Suppr超能文献

近乎误诊的门克斯病:一例报告。

Almost misdiagnosed Menkes disease: A case report.

作者信息

Guo Yu, Xia Wei, Peng Xuehua, Shao Jianbo

机构信息

Department of Imaging Center, Wuhan Children's Hospital (Wuhan Maternal and Child Healthcare Hospital), Tongji Medical College, Huazhong University of Science and Technology, Wuhan, Hubei, China.

出版信息

Heliyon. 2022 Apr 13;8(4):e09268. doi: 10.1016/j.heliyon.2022.e09268. eCollection 2022 Apr.

Abstract

BACKGROUND

Menkes disease is a disorder of copper metabolism and which follows a progressive degeneration of brain. It is a rare X-linked recessive disorder that results from mutations in ATP7A gene. The early diagnosis of Menkes disease is critical to patients' prognosis.

CASE PRESENTATION

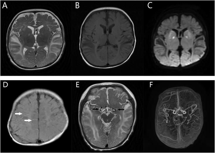
We report a case of Menkes disease. A 4-month-old boy presented with intermittent convulsions for a week. The brain MRI showed excessive tortuosities of intracranial vessels, and radiologists prompted for further examinations to confirm that it was Menkes disease. Patient was advised for biochemical investigations and genetic tests. Reduced level of ceruloplasmin (0.04 g/L; normal range, 0.2-0.6 g/L) was revealed. Genetic testing revealed a missense mutation within exon 18, c.3548 G > A, p.G1183D. This patient was almost misdiagnosed as epilepsy. Fortunately, based on the clues from radiologist, further physical examination and experimental tests were carried out.

CONCLUSION

We reported the imaging features of a case of Menkes disease, which can provide clinicians with more clues to consider the possibility of this rare disease.

摘要

背景

门克斯病是一种铜代谢紊乱疾病,会导致大脑进行性退化。它是一种罕见的X连锁隐性疾病,由ATP7A基因突变引起。门克斯病的早期诊断对患者的预后至关重要。

病例报告

我们报告一例门克斯病病例。一名4个月大的男孩出现间歇性抽搐一周。脑部MRI显示颅内血管过度迂曲,放射科医生建议进一步检查以确诊为门克斯病。建议患者进行生化检查和基因检测。结果显示铜蓝蛋白水平降低(0.04 g/L;正常范围为0.2 - 0.6 g/L)。基因检测显示外显子18内存在错义突变,c.3548 G > A,p.G1183D。该患者几乎被误诊为癫痫。幸运的是,基于放射科医生提供的线索,进一步进行了体格检查和实验检测。

结论

我们报告了一例门克斯病的影像学特征,可为临床医生提供更多线索以考虑这种罕见疾病的可能性。

https://cdn.ncbi.nlm.nih.gov/pmc/blobs/a5e1/9026563/f8e6c2b4cfe1/gr1.jpg

文献AI研究员

20分钟写一篇综述,助力文献阅读效率提升50倍。

立即体验

用中文搜PubMed

大模型驱动的PubMed中文搜索引擎

马上搜索

文档翻译

学术文献翻译模型,支持多种主流文档格式。

立即体验