodies after two doses. mRNA vaccination as a third vaccine dose rescues and broadens neutralization. Importantly, the antiviral drugs remdesivir and molnupiravir retain efficacy against Omicron BA.1. Replication was similar for Omicron and Delta virus isolates in human nasal epithelial cultures. However, in lung cells and gut cells, Omicron demonstrated lower replication. Omicron spike protein was less efficiently cleaved compared with Delta. The differences in replication were mapped to the entry efficiency of the virus on the basis of spike-pseudotyped virus assays. The defect in entry of Omicron pseudotyped virus to specific cell types effectively correlated with higher cellular RNA expression of TMPRSS2, and deletion of TMPRSS2 affected Delta entry to a greater extent than Omicron. Furthermore, drug inhibitors targeting specific entry pathways demonstrated that the Omicron spike inefficiently uses the cellular protease TMPRSS2, which promotes cell entry through plasma membrane fusion, with greater dependency on cell entry through the endocytic pathway. Consistent with suboptimal S1/S2 cleavage and inability to use TMPRSS2, syncytium formation by the Omicron spike was substantially impaired compared with the Delta spike. The less efficient spike cleavage of Omicron at S1/S2 is associated with a shift in cellular tropism away from TMPRSS2-expressing cells, with implications for altered pathogenesis.

摘要

SARS-CoV-2 奥密克戎 BA.1 变体于 2021 年出现,其刺突蛋白有多个突变。在这里,我们表明奥密克戎的刺突蛋白与德尔塔相比对 ACE2 具有更高的亲和力,并且其抗原性的显著变化增加了奥密克戎对两剂治疗性单克隆抗体和疫苗诱导的多克隆中和抗体的逃避。mRNA 疫苗作为第三剂疫苗可挽救和拓宽中和作用。重要的是,抗病毒药物瑞德西韦和莫努匹韦对奥密克戎 BA.1 仍有效。奥密克戎和德尔塔病毒分离株在人鼻腔上皮培养物中的复制相似。然而,在肺细胞和肠道细胞中,奥密克戎的复制量较低。奥密克戎的刺突蛋白与德尔塔相比,切割效率较低。基于基于刺突假型病毒测定的病毒进入效率,对复制差异进行了映射。奥密克戎假型病毒进入特定细胞类型的效率缺陷与细胞中 TMPRSS2 的 RNA 表达水平较高有效相关,并且 TMPRSS2 的缺失对德尔塔进入的影响大于奥密克戎。此外,针对特定进入途径的药物抑制剂表明,奥密克戎刺突蛋白不能有效地使用细胞蛋白酶 TMPRSS2,该蛋白酶通过质膜融合促进细胞进入,对细胞进入内吞途径的依赖性更大。与 S1/S2 切割效率低下和不能使用 TMPRSS2 一致,奥密克戎刺突蛋白的合胞体形成明显受损,与德尔塔刺突蛋白相比。奥密克戎在 S1/S2 处的刺突蛋白切割效率降低与细胞嗜性向不表达 TMPRSS2 的细胞转移有关,这对改变发病机制有影响。

https://cdn.ncbi.nlm.nih.gov/pmc/blobs/b769/8942856/b5539ca41fae/41586_2022_4474_Fig1_HTML.jpg

文献AI研究员

20分钟写一篇综述,助力文献阅读效率提升50倍。

立即体验

用中文搜PubMed

大模型驱动的PubMed中文搜索引擎

马上搜索

文档翻译

学术文献翻译模型,支持多种主流文档格式。

立即体验