Suppr超能文献

根据运动功能测量量表评估杜氏肌营养不良症患者的运动能力:磁共振成像研究。

MRI Assessment of Motor Capabilities in Patients with Duchenne Muscular Dystrophy According to the Motor Function Measure Scale.

机构信息

Department of Rehabilitation, Saint Petersburg State Pediatric Medical University, 194100 Saint Petersburg, Russia.

Department of Normal Physiology, Saint Petersburg State Pediatric Medical University, 194100 Saint Petersburg, Russia.

出版信息

Tomography. 2022 Apr 1;8(2):948-960. doi: 10.3390/tomography8020076.

Abstract

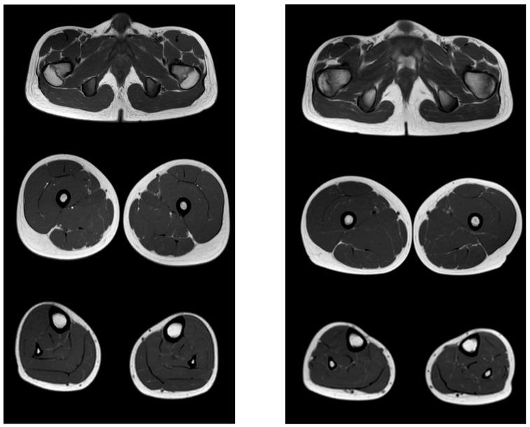
The research was aimed on the study of motor capabilities on the Motor Function Measure (MFM) scale in ambulant and non-ambulant patients with Duchenne muscular dystrophy, and to conduct a correlation analysis between the results of the MFM scale and Magnetic Resonance Imaging (MRI) data. A total of 46 boys who had genetically confirmed Duchenne muscular dystrophy (age from 2.1 to 16.7 years) and were in clinical rehabilitation were investigated. An assessment was performed according to the Motor Function Measure scale (subsections D1, D2, D3, and the total score), an MRI obtaining T1-VI of the muscles of the pelvic girdle was conducted, and the thighs and lower legs were further assessed in terms of the severity of fibrous-fat degeneration according to the Mercuri scale. In ambulant patients, the ability to stand up and move (D1) was 74.4%, axial and proximal motor functions (D2)—97.6%, distal motor functions (D3)—96.2%, and total score was 87.9%. In non-ambulant patients, the ability to stand up and move (D1) was 1.7%, axial and proximal motor functions (D2)—47%, distal motor functions (D3)—67.5%, and the total score—33.1%. A high inverse correlation (r = −0.7, p < 0.05) of the MRI data of the pelvic girdle and thighs with tasks D1, as well as a noticeable inverse correlation with tasks D2 (r = −0.6, p < 0.05) of the scale MFM, were revealed in the ambulant group of patients. In the non-ambulant group of patients, the MRI data of the lower legs muscles were characterized by a high inverse correlation (r = −0.7, p < 0.05) with tasks D3 and a noticeable inverse correlation (r = −0.6, p < 0.05) with tasks D1 of the MFM scale. Conclusion: The Motor Function Measure scale allows effective assessment of the motor capabilities of patients with Duchenne muscular dystrophy at different stages of the disease, which is confirmed by visualization of fibro-fatty muscle replacement.

摘要

本研究旨在研究肌营养不良症(Duchenne muscular dystrophy,DMD)患者的运动功能,使用运动功能测量(Motor Function Measure,MFM)量表评估其在活动和非活动患者中的表现,并对 MFM 量表的结果与磁共振成像(Magnetic Resonance Imaging,MRI)数据进行相关性分析。本研究共纳入了 46 名经基因确诊的 DMD 男孩(年龄为 2.1-16.7 岁),他们均处于临床康复阶段。研究人员对这些患者进行了 MFM 量表(D1、D2、D3 亚组和总分)评估,并进行了骨盆带肌肉的 T1-VI MRI 检查,根据 Mercuri 量表对大腿和小腿的纤维脂肪变性严重程度进行了进一步评估。在活动患者中,站立和移动能力(D1)为 74.4%,轴向和近端运动功能(D2)为 97.6%,远端运动功能(D3)为 96.2%,总分为 87.9%。在非活动患者中,站立和移动能力(D1)为 1.7%,轴向和近端运动功能(D2)为 47%,远端运动功能(D3)为 67.5%,总分为 33.1%。在活动患者中,骨盆带和大腿 MRI 数据与任务 D1 之间存在高度负相关(r = -0.7,p < 0.05),与 MFM 量表的任务 D2 之间也存在显著的负相关(r = -0.6,p < 0.05)。在非活动患者中,小腿肌肉的 MRI 数据与任务 D3 之间存在高度负相关(r = -0.7,p < 0.05),与 MFM 量表的任务 D1 之间也存在显著的负相关(r = -0.6,p < 0.05)。结论:MFM 量表能够有效评估不同疾病阶段的 DMD 患者的运动能力,这一结论通过纤维脂肪肌肉替代的可视化得到了证实。

