Suppr超能文献

乳酸传感器GPR81调节乳腺癌的糖酵解和肿瘤生长。

The lactate sensor GPR81 regulates glycolysis and tumor growth of breast cancer.

作者信息

Ishihara Shota, Hata Kenji, Hirose Katsutoshi, Okui Tatsuo, Toyosawa Satoru, Uzawa Narikazu, Nishimura Riko, Yoneda Toshiyuki

机构信息

Department of Molecular and Cellular Biochemistry, Osaka University Graduate School of Dentistry, 1-8 Yamadaoka, Suita, Osaka, 565-0871, Japan.

Department of Oral and Maxillofacial Surgery II, Osaka University Graduate School of Dentistry, Osaka, Japan.

出版信息

Sci Rep. 2022 Apr 15;12(1):6261. doi: 10.1038/s41598-022-10143-w.

Abstract

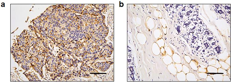
Metabolic reprogramming is a malignant phenotype of cancer. Cancer cells utilize glycolysis to fuel rapid proliferation even in the presence of oxygen, and elevated glycolysis is coupled to lactate fermentation in the cancer microenvironment. Although lactate has been recognized as a metabolic waste product, it has become evident that lactate functions as not only an energy source but a signaling molecule through the lactate receptor G-protein-coupled receptor 81 (GPR81) under physiological conditions. However, the pathological role of GPR81 in cancer remains unclear. Here, we show that GPR81 regulates the malignant phenotype of breast cancer cell by reprogramming energy metabolism. We found that GPR81 is highly expressed in breast cancer cell lines but not in normal breast epithelial cells. Knockdown of GPR81 decreased breast cancer cell proliferation, and tumor growth. Mechanistically, glycolysis and lactate-dependent ATP production were impaired in GPR81-silenced breast cancer cells. RNA sequencing accompanied by Gene Ontology enrichment analysis further demonstrated a significant decrease in genes associated with cell motility and silencing of GPR81 suppressed cell migration and invasion. Notably, histological examination showed strong expression of GPR81 in clinical samples of human breast cancer. Collectively, our findings suggest that GPR81 is critical for malignancy of breast cancer and may be a potential novel therapeutic target for breast carcinoma.

摘要

代谢重编程是癌症的一种恶性表型。癌细胞即使在有氧的情况下也利用糖酵解来为快速增殖提供能量,并且在癌症微环境中,糖酵解的增强与乳酸发酵相关联。尽管乳酸一直被认为是一种代谢废物,但很明显,在生理条件下,乳酸不仅作为一种能量来源,还通过乳酸受体G蛋白偶联受体81(GPR81)发挥信号分子的作用。然而,GPR81在癌症中的病理作用仍不清楚。在此,我们表明GPR81通过重编程能量代谢来调节乳腺癌细胞的恶性表型。我们发现GPR81在乳腺癌细胞系中高表达,而在正常乳腺上皮细胞中不表达。敲低GPR81会降低乳腺癌细胞的增殖和肿瘤生长。从机制上讲,在GPR81沉默的乳腺癌细胞中,糖酵解和乳酸依赖性ATP生成受到损害。RNA测序及基因本体富集分析进一步表明,与细胞运动相关的基因显著减少,并且GPR81的沉默抑制了细胞迁移和侵袭。值得注意的是,组织学检查显示GPR81在人类乳腺癌临床样本中强烈表达。总体而言,我们的研究结果表明GPR81对乳腺癌的恶性程度至关重要,可能是乳腺癌潜在的新型治疗靶点。

https://cdn.ncbi.nlm.nih.gov/pmc/blobs/fe81/9012857/bf173da35ed7/41598_2022_10143_Fig1_HTML.jpg

文献AI研究员

20分钟写一篇综述,助力文献阅读效率提升50倍。

立即体验

用中文搜PubMed

大模型驱动的PubMed中文搜索引擎

马上搜索

文档翻译

学术文献翻译模型,支持多种主流文档格式。

立即体验