Suppr超能文献

利用人脂肪组织分离物构建的肥大软骨移植物修复大鼠下颌骨缺损

Repair of a Rat Mandibular Bone Defect by Hypertrophic Cartilage Grafts Engineered From Human Fractionated Adipose Tissue.

作者信息

Cheng Chen, Chaaban Mansoor, Born Gordian, Martin Ivan, Li Qingfeng, Schaefer Dirk J, Jaquiery Claude, Scherberich Arnaud

机构信息

Department of Plastic and Reconstructive Surgery, Shanghai Ninth People's Hospital, Shanghai Jiao Tong University School of Medicine, Shanghai, China.

Department of Biomedicine, University Hospital Basel, University of Basel, Basel, Switzerland.

出版信息

Front Bioeng Biotechnol. 2022 Mar 8;10:841690. doi: 10.3389/fbioe.2022.841690. eCollection 2022.

Abstract

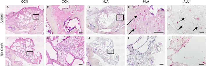
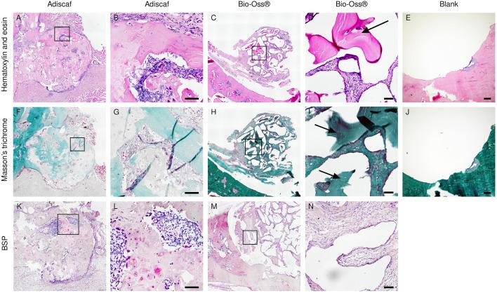
Devitalized bone matrix (DBM) is currently the gold standard alternative to autologous bone grafting in maxillofacial surgery. However, it fully relies on its osteoconductive properties and therefore requires defects with healthy bone surrounding. Fractionated human adipose tissue, when differentiated into hypertrophic cartilage , was proven reproducibly osteogenic , by recapitulating endochondral ossification (ECO). Both types of bone substitutes were thus compared in an orthotopic, preclinical mandibular defect model in rat. Human adipose tissue samples were collected and cultured to generate disks of hypertrophic cartilage. After hypertrophic induction, eight samples from two donors were implanted into a mandible defect in rats, in parallel to Bio-Oss® DBM granules. After 12 weeks, the mandible samples were harvested and evaluated by Micro-CT and histology. Micro-CT demonstrated reproducible ECO and complete restoration of the mandibular geometry with adipose-based disks, with continuous bone inside and around the defect, part of which was of human (donor) origin. In the Bio-Oss® group, instead, osteoconduction from the border of the defect was observed but no direct connection of the granules with the surrounding bone was evidenced. Adipose-based grafts generated significantly higher mineralized tissue volume (0.57 ± 0.10 vs 0.38 ± 0.07, = 4, = 0.03) and newly formed bone (18.9 ± 3.4% of surface area with bone tissue vs. 3 ± 0.7%, < 0.01) than Bio-Oss. Our results provide a proof-of-concept that adipose-based hypertrophic cartilage grafts outperform clinical standard biomaterials in maxillofacial surgery.

摘要

去活力骨基质(DBM)目前是颌面外科自体骨移植的金标准替代物。然而,它完全依赖其骨传导特性,因此需要周围有健康骨组织的缺损。当人脂肪组织分化为肥大软骨时,通过重现软骨内成骨(ECO),已被证实具有可重复性的成骨能力。因此,在大鼠原位临床前下颌骨缺损模型中对这两种骨替代物进行了比较。收集人脂肪组织样本并进行培养以生成肥大软骨盘。肥大诱导后,将来自两名供体的八个样本与Bio-Oss® DBM颗粒平行植入大鼠下颌骨缺损处。12周后,收获下颌骨样本并通过显微CT和组织学进行评估。显微CT显示基于脂肪的盘状物具有可重复性的ECO,下颌骨几何形状完全恢复,缺损内部和周围有连续的骨组织,其中一部分是人(供体)源的。相反,在Bio-Oss®组中,观察到从缺损边缘的骨传导,但未证明颗粒与周围骨有直接连接。与Bio-Oss相比,基于脂肪的移植物产生的矿化组织体积显著更高(0.57±0.10对0.38±0.07,=4,=0.03),新形成的骨更多(骨组织占表面积的18.9±3.4%对3±0.7%,<0.01)。我们的结果提供了一个概念验证,即基于脂肪的肥大软骨移植物在颌面外科手术中优于临床标准生物材料。

https://cdn.ncbi.nlm.nih.gov/pmc/blobs/04c6/8957819/ec46eb5f2dd8/fbioe-10-841690-g001.jpg

文献AI研究员

20分钟写一篇综述,助力文献阅读效率提升50倍。

立即体验

用中文搜PubMed

大模型驱动的PubMed中文搜索引擎

马上搜索

文档翻译

学术文献翻译模型,支持多种主流文档格式。

立即体验