https://cdn.ncbi.nlm.nih.gov/pmc/blobs/e00a/9025497/bb059086895a/tomography-08-00076-g001.jpg

相似文献

3
Quantitative muscle MRI: A powerful surrogate outcome measure in Duchenne muscular dystrophy.
Neuromuscul Disord. 2015 Sep;25(9):679-85. doi: 10.1016/j.nmd.2015.05.006. Epub 2015 Jun 4.
4
Rasch analysis of the 32-item motor function measure in ambulant patients with Duchenne muscular dystrophy.
Clin Rehabil. 2023 Apr;37(4):569-582. doi: 10.1177/02692155221135843. Epub 2022 Oct 26.
5
Motor function measure scale, steroid therapy and patients with Duchenne muscular dystrophy.
Arq Neuropsiquiatr. 2012 Mar;70(3):191-5. doi: 10.1590/s0004-282x2012000300007.
6
Quantitative MRI and loss of free ambulation in Duchenne muscular dystrophy.
J Neurol. 2013 Apr;260(4):969-74. doi: 10.1007/s00415-012-6733-x. Epub 2012 Nov 9.
9
Muscle MRI in Duchenne muscular dystrophy: Evidence of a distinctive pattern.
Neuromuscul Disord. 2016 Nov;26(11):768-774. doi: 10.1016/j.nmd.2016.09.002. Epub 2016 Sep 5.

引用本文的文献

1
Efficacy and safety of hydrokinesitherapy in patients with dystrophinopathy.
Front Neurol. 2023 Jul 26;14:1230770. doi: 10.3389/fneur.2023.1230770. eCollection 2023.

本文引用的文献

1
Upper limb disease evolution in exon 53 skipping eligible patients with Duchenne muscular dystrophy.
Ann Clin Transl Neurol. 2021 Oct;8(10):1938-1950. doi: 10.1002/acn3.51417. Epub 2021 Aug 28.
2
3
Modeling disease trajectory in Duchenne muscular dystrophy.
Neurology. 2020 Apr 14;94(15):e1622-e1633. doi: 10.1212/WNL.0000000000009244. Epub 2020 Mar 17.
4
MR biomarkers predict clinical function in Duchenne muscular dystrophy.
Neurology. 2020 Mar 3;94(9):e897-e909. doi: 10.1212/WNL.0000000000009012. Epub 2020 Feb 5.
5
MRI vastus lateralis fat fraction predicts loss of ambulation in Duchenne muscular dystrophy.
Neurology. 2020 Mar 31;94(13):e1386-e1394. doi: 10.1212/WNL.0000000000008939. Epub 2020 Jan 14.
6
Muscle MRI: A biomarker of disease severity in Duchenne muscular dystrophy? A systematic review.
Neurology. 2020 Jan 21;94(3):117-133. doi: 10.1212/WNL.0000000000008811. Epub 2019 Dec 31.
7
Longitudinal natural history in young boys with Duchenne muscular dystrophy.
Neuromuscul Disord. 2019 Nov;29(11):857-862. doi: 10.1016/j.nmd.2019.09.010. Epub 2019 Sep 26.
8
T2 Mapping and Fat Quantification of Thigh Muscles in Children with Duchenne Muscular Dystrophy.
Curr Med Sci. 2019 Feb;39(1):138-145. doi: 10.1007/s11596-019-2012-8. Epub 2019 Mar 13.
10
Analysis of motor and respiratory function in Duchenne muscular dystrophy patients.
Respir Physiol Neurobiol. 2019 Apr;262:1-11. doi: 10.1016/j.resp.2019.01.009. Epub 2019 Jan 17.

文献AI研究员

20分钟写一篇综述,助力文献阅读效率提升50倍。

立即体验

用中文搜PubMed

大模型驱动的PubMed中文搜索引擎

马上搜索

文档翻译

学术文献翻译模型,支持多种主流文档格式。

立即体验