Suppr超能文献

基于牛真皮来源胶原蛋白的新型屏障膜用于引导骨再生(GBR)的体内生物相容性分析

In Vivo Biocompatibility Analysis of a Novel Barrier Membrane Based on Bovine Dermis-Derived Collagen for Guided Bone Regeneration (GBR).

作者信息

Lindner Carolin, Alkildani Said, Stojanovic Sanja, Najman Stevo, Jung Ole, Barbeck Mike

机构信息

BerlinAnalytix GmbH, 12109 Berlin, Germany.

Department for Cell and Tissue Engineering, Faculty of Medicine, University of Niš, 18000 Nis, Serbia.

出版信息

Membranes (Basel). 2022 Mar 30;12(4):378. doi: 10.3390/membranes12040378.

Abstract

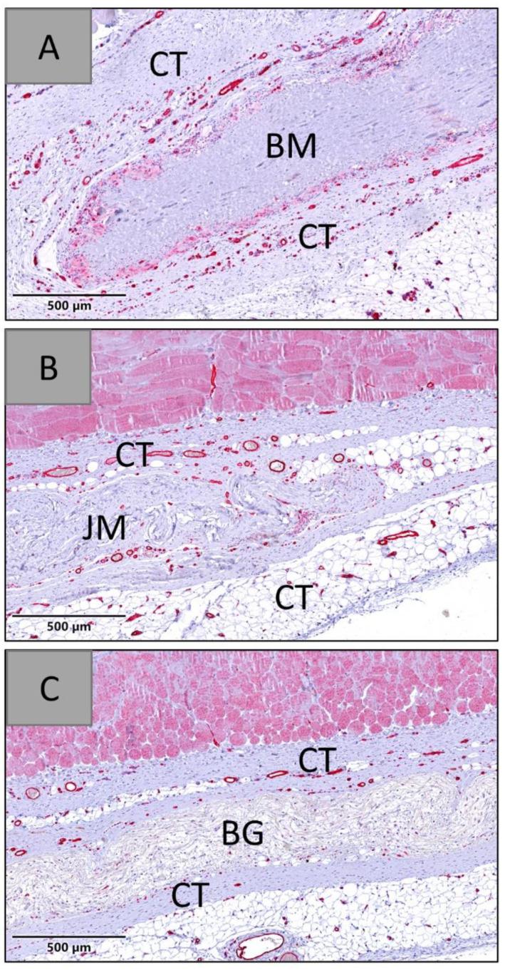
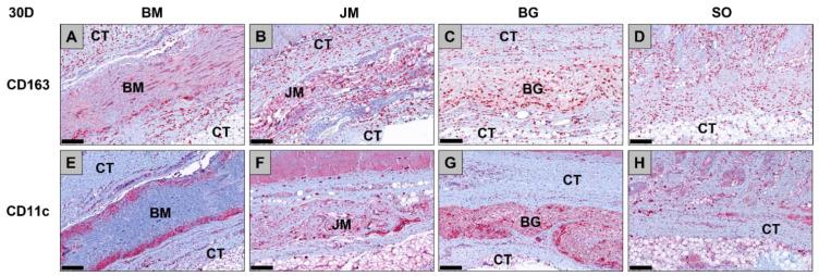
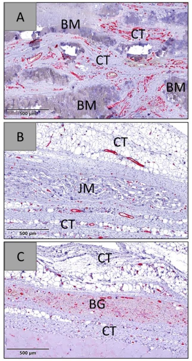
Collagen-based barrier membranes are nowadays the prevalent option for Guided Bone Regeneration (GBR) procedures. Xenogeneic collagen is highly biocompatible as it shares a similar structure to native human collagen, which prevents it from eliciting an exaggerated host immune response. Most commercially available collagen barrier membranes are porcine-derived, while bovine-derived alternatives are still rarely available. The aim of the present study was to investigate the tissue responses and the barrier functionality of a novel GBR membrane composed of bovine collagen type I (BM). Therefore, the subcutaneous implantation model in Wistar rats was performed to compare the novel medical device with two already clinically used native porcine-based barrier membranes, i.e., Jason membrane (JM) and Bio-Gide (BG), at 10-, 30-, 60-, and 90-days post implantationem. Histochemical and immunohistochemical stains were used for histopathological evaluation including a biocompatibility scoring according to the DIN EN ISO 10993-6 norm as well as histomorphometrical analyses of the occurrence of M1 and M2 macrophages and the transmembraneous vascularization. The bovine membrane exhibited a host tissue reaction that was comparable to both control materials, which was verified by the scoring results and the histomorphometrical macrophage measurements. Moreover, the novel membrane exhibited an integration pattern without material fragmentation up to day 60. At day 90, material fragmentation was observable that allowed for "secondary porosity" including transmembrane vascularization. The results of this study suggest that the novel bovine barrier membrane is fully biocompatible and suitable for indications that require GBR as a suitable alternative to porcine-sourced barrier membranes.

摘要

如今,基于胶原蛋白的屏障膜是引导骨再生(GBR)手术中普遍采用的选择。异种胶原蛋白具有高度的生物相容性,因为它与天然人类胶原蛋白结构相似,这使其不会引发过度的宿主免疫反应。大多数市售的胶原蛋白屏障膜源自猪,而源自牛的替代品仍然很少见。本研究的目的是研究一种新型的由I型牛胶原蛋白组成的GBR膜(BM)的组织反应和屏障功能。因此,在Wistar大鼠中进行皮下植入模型,以便在植入后10天、30天、60天和90天,将这种新型医疗器械与两种已在临床上使用的天然猪源屏障膜,即Jason膜(JM)和Bio-Gide(BG)进行比较。组织化学和免疫组织化学染色用于组织病理学评估,包括根据DIN EN ISO 10993-6标准进行生物相容性评分,以及对M1和M2巨噬细胞的出现情况和跨膜血管化进行组织形态计量分析。牛膜表现出与两种对照材料相当的宿主组织反应,这通过评分结果和组织形态计量巨噬细胞测量得到了验证。此外,直到第60天,新型膜都呈现出无材料破碎的整合模式。在第90天,可以观察到材料破碎,这导致了包括跨膜血管化在内的“二次孔隙率”。本研究结果表明,新型牛屏障膜具有完全的生物相容性,适用于需要GBR的适应症,可作为猪源屏障膜的合适替代品。

https://cdn.ncbi.nlm.nih.gov/pmc/blobs/0a3d/9027842/3ec9e919b4d4/membranes-12-00378-g001.jpg

文献AI研究员

20分钟写一篇综述,助力文献阅读效率提升50倍。

立即体验

用中文搜PubMed

大模型驱动的PubMed中文搜索引擎

马上搜索

文档翻译

学术文献翻译模型,支持多种主流文档格式。

立即体验