Suppr超能文献

缺氧诱导的 HIF-1α/lncRNA-PMAN 通过促进 ELAVL1 的细胞质易位来抑制胃癌腹膜转移中的铁死亡。

Hypoxia-induced HIF-1α/lncRNA-PMAN inhibits ferroptosis by promoting the cytoplasmic translocation of ELAVL1 in peritoneal dissemination from gastric cancer.

机构信息

Department of Gastrointestinal Surgery, Zhongnan Hospital of Wuhan University, No.169 Donghu Road, Wuchang District, Wuhan, 430071, China; Department of Gastric and Colorectal Surgical Oncology, Zhongnan Hospital of Wuhan University, No.169 Donghu Road, Wuchang District, Wuhan, 430071, China; Hubei Key Laboratory of Tumor Biological Behaviors, No.169 Donghu Road, Wuchang District, Wuhan, 430071, China; Hubei Cancer Clinical Study Center, No.169 Donghu Road, Wuchang District, Wuhan, 430071, China.

Hubei Key Laboratory of Tumor Biological Behaviors, No.169 Donghu Road, Wuchang District, Wuhan, 430071, China; Department of Radiation and Medical Oncology, Zhongnan Hospital of Wuhan University, Wuhan, Hubei, 430071, China.

出版信息

Redox Biol. 2022 Jun;52:102312. doi: 10.1016/j.redox.2022.102312. Epub 2022 Apr 9.

Abstract

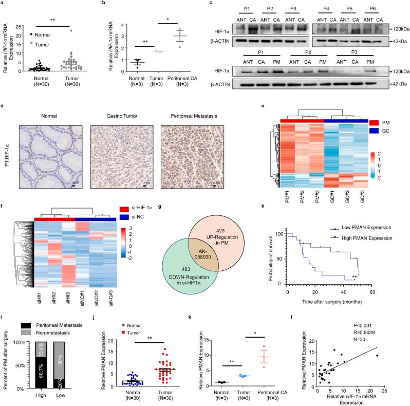
Peritoneal metastasis (PM) is the main site of gastric cancer (GC) distant metastasis and indicates an extremely poor prognosis and survival. Hypoxia is a common feature of peritoneal metastases and up-regulation of hypoxia inducible factor 1 alpha (HIF-1α) may be a potential driver in the occurrence of PM. Ferroptosis is a recently discovered form of regulated cell death and closely related to the occurrence and development of tumors. However, the underlying mechanism link HIF-1α to ferroptosis in PM of GC remains unknown. Here, lncRNA-microarrays and RNA library construction/lncRNA-seq results shown that lncRNA-PMAN was highly expressed in PM and significantly modulated by HIF-1α. Upregulation of PMAN is associated with poor prognosis and PM in patients with GC. PMAN was up-regulated by HIF-1α and improved the stability of SLC7A11 mRNA by promoting the cytoplasmic distribution of ELAVL1, which was identified in RNA-pulldown/mass spectrometry results. Accumulation of SLC7A11 increases the level of l-Glutathione (GSH) and inhibits the accumulation of reactive oxygen species (ROS) and irons in the GC cells. Finally protect GC cells against ferroptosis induced by Erastin and RSL3. Our findings have elucidated the effect of HIF-1α/PMAN/ELAVL1 in GC cells ferroptosis and provides theoretical support for the potential diagnostic biomarkers and therapeutic targets for PM in GC.

摘要

腹膜转移 (PM) 是胃癌 (GC) 远处转移的主要部位,预示着极差的预后和生存情况。缺氧是腹膜转移的一个常见特征,缺氧诱导因子 1α (HIF-1α) 的上调可能是 PM 发生的一个潜在驱动因素。铁死亡是一种最近发现的细胞死亡形式,与肿瘤的发生和发展密切相关。然而,HIF-1α 与 GC 腹膜转移中铁死亡之间的潜在机制尚不清楚。在这里,lncRNA 芯片和 RNA 文库构建/lncRNA-seq 结果表明,lncRNA-PMAN 在 PM 中高表达,并受 HIF-1α显著调控。PUMAN 的上调与 GC 患者的不良预后和 PM 相关。PUMAN 受 HIF-1α 上调,并通过促进 ELAVL1 的细胞质分布来提高 SLC7A11 mRNA 的稳定性,这在 RNA 下拉/质谱结果中得到了证实。SLC7A11 的积累增加了 l-谷胱甘肽 (GSH) 的水平,并抑制了 GC 细胞中活性氧 (ROS) 和铁的积累。最后,它可以防止 GC 细胞受到 Erastin 和 RSL3 诱导的铁死亡。我们的研究结果阐明了 HIF-1α/PMAN/ELAVL1 在 GC 细胞铁死亡中的作用,为 GC 中 PM 的潜在诊断生物标志物和治疗靶点提供了理论支持。

https://cdn.ncbi.nlm.nih.gov/pmc/blobs/f854/9043498/95803b49ab45/ga1.jpg

文献AI研究员

20分钟写一篇综述,助力文献阅读效率提升50倍。

立即体验

用中文搜PubMed

大模型驱动的PubMed中文搜索引擎

马上搜索

文档翻译

学术文献翻译模型,支持多种主流文档格式。

立即体验