Suppr超能文献

抗氧化和抗炎性胶束:打破干眼恶性循环。

Anti-Oxidative and Anti-Inflammatory Micelles: Break the Dry Eye Vicious Cycle.

机构信息

Eye Center, The Second Affiliated Hospital, School of Medicine, Zhejiang University, 88 Jiefang Road, Hangzhou, 310009, P. R. China.

MOE Key Laboratory of Macromolecule Synthesis and Functionalization of Ministry of Education, Department of Polymer Science and Engineering, Zhejiang University, Hangzhou, 310027, P. R. China.

出版信息

Adv Sci (Weinh). 2022 Jun;9(17):e2200435. doi: 10.1002/advs.202200435. Epub 2022 Apr 18.

Abstract

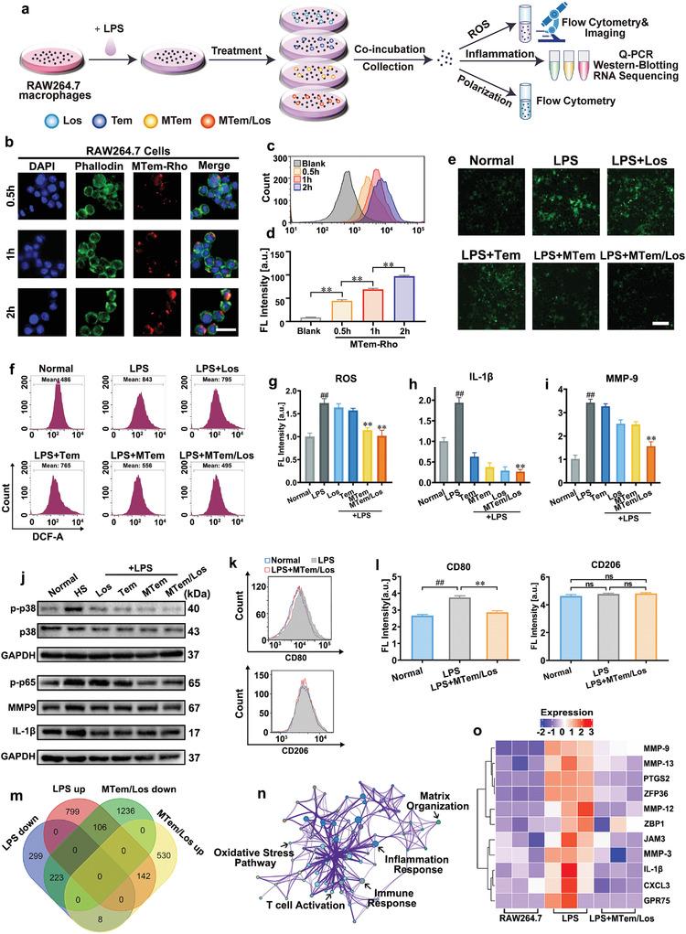
Dry eye disease (DED) impacts ≈30% of the world's population and causes serious ocular discomfort and even visual impairment. Inflammation is one core cause of the DED vicious cycle, a multifactorial deterioration in DED process. However, there are also reactive oxygen species (ROS) regulating inflammation and other points in the cycle from the upstream, leading to treatment failure of current therapies merely targeting inflammation. Accordingly, the authors develop micelle-based eye drops (more specifically p38 mitogen-activated protein kinases (MAPK) inhibitor Losmapimod (Los)-loaded and ROS scavenger Tempo (Tem)-conjugated cationic polypeptide micelles, designated as MTem/Los) for safe and efficient DED management. Cationic MTem/Los improve ocular retention of conjugated water-soluble Tem and loaded water-insoluble Los via electrostatic interaction with negatively charged mucin on the cornea, enabling an increase in therapeutic efficiency and a decrease in dosing frequency. Mechanistically, MTem/Los effectively decrease ROS over-production, reduce the expression of proinflammatory cytokines and chemokines, restrain macrophage proinflammatory phenotypic transformation, and inhibit cell apoptosis. Therapeutically, the dual-functional MTem/Los suppress the inflammatory response, reverse corneal epithelial defect, save goblet cell dysfunction, and recover tear secretion, thus breaking the vicious cycle and alleviating the DED. Moreover, MTem/Los exhibit excellent biocompatibility and tolerability for potential application as a simple and rapid treatment of oxidative stress- and inflammation-induced disorders, including DED.

摘要

干眼症(DED)影响了 ≈30%的世界人口,并导致严重的眼部不适,甚至视力障碍。炎症是 DED 恶性循环的一个核心原因,是 DED 过程中多种因素恶化的结果。然而,也有活性氧物质(ROS)从上游调节炎症和循环中的其他环节,导致目前仅针对炎症的治疗方法治疗失败。因此,作者开发了基于胶束的眼药水(更具体地说,是 p38 丝裂原活化蛋白激酶(MAPK)抑制剂 Losmapimod(Los)负载和 ROS 清除剂 Tempo(Tem)共轭的阳离子多肽胶束,命名为 MTem/Los),用于安全有效地治疗 DED。阳离子 MTem/Los 通过与角膜上带负电荷的粘蛋白的静电相互作用,改善了共轭水溶性 Tem 和负载的水不溶性 Los 的眼部保留,从而提高了治疗效率,降低了用药频率。从机制上讲,MTem/Los 能有效减少 ROS 的过度产生,降低促炎细胞因子和趋化因子的表达,抑制巨噬细胞的促炎表型转化,抑制细胞凋亡。在治疗上,双功能的 MTem/Los 抑制炎症反应,逆转角膜上皮缺损,挽救杯状细胞功能障碍,恢复泪液分泌,从而打破恶性循环,缓解 DED。此外,MTem/Los 具有良好的生物相容性和耐受性,有望作为一种简单快速的治疗氧化应激和炎症引起的疾病的方法,包括 DED。

https://cdn.ncbi.nlm.nih.gov/pmc/blobs/7ceb/9189644/3038bd973e58/ADVS-9-2200435-g006.jpg

文献AI研究员

20分钟写一篇综述,助力文献阅读效率提升50倍。

立即体验

用中文搜PubMed

大模型驱动的PubMed中文搜索引擎

马上搜索

文档翻译

学术文献翻译模型,支持多种主流文档格式。

立即体验