Suppr超能文献

Linc01615与miR-491-5p之间的相互作用调节结肠癌细胞的存活和转移。

Interaction between linc01615 and miR-491-5p regulates the survival and metastasis of colorectal cancer cells.

作者信息

Xiao You, Hu Fan, Li Mei, Mo Li, Xu Chongsi, Wang Xiaoyan, Nie Jing, Yang Lixia, Xie Biao

机构信息

Department One of Anorectal Surgery, The Second Affiliated Hospital of Hunan University of Chinese Medicine, Changsha 410005, China.

Hunan Slack King Laboratory Animal Co., Ltd., Changsha 410125. China.

出版信息

Transl Cancer Res. 2020 Apr;9(4):2638-2647. doi: 10.21037/tcr.2020.03.03.

Abstract

BACKGROUND

The 5-year survival of colorectal cancer (CRC) has had no obvious improvement during the past decades, although a significant progress in treatments has been established. The molecular mechanisms that drive the progression of CRC are still unclear. This study aims to determine the biological activities of linc01615 and its regulatory microRNAs in CRC cells.

METHODS

The expression of linc016150 and miR-491-5p was measured in six CRC cell lines and one normal colon mucosal epithelial cell line. Their effects on cell proliferation, apoptosis, invasion, and migration were tested in Caco-2 cells.

RESULTS

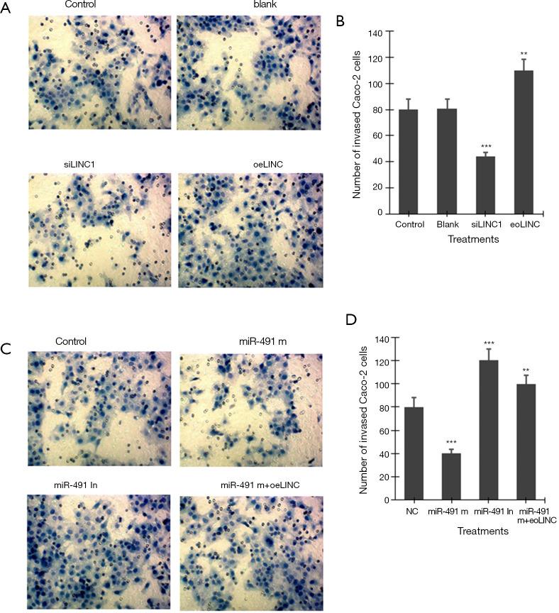
Linc01615 mRNA expression was upregulated in six colorectal cancer cell lines compared to the normal colon mucosal epithelial cell line, which was negatively regulated by miR-491-5p in Caco-2 cells. Silencing of linc01615 gene expression significantly decreased cell proliferation, increased apoptosis, and inhibited invasion and migration in Caco-2 cells. Overexpression of linc01615 exhibited an opposite effect on silencing of linc01615 expression. Transfection with miR-491-5p mimics downregulated linc01615 expression and inhibited the biological activities of linc01615. In contrast, the inhibitor of miR-491-5p up-regulated linc01615 expression and subsequently enhanced the biological activities of linco1615. Also, overexpression of linc01615 can block the effects of miR-491-5p mimics in Caco-2 cells.

CONCLUSIONS

Linc01615 functions as an oncogene while miR-491-5p functions as a tumor suppressor in colorectal cancer cells through negatively regulating each other; both are involved in cell proliferation, apoptosis, invasion, and migration in colorectal cancer cells.

摘要

背景

尽管在治疗方面已取得显著进展,但在过去几十年中,结直肠癌(CRC)的5年生存率并无明显改善。驱动CRC进展的分子机制仍不清楚。本研究旨在确定长链非编码RNA 01615(linc01615)及其调控的微小RNA在CRC细胞中的生物学活性。

方法

检测了6种CRC细胞系和1种正常结肠黏膜上皮细胞系中linc01615和miR-491-5p的表达。在Caco-2细胞中测试了它们对细胞增殖、凋亡、侵袭和迁移的影响。

结果

与正常结肠黏膜上皮细胞系相比,6种结直肠癌细胞系中linc01615 mRNA表达上调,在Caco-2细胞中其受miR-491-5p负调控。沉默linc01615基因表达显著降低了Caco-2细胞的增殖,增加了凋亡,并抑制了侵袭和迁移。linc01615的过表达对linc01615表达的沉默表现出相反的作用。转染miR-491-5p模拟物可下调linc01615表达并抑制linc01615的生物学活性。相反,miR-491-5p抑制剂上调linc01615表达,随后增强linc01615的生物学活性。此外,linc01615的过表达可阻断miR-491-5p模拟物在Caco-2细胞中的作用。

结论

在结直肠癌细胞中,linc01615作为癌基因发挥作用,而miR-491-5p作为肿瘤抑制因子发挥作用,二者通过相互负调控参与了结直肠癌细胞的增殖、凋亡、侵袭和迁移。

https://cdn.ncbi.nlm.nih.gov/pmc/blobs/dd65/8798974/42d6203845af/tcr-09-04-2638-f1.jpg

文献AI研究员

20分钟写一篇综述,助力文献阅读效率提升50倍。

立即体验

用中文搜PubMed

大模型驱动的PubMed中文搜索引擎

马上搜索

文档翻译

学术文献翻译模型,支持多种主流文档格式。

立即体验