Suppr超能文献

TNF-α 诱导 C2C12 细胞系肌管萎缩揭示了潜在的与炎症相关的 lncRNAs 介导肌肉消耗。

TNF-α Induced Myotube Atrophy in C2C12 Cell Line Uncovers Putative Inflammatory-Related lncRNAs Mediating Muscle Wasting.

机构信息

Department of Human Physiology, Medical University of Lublin, 20-080 Lublin, Poland.

Haematological Malignancies H12O Clinical Research Unit, Spanish National Cancer Research Centre, 28029 Madrid, Spain.

出版信息

Int J Mol Sci. 2022 Mar 31;23(7):3878. doi: 10.3390/ijms23073878.

Abstract

BACKGROUND

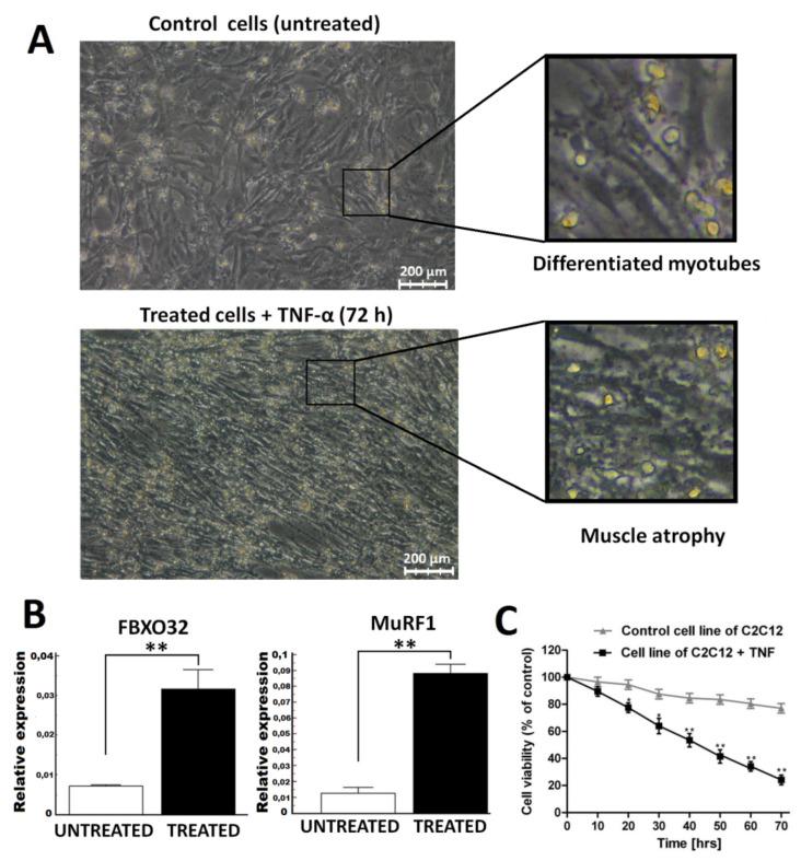
Muscle atrophy is a complex catabolic condition developing under different inflammatory-related systemic diseases resulting in wasting of muscle tissue. While the knowledge of the molecular background of muscle atrophy has developed in recent years, how the atrophic conditions affect the long non-coding RNA (lncRNAs) machinery and the exact participation of the latter in the mediation of muscle loss are still unknown. The purpose of the study was to assess how inflammatory condition developing under the tumor necrosis factor alpha (TNF-α) treatment affects the lncRNAs' expression in a mouse skeletal muscle cell line.

MATERIALS AND METHOD

A C2C12 mouse myoblast cell line was treated with TNF-α to develop atrophy, and inflammatory-related lncRNAs mediating muscle loss were identified. Bioinformatics was used to validate and analyze the discovered lncRNAs. The differences in their expression under different TNF-α concentrations and treatment times were investigated.

RESULTS

Five lncRNAs were identified in a discovery set as atrophy related and then validated. Three lncRNAs, Gm4117, Ccdc41os1, and 5830418P13Rik, were selected as being significant for inflammatory-related myotube atrophy. Dynamics changes in the expression of lncRNAs depended on both TNF-α concentration and treatment time. Bioinformatics analysis revealed the mRNA and miRNA target for selected lncRNAs and their putative involvement in the molecular processes related to muscle atrophy.

CONCLUSIONS

The inflammatory condition developing in the myotube under the TNF-α treatment affects the alteration of lncRNAs' expression pattern. Experimental and bioinformatics testing suggested the prospective role of lncRNAs in the mediation of muscle loss under an inflammatory state.

摘要

背景

肌肉萎缩是一种在不同炎症相关系统性疾病下发生的复杂分解代谢状态,导致肌肉组织消耗。尽管近年来人们对肌肉萎缩的分子背景有了更多的了解,但萎缩状态如何影响长非编码 RNA(lncRNA)机制,以及后者在介导肌肉丧失的确切参与仍不清楚。本研究的目的是评估肿瘤坏死因子-α(TNF-α)治疗下炎症状态的发展如何影响小鼠骨骼肌细胞系中 lncRNA 的表达。

材料和方法

用 TNF-α处理 C2C12 小鼠成肌细胞系以诱导萎缩,并鉴定与炎症相关的介导肌肉损失的 lncRNA。生物信息学用于验证和分析发现的 lncRNA。研究了它们在不同 TNF-α浓度和处理时间下表达的差异。

结果

在发现组中鉴定了 5 个与萎缩相关的 lncRNA,然后进行了验证。3 个 lncRNA,Gm4117、Ccdc41os1 和 5830418P13Rik,被选为与炎症相关的肌管萎缩有关的显著 lncRNA。lncRNA 表达的动态变化取决于 TNF-α浓度和处理时间。生物信息学分析揭示了所选 lncRNA 的 mRNA 和 miRNA 靶标及其在与肌肉萎缩相关的分子过程中的潜在作用。

结论

TNF-α 处理下肌管中炎症状态的发展会影响 lncRNA 表达模式的改变。实验和生物信息学测试表明,lncRNA 在炎症状态下介导肌肉丧失中具有潜在作用。

https://cdn.ncbi.nlm.nih.gov/pmc/blobs/c2fe/8998797/02608c0adb6a/ijms-23-03878-g001.jpg

文献AI研究员

20分钟写一篇综述,助力文献阅读效率提升50倍。

立即体验

用中文搜PubMed

大模型驱动的PubMed中文搜索引擎

马上搜索

文档翻译

学术文献翻译模型,支持多种主流文档格式。

立即体验