Suppr超能文献

内披蛋白复合物 I 缺乏导致 STING 信号通路异常激活。

Deficiency in coatomer complex I causes aberrant activation of STING signalling.

机构信息

Inflammation Division, The Walter and Eliza Hall Institute of Medical Research, Parkville, VIC, 3052, Australia.

Department of Medical Biology, University of Melbourne, Parkville, VIC, 3010, Australia.

出版信息

Nat Commun. 2022 Apr 28;13(1):2321. doi: 10.1038/s41467-022-29946-6.

Abstract

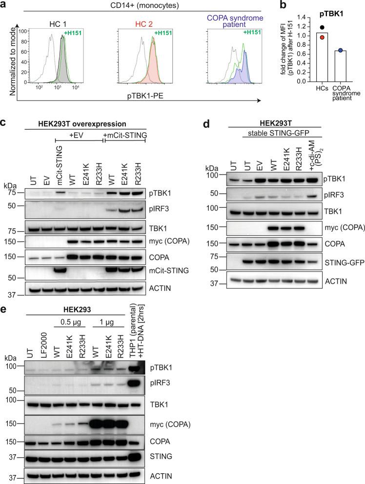
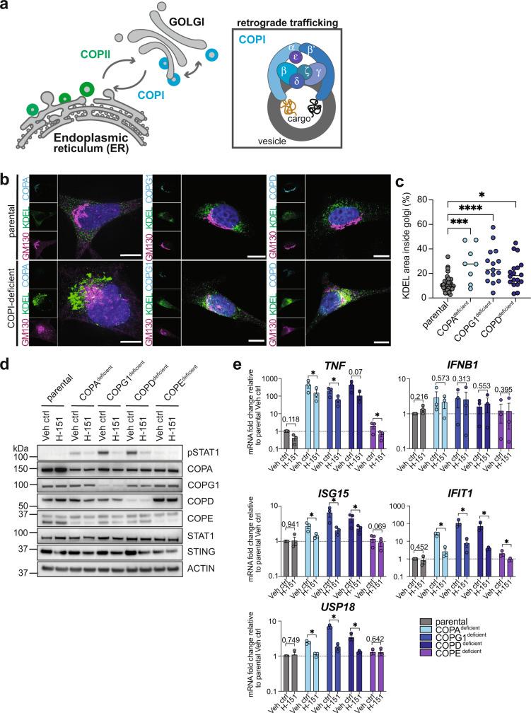
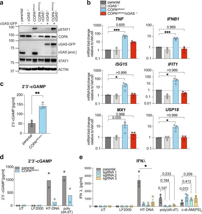
Coatomer complex I (COPI) mediates retrograde vesicular trafficking from Golgi to the endoplasmic reticulum (ER) and within Golgi compartments. Deficiency in subunit alpha causes COPA syndrome and is associated with type I IFN signalling, although the upstream innate immune sensor involved was unknown. Using in vitro models we find aberrant activation of the STING pathway due to deficient retrograde but probably not intra-Golgi transport. Further we find the upstream cytosolic DNA sensor cGAS as essentially required to drive type I IFN signalling. Genetic deletion of COPI subunits COPG1 or COPD similarly induces type I IFN activation in vitro, which suggests that inflammatory diseases associated with mutations in other COPI subunit genes may exist. Finally, we demonstrate that inflammation in COPA syndrome patient peripheral blood mononuclear cells and COPI-deficient cell lines is ameliorated by treatment with the small molecule STING inhibitor H-151, suggesting targeted inhibition of the cGAS/STING pathway as a promising therapeutic approach.

摘要

衣被体复合物 I(COPI)介导从高尔基体到内质网(ER)以及高尔基体内部的逆行囊泡运输。亚基α的缺乏会导致 COPA 综合征,并与 I 型 IFN 信号相关,尽管涉及的上游先天免疫传感器尚不清楚。使用体外模型,我们发现由于逆行但可能不是高尔基体内部运输的缺陷,STING 途径异常激活。此外,我们发现上游细胞质 DNA 传感器 cGAS 对于驱动 I 型 IFN 信号是必不可少的。COPI 亚基 COPG1 或 COPD 的基因缺失同样会在体外诱导 I 型 IFN 的激活,这表明与其他 COPI 亚基基因突变相关的炎症性疾病可能存在。最后,我们证明 COPA 综合征患者外周血单核细胞和 COPI 缺陷细胞系中的炎症通过小分子 STING 抑制剂 H-151 的治疗得到改善,这表明靶向抑制 cGAS/STING 途径可能是一种有前途的治疗方法。

https://cdn.ncbi.nlm.nih.gov/pmc/blobs/d15a/9051092/d4deac889e60/41467_2022_29946_Fig1_HTML.jpg

文献AI研究员

20分钟写一篇综述,助力文献阅读效率提升50倍。

立即体验

用中文搜PubMed

大模型驱动的PubMed中文搜索引擎

马上搜索

文档翻译

学术文献翻译模型,支持多种主流文档格式。

立即体验