Suppr超能文献

lncRNA BDNF-AS/WDR5/FBXW7 轴通过调节 VDAC3 泛素化介导胃癌腹膜转移中的铁死亡。

The lncRNA BDNF-AS/WDR5/FBXW7 axis mediates ferroptosis in gastric cancer peritoneal metastasis by regulating VDAC3 ubiquitination.

机构信息

Department of Gastrointestinal Surgery & Department of Gastric and Colorectal Surgical Oncology, Zhongnan Hospital of Wuhan University, Wuhan, China.

Department of Gastrointestinal Surgery, Central Hospital of Enshi Tujia and Miao Autonomous Prefecture, Enshi, China.

出版信息

Int J Biol Sci. 2022 Jan 24;18(4):1415-1433. doi: 10.7150/ijbs.69454. eCollection 2022.

Abstract

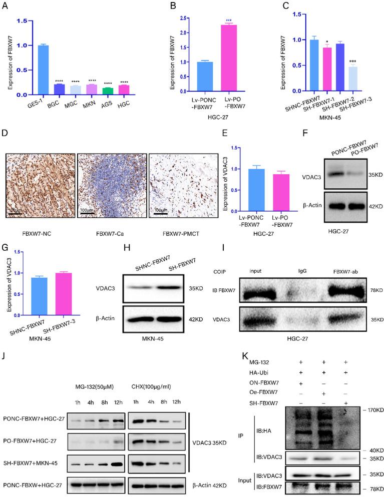
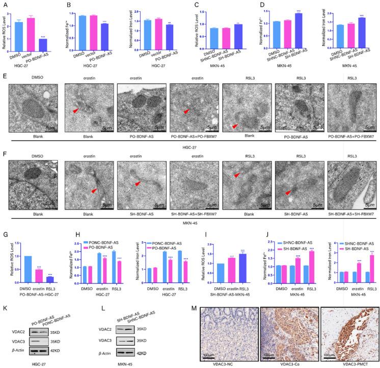
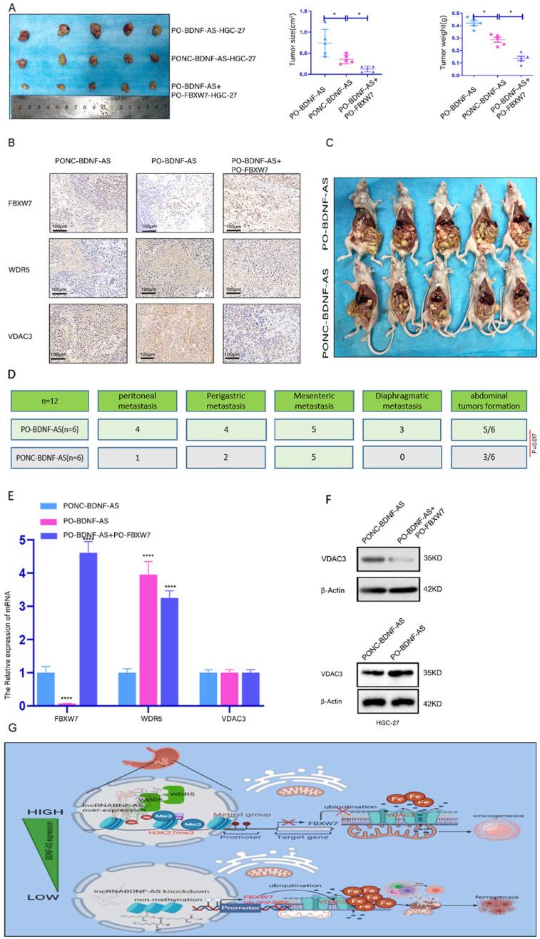
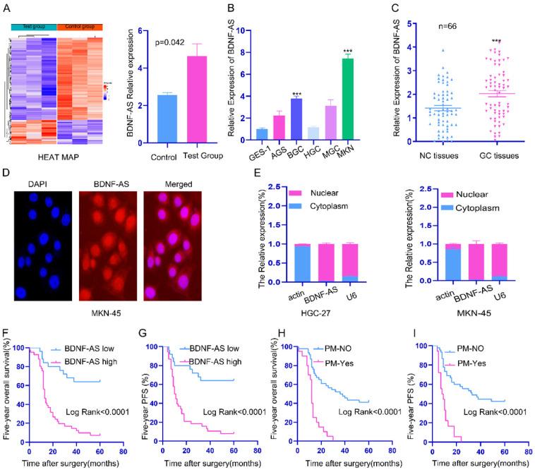
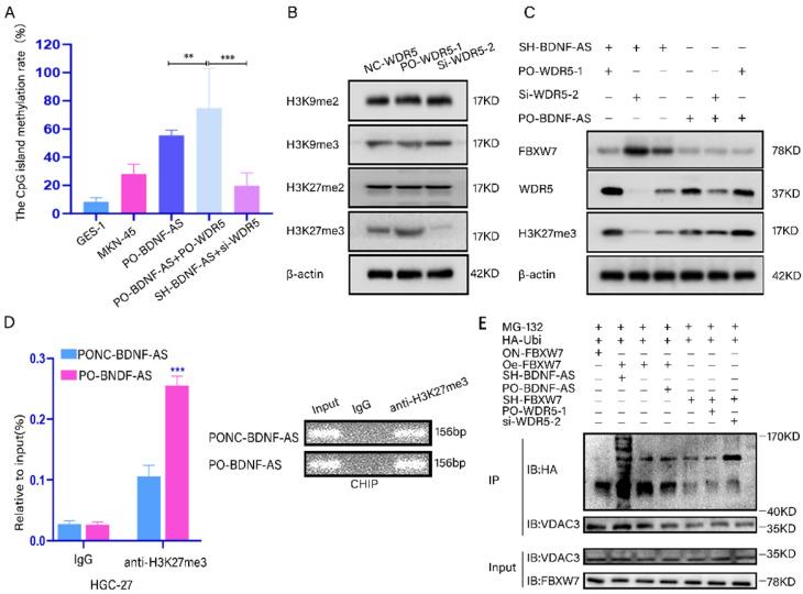
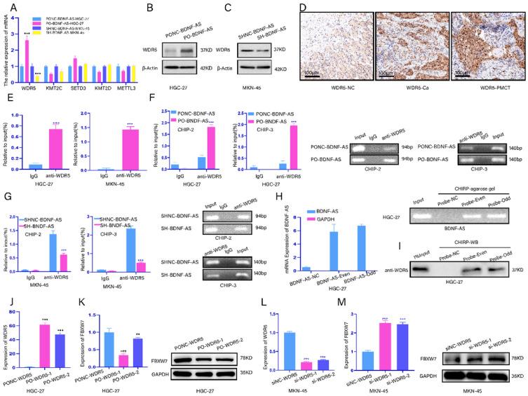
Ferroptosis is a novel form of cell death that is closely associated with the formation of many tumors. Our study focused on the mechanism by which long noncoding RNAs (lncRNAs) regulate ferroptosis in gastric cancer (GC) peritoneal metastasis (PM). We utilized lncRNA sequencing and protein profiling analysis to identify ferroptosis-associated lncRNAs and proteins. qRT-PCR was used to analyze the expression of BDNF-AS and FBXW7 in GC tissues and adjacent normal tissues. Chromatin isolation by RNA purification (ChIRP), RNA immunoprecipitation (RIP), chromatin immunoprecipitation (ChIP), and coimmunoprecipitation (co-IP) assays were performed to investigate the interaction between BDNF-AS and its downstream targets. Finally, the function of BDNF-AS was validated . We demonstrated that BDNF-AS was highly expressed in GC and PM tissues. High BDNF-AS expression was positively related to GC progression and poor prognosis. Functionally, BDNF-AS overexpression protected GC cells from ferroptosis and promoted the progression of GC and PM. Mechanistically, BDNF-AS could regulate FBXW7 expression by recruiting WDR5, thus affecting FBXW7 transcription, and FBXW7 regulated the protein expression of VDAC3 through ubiquitination. Conclusively, our research demonstrated that the BDNF-AS/WDR5/FBXW7 axis regulates ferroptosis in GC by affecting VDAC3 ubiquitination. BDNF-AS might be a biomarker for the evaluation of GC prognosis and the treatment of GC.

