Suppr超能文献

膳食姜黄素纳米粒子促进了尼罗罗非鱼鱼苗的性能、抗氧化活性和体液免疫,并调节了其肝脏和肠道组织学。

Dietary curcumin nanoparticles promoted the performance, antioxidant activity, and humoral immunity, and modulated the hepatic and intestinal histology of Nile tilapia fingerlings.

机构信息

Department of Fish Biology and Ecology, Central Laboratory for Aquaculture Research, Agriculture Research Center, Abbassa, Abo-Hammad, Sharqia, Egypt.

Mariculture Research Center, Arish University, El-Arish, Egypt.

出版信息

Fish Physiol Biochem. 2022 Jun;48(3):585-601. doi: 10.1007/s10695-022-01066-4. Epub 2022 Apr 5.

Abstract

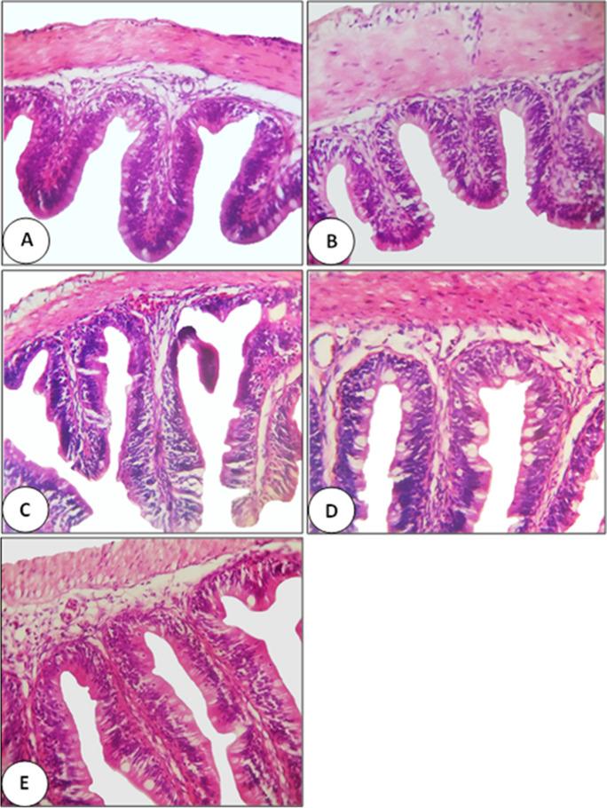
The current study investigated the effects of dietary curcumin nanoparticles (C-NPs) on the performance, hemato-biochemical profile, digestive enzymes activities, antioxidant status, humoral immunity, and liver and intestinal histology of Nile tilapia (Oreochromis niloticus). Fish (4.3 ± 0.5 g) were fed with diets enriched with 0.0 (control), 15, 30, 45, and 60 mg C-NPs/kg diet up to apparent satiety thrice a day for 60 days. The growth-stimulating effects of dietary C-NPs were significantly observed in terms of final weight, weight gain %, specific growth rate, and feed intake. Compared with the control group, serum amylase, lipase, and proteases activities of Nile tilapia significantly (P < 0.05) increased alongside the increase in dietary levels of C-NPs in a dose-dependent manner. The counts of red blood cells and white blood cells as well as hemoglobin and hematocrit levels of Nile tilapia fed with 30-60 mg C-NPs/kg diet were statistically (P < 0.05) higher than fish in the control group with no significant differences among them (P > 0.05). Moreover, lymphocytes and monocytes significantly (P > 0.05) increased; meanwhile neutrophils significantly (P > 0.05) decreased as C-NPs levels in diets increased. In a similar trend, antioxidant (malondialdehyde, superoxide dismutase, catalase, and glutathione peroxidase) and humoral immunity (lysozyme and total immunoglobulin) biomarkers were significantly higher in C-NPs-fed fish. Liver histology showed improvements in the cell architecture of fish fed with C-NPs containing diets up to 45 mg/kg diet. Compared with the control diet, feeding Nile tilapia with C-NPs diets resulted in a higher villi length/width and absorption area. According to the regression curves, the current study recommends using the dietary C-NP with optimum values of 45-55 mg/kg diet to improve the performance, digestive enzymes, antioxidant activities, and immunity response of Nile tilapia.

摘要

本研究探讨了膳食姜黄素纳米粒子(C-NPs)对尼罗罗非鱼(Oreochromis niloticus)生长性能、血液生化指标、消化酶活性、抗氧化状态、体液免疫和肝脏与肠道组织学的影响。将体重为(4.3±0.5)g 的鱼用添加 0.0(对照组)、15、30、45 和 60mg C-NPs/kg 饲料的饲料进行为期 60 天的饲养,每天分 3 次饱食投喂。结果表明,饲料中添加 C-NPs 可显著(P<0.05)提高终重、增重率、特定生长率和饲料转化率。与对照组相比,尼罗罗非鱼血清中淀粉酶、脂肪酶和蛋白酶的活性随饲料中 C-NPs 水平的增加呈剂量依赖性显著(P<0.05)增加。摄食 30-60mg C-NPs/kg 饲料的尼罗罗非鱼的红细胞和白细胞计数以及血红蛋白和红细胞压积水平均显著(P<0.05)高于对照组,且各组间无显著差异(P>0.05)。此外,淋巴细胞和单核细胞显著(P>0.05)增加,而中性粒细胞显著(P>0.05)减少,随着饲料中 C-NPs 水平的增加。同样,抗氧化(丙二醛、超氧化物歧化酶、过氧化氢酶和谷胱甘肽过氧化物酶)和体液免疫(溶菌酶和总免疫球蛋白)生物标志物在摄食 C-NPs 的鱼中也显著升高。肝脏组织学显示,摄食含 C-NPs 饲料的鱼的细胞结构得到改善,摄食含 45mg/kg 饲料的鱼的细胞结构改善最明显。与对照组相比,摄食 C-NPs 饲料可使尼罗罗非鱼的肠绒毛长度/宽度和吸收面积增加。根据回归曲线,本研究建议使用最佳值为 45-55mg/kg 饲料的 C-NP 来提高尼罗罗非鱼的生长性能、消化酶、抗氧化活性和免疫反应。

https://cdn.ncbi.nlm.nih.gov/pmc/blobs/1821/9156469/425f0d162fe9/10695_2022_1066_Fig1_HTML.jpg

文献AI研究员

20分钟写一篇综述,助力文献阅读效率提升50倍。

立即体验

用中文搜PubMed

大模型驱动的PubMed中文搜索引擎

马上搜索

文档翻译

学术文献翻译模型,支持多种主流文档格式。

立即体验