Suppr超能文献

腺相关病毒介导的背根神经节病变的特征描述。

Characterization of AAV-mediated dorsal root ganglionopathy.

作者信息

Buss Nicholas, Lanigan Lisa, Zeller Jillynne, Cissell Derek, Metea Monica, Adams Eric, Higgins Mikayla, Kim Kwi Hye, Budzynski Ewa, Yang Lin, Liu Ye, Butt Mark, Danos Olivier, Fiscella Michele

机构信息

REGENXBIO, Rockville, MD 20850, USA.

StageBio, Frederick, MD 21701, USA.

出版信息

Mol Ther Methods Clin Dev. 2022 Feb 1;24:342-354. doi: 10.1016/j.omtm.2022.01.013. eCollection 2022 Mar 10.

Abstract

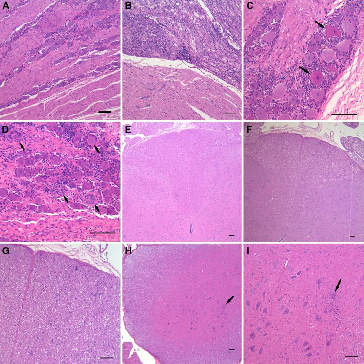
Recent studies in non-human primates administered recombinant adeno-associated viruses (rAAVs) have shown lesions in the dorsal root ganglia (DRG) of unknown pathogenesis. In this study, rAAV9s manufactured using different purification methods alongside a non-expressing Null AAV9 vector was administered to groups of cynomolgus monkeys followed by neuropathological evaluation after 4 weeks. Lesions, including neuronal degeneration, increased cellularity, and nerve fiber degeneration, were observed in the DRG, regardless of purification methods. Animals did not develop any neurological signs throughout the study, and there was no loss of function observed in neuro-electrophysiological endpoints or clear effects on intraepidermal nerve fiber density. However, magnetic resonance imaging (MRI) of animals with axonopathy showed an increase in short tau inversion recovery (STIR) intensity and decrease in fractional anisotropy. In animals administered the Null AAV9 vector, DRG lesions were not observed despite vector DNA being detected in the DRG at levels equivalent to or greater than rAAV9-treated animals. This study further supports that DRG toxicity is associated with transgene overexpression in DRGs, with particular sensitivity at the lumbar and lumbosacral level. The data from this study also showed that the nerve fiber degeneration did not correlate with any functional effect on nerve conduction but was detectable by MRI.

摘要

最近对接受重组腺相关病毒(rAAV)的非人类灵长类动物的研究表明,背根神经节(DRG)出现了病因不明的病变。在本研究中,将使用不同纯化方法制造的rAAV9以及非表达性空AAV9载体给予食蟹猴组,4周后进行神经病理学评估。无论纯化方法如何,在DRG中均观察到病变,包括神经元变性、细胞增多和神经纤维变性。在整个研究过程中,动物未出现任何神经学体征,在神经电生理终点未观察到功能丧失,对表皮内神经纤维密度也无明显影响。然而,患有轴索性神经病的动物的磁共振成像(MRI)显示短tau反转恢复(STIR)强度增加,各向异性分数降低。在给予空AAV9载体的动物中,尽管在DRG中检测到的载体DNA水平与rAAV9处理的动物相当或更高,但未观察到DRG病变。本研究进一步支持DRG毒性与DRG中的转基因过表达有关,在腰段和腰骶段具有特殊敏感性。本研究的数据还表明,神经纤维变性与对神经传导的任何功能影响均无相关性,但可通过MRI检测到。

https://cdn.ncbi.nlm.nih.gov/pmc/blobs/f33c/8851102/6f35a1c158f2/fx1.jpg

文献AI研究员

20分钟写一篇综述,助力文献阅读效率提升50倍。

立即体验

用中文搜PubMed

大模型驱动的PubMed中文搜索引擎

马上搜索

文档翻译

学术文献翻译模型,支持多种主流文档格式。

立即体验