Suppr超能文献

重症新型冠状病毒肺炎与遗传易感性:一例病例报告及文献综述

Severe COVID-19 Pneumonia and Genetic Susceptibility: A Case Report and Literature Review.

作者信息

Alsayed Badr A, Mir Rashid

机构信息

Internal Medicine, University of Tabuk, Tabuk, SAU.

Molecular Oncology, Genetics and Translational Medicine, Faculty of Applied Medical Sciences, Tabuk, SAU.

出版信息

Cureus. 2022 Mar 30;14(3):e23636. doi: 10.7759/cureus.23636. eCollection 2022 Mar.

Abstract

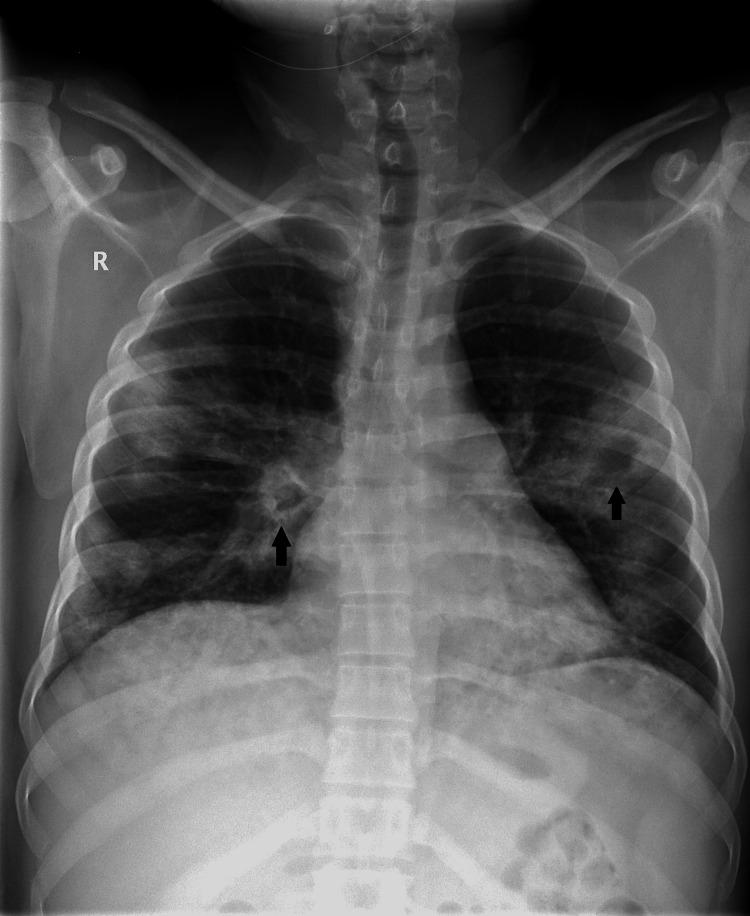
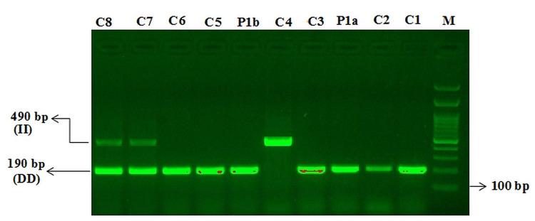
Genetic susceptibility to severe acute respiratory syndrome coronavirus 2 (SARS-CoV-2) morbidity and mortality continues to evolve. This report presents a case of an apparently healthy male adult who developed severe coronavirus disease 2019 (COVID-19) and a study on relevant genetic mutations, namely, angiotensin-converting enzyme 2 (ACE2-rs4646994 I/D) gene, glutathione S-transferase (GST) M1 and T1 gene, and miR-423 rs6505162 C>A gene polymorphism. Results showed that the ACE-DD genotype of ACE2, (GSTM1+/+) (GSTT1-/-) genotype of GST gene, and CA genotype (heterozygosity) of miR-423 rs6505162 genes, which were found in the patient, could be independent risk factors of severe COVID-19, even without comorbidities.

摘要

对严重急性呼吸综合征冠状病毒2(SARS-CoV-2)发病和死亡的遗传易感性仍在不断演变。本报告介绍了一例表面健康的成年男性患重症2019冠状病毒病(COVID-19)的病例以及一项关于相关基因突变的研究,即血管紧张素转换酶2(ACE2-rs4646994 I/D)基因、谷胱甘肽S-转移酶(GST)M1和T1基因以及miR-423 rs6505162 C>A基因多态性。结果显示,在该患者中发现的ACE2的ACE-DD基因型、GST基因的(GSTM1+/+)(GSTT1-/-)基因型以及miR-423 rs6505162基因的CA基因型(杂合性),即使在没有合并症的情况下,也可能是重症COVID-19的独立危险因素。

https://cdn.ncbi.nlm.nih.gov/pmc/blobs/aeb6/8971094/4386833eb1ae/cureus-0014-00000023636-i01.jpg

文献AI研究员

20分钟写一篇综述,助力文献阅读效率提升50倍。

立即体验

用中文搜PubMed

大模型驱动的PubMed中文搜索引擎

马上搜索

文档翻译

学术文献翻译模型,支持多种主流文档格式。

立即体验