Suppr超能文献

Sox10在三阴性乳腺癌中的临床病理意义

Clinicopathological significance of Sox10 expression in triple-negative breast carcinoma.

作者信息

Jin Linfang, Qin Chenglin, Qi Xiaowei, Hong Tingting, Yang Xiaodong, Zhu Xun

机构信息

Department of Thyroid and Mammary Surgery, The Second affiliated Hospital of Soochow University, Suzhou, China.

Department of Pathology, Affiliated Hospital of Jiangnan University (Wuxi Fourth People's Hospital), Wuxi, China.

出版信息

Transl Cancer Res. 2020 Sep;9(9):5603-5613. doi: 10.21037/tcr-20-2634.

Abstract

BACKGROUND

This study aimed to investigate the SRY-related higll-mobility-group box 10 (Sox10) expression in the pathological diagnosis of triple-negative breast cancer (TNBC). Furthermore, its correlation with the clinicopathological characteristics and disease-free survival rate in patients with TNBC was also evaluated to identify the diagnostic utility of Sox10 as a reliable biomarker for the diagnosis and prognosis of TNBC.

METHODS

Using immunohistochemistry (IHC), we identified the expression of Sox10, GATA binding protein 3 (GATA-3), forkhead box protein A1 (FOXA1), gross cystic disease fluid protein (GCDFP15), and mammaglobin (MGB) in 376 cases of primary invasive breast cancer, and 77 cases of metastatic breast cancer. The expression of Sox10 in different molecular subtypes of primary invasive breast cancer and metastatic breast cancer were also compared. Furthermore, the correlation between Sox10 expression and clinicopathological parameters and disease-free survival (DFS) of patients with primary TNBC were also analyzed.

RESULTS

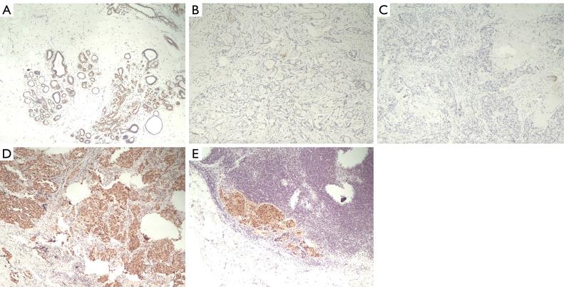
Expression of Sox10 was only detected in the myoepithelial cells of normal breast tissue, but not in any other types of cells, including luminal cells and fibroblasts. The positive rate of Sox10 in primary and metastatic TNBC was significantly higher than that in luminal types and human epidermal growth factor receptor 2 (HER2) overexpressed type. The sensitivity and specificity of Sox10 expression in primary TNBC and metastatic TNBC were significantly lower than GATA-3, significantly higher than FOXA1, GCDFP15, and MGB (P<0.001, P=0.0004, P=0.0064, P=0.0229, respectively). In 71 cases of primary TNBC, a higher expression rate of Sox10 was significantly associated with high-grade tumors, late-stage tumors, and tumors with involvement of four or more lymph node metastases (P=0.0145, P=0.0105, P=0.0249, respectively).

CONCLUSIONS

Sox10 may be used as a novel reliable putative marker for the diagnosis of TNBC. Notably, Sox10 combined with GATA-3 expression may serve as a supplementary differential diagnostic biomarker for primary and metastatic TNBC. Besides, Sox10 may be a good predictor of the prognosis of primary and metastatic TNBC. This study also highlights the significance of targeting Sox10 as a promising potential therapeutic target gene for TNBC therapy.

摘要

背景

本研究旨在探讨Y染色体性别决定区相关高迁移率族蛋白盒10(Sox10)在三阴性乳腺癌(TNBC)病理诊断中的表达情况。此外,还评估了其与TNBC患者临床病理特征及无病生存率的相关性,以确定Sox10作为TNBC诊断和预后可靠生物标志物的诊断效用。

方法

采用免疫组织化学(IHC)方法,我们检测了376例原发性浸润性乳腺癌和77例转移性乳腺癌中Sox10、GATA结合蛋白3(GATA-3)、叉头框蛋白A1(FOXA1)、乳腺囊肿病液蛋白(GCDFP15)和乳腺珠蛋白(MGB)的表达。还比较了原发性浸润性乳腺癌和转移性乳腺癌不同分子亚型中Sox10的表达。此外,还分析了Sox10表达与原发性TNBC患者临床病理参数及无病生存期(DFS)的相关性。

结果

Sox10仅在正常乳腺组织的肌上皮细胞中表达,在包括管腔细胞和成纤维细胞在内的任何其他类型细胞中均未检测到。原发性和转移性TNBC中Sox10的阳性率显著高于管腔型和人表皮生长因子受体2(HER2)过表达型。原发性TNBC和转移性TNBC中Sox10表达的敏感性和特异性显著低于GATA-3,显著高于FOXA1、GCDFP15和MGB(分别为P<0.001、P=0.0004、P=0.0064、P=0.0229)。在71例原发性TNBC中,Sox10的高表达率与高级别肿瘤、晚期肿瘤以及有四个或更多淋巴结转移的肿瘤显著相关(分别为P=0.0145、P=0.0105、P=0.0249)。

结论

Sox10可作为TNBC诊断的一种新型可靠的假定标志物。值得注意的是,Sox10与GATA-3表达联合可作为原发性和转移性TNBC的补充鉴别诊断生物标志物。此外,Sox10可能是原发性和转移性TNBC预后的良好预测指标。本研究还强调了将Sox10作为TNBC治疗有前景的潜在治疗靶点基因的重要性。

https://cdn.ncbi.nlm.nih.gov/pmc/blobs/fed8/8797416/bb719f26529e/tcr-09-09-5603-f1.jpg

文献AI研究员

20分钟写一篇综述,助力文献阅读效率提升50倍。

立即体验

用中文搜PubMed

大模型驱动的PubMed中文搜索引擎

马上搜索

文档翻译

学术文献翻译模型,支持多种主流文档格式。

立即体验