摘要

铁死亡是一种与许多肿瘤形成密切相关的新型细胞死亡形式。我们的研究集中在长非编码 RNA(lncRNA)调节胃癌(GC)腹膜转移(PM)中铁死亡的机制上。我们利用 lncRNA 测序和蛋白质谱分析来鉴定铁死亡相关的 lncRNA 和蛋白质。qRT-PCR 用于分析 GC 组织和相邻正常组织中 BDNF-AS 和 FBXW7 的表达。通过 RNA 纯化的染色质分离(ChIRP)、RNA 免疫沉淀(RIP)、染色质免疫沉淀(ChIP)和共免疫沉淀(co-IP)实验来研究 BDNF-AS 与其下游靶标的相互作用。最后,验证了 BDNF-AS 的功能。我们证明 BDNF-AS 在 GC 和 PM 组织中高度表达。BDNF-AS 的高表达与 GC 的进展和预后不良呈正相关。功能上,BDNF-AS 的过表达可保护 GC 细胞免受铁死亡,并促进 GC 和 PM 的进展。机制上,BDNF-AS 可以通过招募 WDR5 来调节 FBXW7 的表达,从而影响 FBXW7 的转录,FBXW7 通过泛素化调节 VDAC3 的蛋白表达。总之,我们的研究表明,BDNF-AS/WDR5/FBXW7 轴通过影响 VDAC3 的泛素化来调节 GC 中的铁死亡。BDNF-AS 可能是评估 GC 预后和治疗 GC 的标志物。

https://cdn.ncbi.nlm.nih.gov/pmc/blobs/a7e1/8898362/a81a41d0ec76/ijbsv18p1415g001.jpg

文献AI研究员

20分钟写一篇综述,助力文献阅读效率提升50倍。

立即体验

用中文搜PubMed

大模型驱动的PubMed中文搜索引擎

马上搜索

文档翻译

学术文献翻译模型,支持多种主流文档格式。

立即体验